CASE STUDY
A Rare Presentation of Unilateral Acute Idiopathic Maculopathy
Hand, foot, and mouth disease as presenting syndrome
DAVID M. CAMEJO, MD • JOHN W. BUTLER, MD • JEFFREY D. BENNER, MD
Coxsackievirus A16 is an infectious entity known to be one of the most common causes of hand, foot, and mouth disease (HFMD). Findings include fever, fatigue, nausea, irritability, and rash, typically resulting in multiple flat discolored spots, which may develop into vesicular sores. The lesions can involve the palms of the hands, soles of the feet, buttocks, and lips.
The literature has described rare occasions presumed to be coxsackie-induced maculopathy, better known as unilateral acute idiopathic maculopathy. Typically, this maculopathy presents after the development of the rash and often affects young patients. The coxsackievirus has been discussed in the literature as linked to unilateral acute idiopathic maculopathy, but there have been discussions of other possible causes.
The diagnosis is often suspected based on the clinical appearance of a blunted foveal reflex, often with the presence of subretinal fluid and a history of a preceding flu-like illness. Although patients often have a history of a flu-like illness and, at times, a rash, unilateral acute idiopathic maculopathy does not always present simultaneously with the rash.
Although this entity typically presents as a self-limited serous macular detachment, it can present in other ways as well. There is no proven treatment for this disease, and the presenting symptoms usually resolve, including a return of vision back to baseline.
CASE REPORT
A 33-year-old man presented with a change in central vision in his left eye. He stated that his symptoms began four days prior to presentation. He noticed the changes while watching television and also realized that the changes were only in the left eye after isolating each eye individually. The vision in his left eye was “hazy and gray centrally.”
David M. Camejo, MD, is an ophthalmology resident at Temple University Hospital in Philadelphia, PA. John W. Butler, MD, and Jeffrey D. Benner, MD, practice with Retina Consultants of Delmarva, P.A., in Salisbury, MD. None of the authors reports any financial interests in any products mentioned in this article. Dr. Camejo can be reached via e-mail at David.Camejo@tuhs.temple.edu.
Upon questioning about his medical history and performing a thorough review of systems, the patient reported that his son was recently diagnosed with HFMD and that he (the patient) developed bumps on his face a few days prior to presentation, as well as a rash on his hands. His best-corrected visual acuity was 20/20 in the right eye (OD) and 20/80 in the left eye (OS).
As stated above, the patient and son reported having multiple healing erythematous blisters on their hands, which were photodocumented days prior to presentation and were also present on exam (Figure 1).
Exam of OD was normal. Anterior exam of OS was also normal. The posterior exam of OS showed a blunted foveal light reflex with mild subfoveal elevation (Figure 2). No hemorrhages, exudates, or signs of inflammation were noted. The patient’s unilateral findings were consistent with an acute maculopathy. In addition, no papillitis, vasculitis, retinitis, or extramacular lesions were noted.
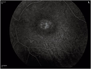
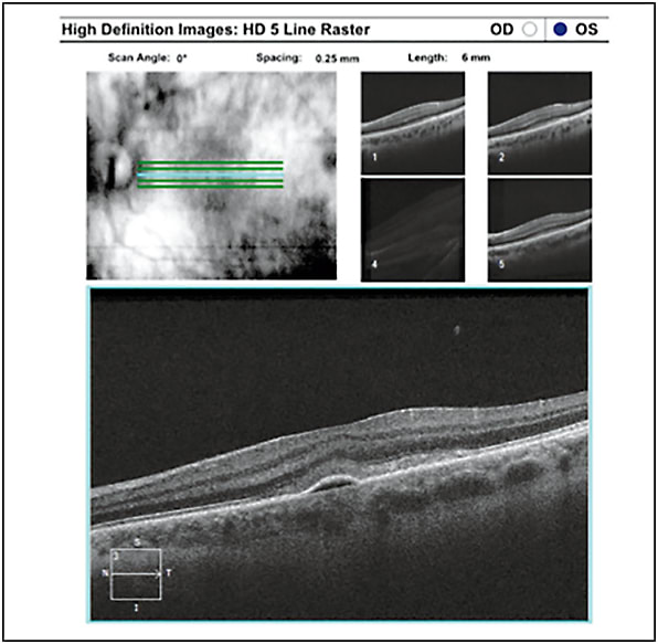
Optical coherence tomography of the macula showed a retinal pigment epithelial detachment (PED) with attenuation of the photoreceptor layer OS (Figure 3). Early and late intravenous fluorescein angiography confirmed the previously documented findings and was performed at the time of initial presentation. FA showed normal arteriovenous transit times and confirmed the subfoveal PED. It also showed focal pooling that progressively increased throughout the study (Figures 4 and 5). Unilateral acute idiopathic maculopathy caused by coxsackievirus was suspected.
The patient was given the option to undergo serological studies, but he declined. He was followed up five weeks later with close self-monitoring and daily Amsler grid testing. He noted improvement in vision over several weeks, which was expected because this disease tends to be self-limited.
The rash on his hands had resolved at the time of follow-up, and the vision OS had improved to 20/25. OCT of the macula was repeated and confirmed resolution of the PED with some residual mottling of the RPE. The patient was asked to follow up again three months later.
During his third visit, he was noted to have complete resolution of symptoms, and his vision had returned to 20/20 OU. He had no recurrence of systemic symptoms. OCT of the macula was repeated with no subretinal fluid, no RPE detachment, and only slight residual mottling of the RPE. Fundus photos were repeated at this three-month visit and showed no fluid, edema, or blunting of the foveal light reflex.
