Strategies for the Treatment of Recalcitrant DME
Roles exist for medical and surgical management.
MEENAKASHI GUPTA, MD
Diabetic macular edema is one of the leading causes of vision loss worldwide. Intravitreal anti-VEGF agents have recently become the initial treatment choice for the majority of patients with DME. However, not all patients manifest complete resolution of edema, despite multiple intravitreal anti-VEGF injections. DRCRnet Protocol I showed that more than 40% of ranibizumab (Lucentis, Genentech, South San Francisco, CA)-treated eyes did not achieve complete resolution of macular edema.1
Such cases are challenging to treat due to both the complex underlying physiological processes and the lack of prospective, randomized clinical trial data focused specifically on recalcitrant DME. This article will review current medical, surgical, and laser strategies to approach recalcitrant DME.
PATHOPHYSIOLOGY
Diabetic macular edema results from a complex cascade of interwoven biochemical processes and anatomical changes. Chronic hyperglycemia leads to the formation and accumulation of advanced glycation end-products (AGEs), which cause alterations to the structural and cellular components of the retinal microvasculature.
Early damage to pericytes responsible for regulating capillary perfusion causes microaneurysm formation and impaired regulation of the retinal blood flow.2 Destruction of endothelial cells necessary for maintaining the blood-retinal barrier (BRB) allows for accumulation of intraretinal fluid.3 Concurrently, capillary basement membranes thicken. Hypertension and hyperlipidemia, which commonly coexist in diabetic patients, further damage the already weakened BRB.
Meenakashi Gupta, MD, is a vitreoretinal surgeon and assistant professor of ophthalmology at the New York Eye and Ear Infirmary of Mount Sinai Hospital in New York, NY. She reports no financial interests in products mentioned in this article. She can be reached via e-mail at meenakashi.gupta@gmail.com.
Continued retinal microvasculature damage leads to capillary nonperfusion and retina ischemia, which in turn result in upregulation of angiogenic factors. VEGF, which is one these factors, not only plays a key role in angiogenesis, but it also increases vascular permeability.
Inflammation also plays an important role in the pathogenesis of DME with the upregulation of prostaglandins and multiple inflammatory mediators.4 Additionally, increased retinal leukostasis results in further capillary nonperfusion, endothelial cell damage, and vascular leakage via generation of toxic superoxide radicals and proteolytic enzymes.5 These angiogenic, vascular, inflammatory, and structural processes converge to produce the characteristic macular changes observed in DME.
SYSTEMIC MEDICAL MANAGEMENT
Systemic medical management plays a critical role in the management of recalcitrant DME. Factors including elevated blood glucose, elevated lipid levels, hypertension, and poor renal status can contribute to persistent DME despite active treatment.
A retrospective study of patients with a history of DME found that hemoglobin A1c levels were greater in patients whose DME persisted than in patients whose DME resolved.6 Ongoing communication with a patient’s primary care provider and endocrinologist regarding the patient’s ocular status is essential. Worsening ocular health can influence the decision to pursue tighter control of systemic factors.
ASSESSING RETINAL NONPERFUSION
Evaluating retinal ischemia is also important in patients with recalcitrant DME. In a study of widefield fluorescein angiography in patients with persistent DME, larger regions of untreated peripheral retinal nonperfusion, despite prior panretinal photocoagulation, were associated with more refractory DME.7 Untreated nonperfusion had a stronger correlation with diffuse recalcitrant DME than focal recalcitrant DME.
The authors proposed that the areas of untreated ischemic retina produce increased levels of intraocular VEGF and other cytokines, which potentiate vascular permeability, contributing to the development of recalcitrant DME. Obtaining FA to assess patients with recalcitrant DME and applying targeted retinal photocoagulation to regions of nonperfusion may assist in controlling recalcitrant edema.
