CASE STUDY
Pediatric Optic Neuritis Complicated With Vitreous Hemorrhage From Retinal Neovascularization
MRI provides essential diagnostic information.
CHENG-WEN SU, MD • CHUN-JU LIN, MD • YING-YUAN LO, MD • YI-YU TSAI, MD, PhD
Optic neuritis is characterized by an inflammation of optic nerve with demyelination. The most common presentation is retro-orbital or ocular pain associated with vision changes and usually exacerbated by eye movement.1
Pediatric optic neuritis is a different entity than optic neuritis in adults, and it usually has a better prognosis than in adulthood.2-7 We report here a pediatric case of optic neuritis complicated by retinal neovascularization and vitreous hemorrhage.
CASE REPORT
A nine-year-old female patient with a past medical history of febrile seizure presented with sudden onset of blurred vision in the right eye. She was referred to our hospital for further evaluation and management.
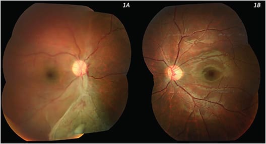
Her best-corrected visual acuity was 20/200 in the right eye and 20/20 in the left eye. Funduscopy revealed intrapapillary and retinal neovascularization with lower extension in the right eye (Figure 1). Peripapillary hemorrhage on the nasal side and vitreous hemorrhage were also found.
Figure 1. Funduscopy revealed intrapapillary and retinal neovascularization with lower extension in the right eye (left). Peripapillary hemorrhage at the nasal side and vitreous hemorrhage were also found. Optic disk and retina showed no significant finding in the left eye (right).
Fluorescein angiography showed early ischemia and late diffuse leakage from the fibrovascular tissues (Figure 2). Orbital ultrasound was performed and did not reveal optic nerve head drusen. Her complete blood counts, routine serum biochemistry, and C3 and C4 levels were within normal limits. Lupus anticoagulant, anticardiolipin antibody, rapid plasma regain, anti-Toxoplasma IgM, anti-Toxoplasma IgG, HLA-B27, anti-ENA III, Scl-70, and antinuclear antibody were negative.
Figure 2. Fluorescein angiography (left) showed late diffuse leakage from the fibrovascular tissues in the right eye. No significant finding was noted in the left eye (right).
Cheng-Wen Su, MD, Chun-Ju Lin, MD, and Yi-Yu Tsai, MD, PhD, are on the faculty of China Medical University Hospital in Taichung, Taiwan. Ying-Yuan Lo, MD, practices with Lo’s Eye Clinic in Changhua, Taiwan. None of the authors reports any financial interests in products mentioned in this article. Dr. Lin can be reached via e-mail at doctoraga@gmail.com.
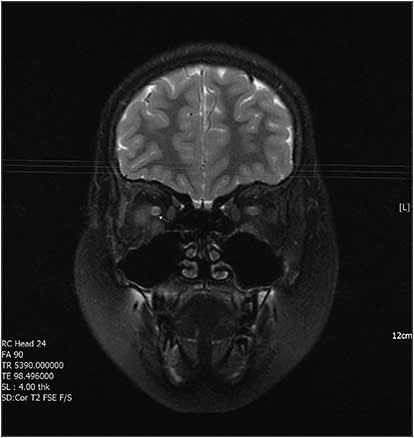
Gadolinium-enhanced MRI demonstrated increased T2W signal intensity in the nerve sheath of the right optic nerve (Figure 3, page 56), without a space-occupying mass or demyelination in the brain parenchyma. A pediatric neurologist was consulted, and optic neuritis in the right eye was diagnosed.
Figure 3. Gadolinium-enhanced brain MRI demonstrated increased T2W signal intensity in the nerve sheath of right optic nerve without space occupying mass or demyelination in the brain parenchyma.
Meanwhile, focal argon laser photocoagulation was performed to the ischemic retina. Her BCVA improved to 20/20 under treatment with topical dexamethasone eyedrops four times daily for one month. Shrinkage of the retinal neovascularization was observed and did not recur during 22 months of follow-up (Figure 4, page 56).
Figure 4. A) The shrinkage of retinal neovascularization was observed during 22-month follow up. B) No significant finding was noted in the left eye.