DISCUSSION
A variety of viruses are known to invade the eyes, with different clinical presentations. Viral infections often involve the posterior segment of the eye and can invade via direct infection or the vascular route.1 Viruses can cause uveitis, vasculitis, exudative retinal detachments, etc.
Coxsackievirus A16, which is an enterovirus, is known to be one of the most common causes of HFMD.2 Patients often present with fevers, sore throat, fatigue, and erythematous blister-like lesions that can involve the periorbital area, tongue, gums, soles of the feet, and palms of the hands. HFMD often affects young children, but it has been known to affect adolescents and adults.2
Coxsackie typically has a short incubation period of less than a week and is spread by person-to-person contact via nasal secretions, saliva, stool, and respiratory droplets.2 This viral entity can be associated with complications, such as meningitis and encephalitis. Rarely, it can affect ocular structures and present with retinal pathology.
The retinal pathology caused by the coxsackievirus is called unilateral acute idiopathic maculopathy. Although unilateral acute idiopathic maculopathy has been mentioned to be possibly caused by pregnancy or immunosuppression, the literature has also linked this disease to this viral entity. This ocular presentation of the virus is typically seen in young patients and usually presents with unilateral decreased central vision and macular serous retinal detachment.3
Coxsackie maculopathy can also present as unilateral macular neurosensory detachment, discoloration of macula, papillitis, retinitis, and parafoveal macular exudates.1 Lack of subretinal fluid is atypical.4
Another presentation of Coxsackie described in the literature was a rare case of uveoretinitis,5 although this case was associated with coxsackie B4 infection. Residual hyperpigmentation of the RPE resembling a bull’s eye pattern has also been described after coxsackie infection.6,7
The diagnosis is often presumed given the ocular findings and history of viral illness. Our specific case presented with ocular symptoms at the same time as the rash and presented in an unusual fashion, given the unilateral PED.
As discussed, unilateral acute idiopathic maculopathy has now been linked to coxsackievirus, but in the past it was only presumed to be due to this virus. Yannuzzi et al3 reported a study that included nine patients with sudden severe unilateral central vision loss.
The majority of the patients had the symptoms following a flu-like illness, and all of the patients experienced a neurosensory detachment of the macula. The study presumed the cause to be from a “flu-like” illness based on history alone.3
A number of these cases in the literature have presented with significant subretinal fluid on exam. One theory suggests that a retinal pigment epitheliitis causes these findings.8 Our clinical case, along with photodocumentation of the rash, OCT of the macula, fundus photography, and FA, allowed us not only to see coxsackie maculopathy presenting as unilateral RPE detachment but also to follow resolution of the rash and ocular symptoms with the above testing over a few short months.
These findings and documentation helped to confirm that this illness typically resolves without intervention. A review of the literature also verified that this is a self-limited disease with usual improvement in vision, although mild vision loss after illness has been reported.9
Although blood may be drawn for serological evidence of viral infection, many patients and clinicians do not find it necessary. As stated, history is very important in clinching the diagnosis because not all patients present with the rash and ocular findings simultaneously. This case is unique for both this reason and its atypical phenotypic posterior presentation.
Multimodal imaging is also crucial to aid in the diagnosis. OCT and FA will help to distinguish which layer of the retina is affected, and they can also help in monitoring resolution. In addition to the above findings, this case supports that, in the appropriate clinical setting, coxsackie infection should be included in the differential diagnosis of patients with unilateral PED. RP
REFERENCES
1. Agrawal R, Bhan K, Balaggan K, Lee RW, Pavesio CE, Addison PK. Unilateral acute maculopathy associated with adult onset hand, foot and mouth disease: case report and review of literature. J Ophthalmic Inflamm Infect. 2015;5:2.
2. Omaña-Cepeda C, Martínez-Valverde A, Del Mar Sabater-Recolons M, Jané-Salas E, Marí-Roig A, López-López J. A literature review and case report of hand, foot and mouth disease in an immunocompetent adult. BMC Res Notes. 2016;9:165.
3. Yannuzzi LA, Jampol LM, Rabb MF, Sorenson JA, Beyrer C, Wilcox LM Jr. Unilateral acute idiopathic maculopathy. Arch Ophthalmol. 1991;109:1411-1416.
4. Beck AP, Jampol LM, Glaser DA, Pollack JS. Is coxsackievirus the cause of unilateral acute idiopathic maculopathy? Arch Ophthalmol. 2004;122:121-123.
5. Takeuchi M, Sakai J, Usui M. Coxsackievirus B4 associated uveoretinitis in an adult. Br J Ophthalmol. 2003;87:501-502.
6. Ng SK, Ebneter A, Gilhotra JS. Atypical findings in delayed presentation of unilateral acute idiopathic maculopathy. Int Ophthalmol. 2013;33:387-389.
7. Balaratnasingam C, Lally DR, Tawse KL, et al. A unique posterior segment phenotypic manifestation of coxsackie virus infection. Retin Cases Brief Rep. 2016;10:278-282.
8. Hughes EH, Hunyor AP, Gorbatov M, Ho IV. Acute idiopathic maculopathy with coxsackievirus infection. Retin Cases Brief Rep. 2012;6:19-21.
9. Demirel S, Batioglu F, Özmert E, Batioglu F. Unilateral acute maculopathy related to hand, foot, and mouth disease: OCT and fluorescein angiography findings of a very rare disease. Eur J Ophthalmol. 2014;24:131-133.