ROLE OF CORTICOSTEROIDS
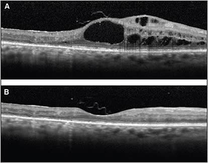
Corticosteroid implants appear to play a special role in the treatment of chronic DME unresponsive to anti-VEGF therapy (Figure 1). Several authors have suggested that DME may shift from a primarily VEGF-mediated process in the acute stages to an inflammatory disease in the chronic stages, explaining why select patients do not improve despite anti-VEGF therapy.3,8
Figure 1. A) OCT of a patient with chronic DME unresponsive to intravitreal bevacizumab. Visual acuity was 20/100. B) OCT 2.5 weeks after injection of dexamethasone implant showing resolution of edema with restoration of the foveal contour. Vision improved to 20/60.
Pharmacologically, corticosteroids stabilize the BRB by downregulating the expression of VEGF and inhibiting the production of prostaglandins and proinflammatory cytokines. They also decrease expression of intracellular adhesion molecule (ICAM), allowing for stabilization of tight endothelial cell junctions and decreasing vascular permeability.4
Sustained-release Modalities
Multiple corticosteroid approaches have been used in patients with DME, including intravitreal triamcinolone acetonide injections and long-duration sustained-release corticosteroids implants: biodegradable dexamethasone (DEX; Ozurdex, Allergan, Irvine, CA) and nonbiodegradable fluocinolone acetonide (FAc; Iluvien, Alimera Sciences, Alpharetta, GA; and Retisert, Bausch + Lomb, Rochester, NY).
Intravitreal steroid injections delivery a high initial dose but clear rapidly with greatest efficacy at approximately one month.8 The DEX implant gradually erodes, releasing steroid at a fairly steady rate over the course of three to four months. The FAc implant provides a small controlled dose of steroid for up to three years.
Extended-release steroid implants are particularly well suited for the treatment of DME in vitrectomized eyes; these eyes may more rapidly clear intermittently administered intravitreally drugs, compared to nonvitrectomized eyes.9
The efficacy of steroids has been shown in several studies. Of particular interest is a preplanned subgroup analysis of the FAME study,8 which compared the efficacy of the FAc implant in persistent DME after one or more laser therapy treatments in the chronic (≥3 years) vs non-chronic (<3 years) state.
At month 36, the difference between the FAc implant and sham control in the percentage of patients who gained 15 letters or more was significantly greater in chronic DME patients, compared with patients with nonchronic DME.
Currently, study data for patients with recalcitrant macular edema unresponsive to anti-VEGF therapy are limited. However, a small, retrospective study of patients with DME with poor response to six monthly, consecutive intravitreal injections of ranibizumab found an improvement in vision and a decrease in central macular thickness following DEX injection.10
Adverse effects of greatest concern with corticosteroid therapy are cataract development and elevated intraocular pressure. These factors should be considered carefully when pursuing this treatment modality. Notably, the FAc implant was approved for patients who did not demonstrate a significant rise in intraocular pressure following a course of corticosteroids.
Steroid and Anti-VEGF Combination Therapy
Many retina specialists have found the combination of anti-VEGF treatment and corticosteroids effective for recalcitrant DME in their clinical practices. The combined approach may allow for more extensive control of the complex pathways involved in DME.
Furthermore, the synergistic effect of sustained-release corticosteroids may result in the patient requiring fewer anti-VEGF injections to keep the DME under control. There have been no large, published studies on combined therapy. Treatment paradigms vary widely.
Currently, the DRCRnet is conducting a randomized, controlled trial to compare the efficacy of combination therapy with ranibizumab and DEX to continued therapy of ranibizumab in the treatment of persistent DME after anti-VEGF therapy. The results of this study will be very helpful in understanding the role of combined therapy.
SURGICAL MANAGEMENT
A subset of patients with recalcitrant DME may benefit from surgical intervention. These are patients with anterior-posterior or tangential macular traction caused by a taut posterior hyaloid (Figure 2), vitreomacular traction (VMT) (Figure 3), epiretinal membranes, or a combination of these entities.
Figure 2. A) OCT of a patient with recalcitrant DME unresponsive to intravitreal bevacizumab and triamcinolone. Visual acuity was 20/200. The posterior hyaloid thickened and was taut with striae on clinical exam. Multiple vitreomacular adhesions over the fovea with underlying retinal edema are visible on OCT. B) Postoperative OCT two months after vitrectomy with hyaloid removal demonstrated marked improvement in edema and restoration of the foveal contour with some central outer retina disruption. Vision improved to 20/80.