DISCUSSION
Optic neuritis is characterized by inflammation of the optic nerve with demyelination, which is caused by viral infection, autoimmune diseases, or idiopathic reasons.1 The most common presentation is acute, inflammatory, demyelinating optic neuritis that may be associated with multiple sclerosis.
Pediatric optic neuritis, which is an uncommon disorder, typically involves both eyes and has the tendency to progress to multiple sclerosis.6 Pediatric optic neuritis is a different entity than optic neuritis in adults, and it usually has a better prognosis than in adulthood.2-7
Atypical optic neuritis includes idiopathic recurrent neuroretinitis, neuromyelitis optica, autoimmune optic neuropathy, chronic relapsing inflammatory optic neuropathy, and optic neuropathy associated with systemic diseases.8 The above entities can have devastating visual results if not treated in a timely fashion.
Our case presented with suddenly blurred vision in the right eye caused by acute vitreous hemorrhage from unilateral retinal neovascularization, which was a rare complication of optic neuritis. In the literature, only one case of multiple sclerosis complicated by bilateral optic neuritis and peripheral retinal neovascularization was reported.9 The retinal neovascularization might have been caused by the sequelae of neuroretinitis and subsequent retinal ischemia.
Pediatric optic neuritis usually initially presents with poor vision. Although the management of this disorder in adults has been well described, there is a paucity of evidence-based, prospective clinical data on its management and treatment in a pediatric population.10
Wan et al performed a large cohort study in pediatric optic neuritis and found that the majority of patients regained normal VA at one year.7 Furthermore, a poor visual outcome at one year (worse than 20/40) was significantly associated with vision worse than 20/20 at three months.
In our case, after aggressive treatment with laser photocoagulation for retinal neovascularization and topical steroid eyedrops, the patient’s BCVA improved to 20/20 after one month uneventfully, and it remained stable for 22 months.
CONCLUSION
We have reported an atypical case of unilaterally optic neuritis complicated with acute vitreous hemorrhage from unilateral retinal neovascularization in a pediatric patient. The cause of retinal neovascularization is not clearly understood; however, chronic inflammation and retinal ischemia might have induced the neovascular formation.
The combined treatment of laser photocoagulation and topical steroid was effective. A comprehensive understanding of pediatric optic neuritis and its sound management continues to evolve. More cases and long-term follow-up are necessary. RP
REFERENCES
1. Atkins EJ, Biousse V, Newman NJ. The natural history of optic neuritis. Rev Neurol Dis. 2006;3:45-56.
2. Morales DS, Siatkowski RM, Howard CW, Warman R. Optic neuritis in children. J Pediatr Ophthalmol Strabismus. 2000;37:254-259.
3. Hwang JM, Lee YJ, Kim MK. Optic neuritis in Asian children. J Pediatr Ophthalmol Strabismus. 2002;39:26-32.
4. Boomer JA, Siatkowski RM. Optic neuritis in adults and children. Semin Ophthalmol. 2003;18:174-180.
5. Pérez-Cambrodí RJ, Gómez-Hurtado Cubillana A, Merino-Suárez ML, Piñero-Llorens DP, Laria-Ochaita C. Optic neuritis in pediatric population: a review in current tendencies of diagnosis and management. J Optom. 2014;7:125-130.
6. Collinge JE, Sprunger DT. Update in pediatric optic neuritis. Curr Opin Ophthalmol. 2013;24:448-452.
7. Wan MJ, Adebona O, Benson LA, Gorman MP, Heidary G. Visual outcomes in pediatric optic neuritis. Am J Ophthalmol. 2014;158:503-507.
8. Malik A, Ahmed M, Golnik K.Treatment options for atypical optic neuritis. Indian J Ophthalmol. 2014;62:982-984.
9. Katsimpris JM, Petropoulos JK, Pharmakakis NM. [Bilateral peripheral retinal neovascularization in a patient with multiple sclerosis]. J Fr Ophtalmol. 2002;25:813-816. French.
10. Bonhomme GR, Mitchell EB. Treatment of pediatric optic neuritis. Curr Treat Options Neurol. 2012;14:93-102.