Figure 3. A) OCT of a patient with chronic DME. Visual acuity was 20/150. A partial hyaloid detachment with multiple vitreomacular adhesions around the fovea with underlying retinal edema is visible. B) Postoperative OCT following vitrectomy with hyaloid removal and ILM peeling. Vision improved to 20/80.
Unique pathological alterations to the vitreomacular interface in the diabetic patient can lead to macular traction. Accumulation of AGEs in the diabetic vitreous leads to structural alterations of the posterior hyaloid and internal limiting membrane, strengthening the adhesion of the posterior vitreous cortex to the ILM.5 Sustained hyperglycemia affects biochemical cascades, leading to destabilization of the vitreous gel.5
These factors together can lead to the formation of an incomplete posterior vitreous detachment or vitreoschisis while leaving a persistent adhesion of the posterior cortical vitreous to the macula. In certain cases, these firm adhesions can lead to VMT.
The posterior hyaloid may also become thickened and taut due to infiltration of glial and inflammatory cells.11 On biomicroscopy, a taut posterior hyaloid has a glistening sheen and striae.12 The striae do not involve the retina or associated retinal vessels, differentiating them from the retinal striae characteristic of ERMs. These taut posterior hyaloids may cause traction along the macular surface.
Epiretinal membranes, common in diabetic patients,13 can also cause macular traction. The diabetic retina already compromised by microvascular abnormalities may be particularly vulnerable to increased exudation with these various tractional forces.5
Techniques Applied
Surgical intervention for recalcitrant DME includes pars plana vitrectomy with detachment of the posterior hyaloid and peeling of any associated ERMs, with or without ILM removal. The overall goal is to alleviate traction by removing the causative elements.
Removal of the vitreous gel can have the additional benefit of decreasing the concentration of DME-promoting factors, such as AGEs, VEGF, and ICAM-1, which accumulate in the vitreous.5 Some studies have also shown an improvement in fluid currents following vitrectomy, which may increase oxygenation of the inner retina.14
Evaluating the status of the vitreomacular interface is key to determining which patients may benefit from surgery. Biomicroscopy and optical coherence tomography are essential to determining the presence of a PVD and tractional elements. B-scan ultrasound may be helpful when the status of the posterior hyaloid cannot be determined by exam and OCT.
Many trials in eyes with DME that had clinically visible or OCT-documented macular traction described visual acuity and anatomic improvement following vitrectomy with removal of the posterior hyaloid. Some subsequent studies have shown anatomic improvement but less visual improvement.15 A study reviewing cases of ERM removal noted visual improvement without improvement in retinal thickness, speculating that the visual gains may result from improvement in visual distortion.16
Several small, uncontrolled studies have suggested anatomic and visual benefits with concurrent removal of the ILM during vitrectomy. ILM removal ensures that the posterior hyaloid has been removed, particularly in cases of vitreoschisis.
Additionally, removal of the ILM reduces the likelihood of postvitrectomy ERM formation by inhibiting migration and reproliferation of astrocytes. The role of vitrectomy in the eyes with DME without evidence of VMT remains unclear. Few studies have been able to determine with confidence the efficacy of this intervention in these cases.
Challenges
One of the challenges in interpreting these surgical studies is that many do not take into account the presence of preoperative factors, such as macular ischemia or the integrity of retinal layers, which can significantly affect visual outcomes. Recent studies have begun to look at such prognostic factors.
Several studies have already shown the preoperative and postoperative prognostic value of the OCT appearance of the external limiting membrane and ellipsoid zone.17,18 Another study suggested the utility of surgery in cases that did not have preoperative enlargement of the foveal avascular zone, indicating macular ischemia.19
One recent study suggested that the effectiveness of vitrectomy with ILM peeling in DME may depend on the preoperative OCT pattern of fluid.20 The study suggested that surgery was most useful in cases with subretinal fluid on preoperative OCT imaging.
Additional studies using newer technologies, such as swept-source OCT and OCT angiography, may enable identification of other imaging characteristics of the vitreomacular interface and retinal vasculature that may help better to predict which patients will benefit from surgery.
Another caveat is that many of our current surgical studies were undertaken prior to the era of anti-VEGF injections for DME. Future studies that focus on anti-VEGF nonresponders will help us determine the role of surgery in our current treatment protocols.
ENZYMATIC VITREOLYSIS
Plasmin and ocriplasmin (Jetrea, ThromboGenics, Iselin, NJ) are nonspecific proteases that degrade glycoproteins, leading to liquefaction of the vitreous and pharmacologic separation of the posterior vitreous from the ILM.
While ocriplasmin has been used successfully for pharmacological vitreolysis in select cases of symptomatic vitreomacular adhesions and macular holes, the role of enzymatic vitreolysis in DME remains unclear.
The diabetic vitreous undergoes nonenzymatic glycation which could alter its susceptibility to enzymatic degradation.21 Furthermore, complete PVD induction may be challenging due to the firm adherence of the posterior hyaloid to the ILM in diabetic patients.22
Published trials have not specifically analyzed use of ocriplasmin in cases of DME. However, a few older case series suggested a role for pharmacological vitreolysis in DME.23-25 A phase 2 trial is planned to assess the role of ocriplasmin in preventing progression from background retinopathy to proliferative retinopathy through PVD induction by enzymatic vitreolysis. This interesting study may help us to better understand the role of the vitreomacular interface in diabetes and possibly inform us about the pathogenesis and treatment of recalcitrant DME.
LASER TREATMENTS
In current practice, focal laser has largely been replaced by anti-VEGF therapy for the initial treatment of DME. However, focal laser can still be useful as an adjunctive therapy for refractory non–center-involving macular edema, particularly by targeting leaking microaneuryms. Novel laser systems are allowing for computer-based treatment strategies, which have been helpful in improving accuracy of targeted focal laser treatments.26
Another laser strategy that has recently been developed is micropulse laser (MPL), which delivers energy with a series of repetitive, low-energy pulses instead of the single high-powered pulses characteristic of conventional focal laser.27 The thermal energy is selectively absorbed by the retinal pigment epithelium, sparing the neurosensory retina27 and avoiding the complications of conventional focal laser.
Morphologic and functional safety studies have found no visible retinal or choroidal lesions on clinical fundus examination and multiple imaging modalities, as well as no alterations to the integrity and reflectivity of the outer segment on OCT.28
The exact mechanism by which MPL resolves DME is still unknown. MPL has been described as “retinal photostimulation,” rather than retinal photocoagulation. It may help normalize cytokine expression and increase therapeutic recruitment of RPE cells.27, 29, 30
Micropulse protocols vary widely. The laser is generally applied in a grid pattern to the region of macular thickening, based on the OCT findings. Treatment can be applied directly over the fovea and reapplied in cases of recurrence. One of the challenges with MPL is the inability to visualize the intraoperative laser tissue reaction to direct the treatment.
Case reports and small case series have shown improvement in macular edema and VA in cases unresponsive to anti-VEGF therapy and in concert with steroid treatments. Future prospective studies may help us to better understand the role of MPL in refractory DME as a primary or adjunctive therapy.
CONCLUSION
Recalcitrant DME is a complex condition that may present with a variety of phenotypes. Effective therapy in many cases may require the application of several strategies targeting different pathological mechanisms in DME. Individualized treatment plans may be needed for some patients.
Future randomized, controlled trials focused on refractory DME cases and combined therapeutic strategies will be essential. New drug development may help us to target additional mediators in the DME cascade. Novel imaging techniques may help us to further characterize recalcitrant DME. Finally, genetic markers may help us create personalized treatment paradigms in the future. RP
REFERENCES
1. Elman MJ, Bressler NM, Qin H, et al; Diabetic Retinopathy Clinical Research Network. Expanded 2-year follow-up of ranibizumab plus prompt or deferred laser or triamcinolone plus prompt laser for diabetic macular edema. Ophthalmology. 2011;118:609-614.
2. Ciulla TA, Harris A, Latkany P, et al. Ocular perfusion abnormalities in diabetes. Acta Ophthalmol Scand. 2002;80:468-477.
3. Singh A, Stewart JM. Pathophysiology of diabetic macular edema. Int Ophthalmol Clin. 2009;49:1-11.
4. Hussain RM, Ciulla TA. Treatment strategies for refractory diabetic macular edema: switching anti-VEGF treatments, adopting corticosteroid-based treatments, and combination therapy. Expert Opin Biol Ther. 2016;16:365-374.
5. Bhagat N, Grigorian RA, Tutela A, Zarbin MA. Diabetic macular edema: pathogenesis and treatment. Surv Ophthalmol. 2009;54:1-32.
6. Do DV, Shah SM, Sung JU, Haller JA, Nguyen QD. Persistent diabetic macular edema is associated with elevated hemoglobin A1c. Am J Ophthalmol. 2005;139:620-623.
7. Patel RD, Messner LV, Teitelbaum B, Michel KA, Hariprasad SM. Characterization of ischemic index using ultra-widefield fluorescein angiography in patients with focal and diffuse recalcitrant diabetic macular edema. Am J Ophthalmol. 2013;155:1038-1044.
8. Cunha-Vaz J, Ashton P, Iezzi R, et al; FAME Study Group. Sustained delivery fluocinolone acetonide vitreous implants: long-term benefit in patients with chronic diabetic macular edema. Ophthalmology. 2014;121:1892-1903.
9. Chin HS, Park TS, Moon YS, Oh JH. Difference in clearance of intravitreal triamcinolone acetonide between vitrectomized and nonvitrectomized eyes. Retina. 2005;25:556-560.
10. Zhioua I, Semoun O, Lalloum F, Souied EH. Intravitreal dexamethasone implant in patients with ranibizumab persistent diabetic macular edema. Retina. 2015;35:1429-1435.
11. Jumper JM, Embabi SN, Toth CA, McCuen BW II, Hatchell DL. Electron immunocytochemical analysis of posterior hyaloid associated with diabetic macular edema. Retina. 2000;20:63-68.
12. Lewis H, Abrams GW, Blumenkranz MS, Campo RV. Vitrectomy for diabetic macular traction and edema associated with posterior hyaloidal traction. Ophthalmology. 1992;99:753-759.
13. Klein R, Klein BE, Wang Q, Moss SE. The epidemiology of epiretinal membranes. Trans Am Ophthalmol Soc. 1994;92:403-25; discussion 425-430.
14. Stefansson E. The therapeutic effects of retinal laser treatment and vitrectomy. A theory based on oxygen and vascular physiology. Acta Ophthalmol Scand. 2001;79:435-440.
15. Pendergast SD, Hassan TS, Williams GA, et al. Vitrectomy for diffuse diabetic macular edema associated with a taut premacular posterior hyaloid. Am J Ophthalmol. 2000;130:178-186.
16. Flaxel CJ, Edwards AR, Aiello LP, et al. Factors associated with visual acuity outcomes after vitrectomy for diabetic macular edema: diabetic retinopathy clinical research network. Retina. 2010;30:1488-1495.
17. Yanyali A, Bozkurt KT, Macin A, Horozoglu F, Nohutcu AF. Quantitative assessment of photoreceptor layer in eyes with resolved edema after pars plana vitrectomy with internal limiting membrane removal for diabetic macular edema. Ophthalmologica. 2011;226:57-63.
18. Chhablani JK, Kim JS, Cheng L, Kozak I, Freeman W. External limiting membrane as a predictor of visual improvement in diabetic macular edema after pars plana vitrectomy. Graefes Arch Clin Exp Ophthalmol. 2012;250:1415-1420.
19. Kim J, Kang SW, Shin DH, Kim SJ, Cho GE. Macular ischemia and outcome of vitrectomy for diabetic macular edema. Jpn J Ophthalmol. 2015;59:295-304.
20. Ichiyama Y, Sawada O, Mori T, Fujikawa M, Kawamura H, Ohji M. The effectiveness of vitrectomy for diffuse diabetic macular edema may depend on its preoperative optical coherence tomography pattern. Graefes Arch Clin Exp Ophthalmol. 2016 Jan 18. [Epub ahead of print]
21. Sebag J. Pharmacologic vitreolysis--premise and promise of the first decade. Retina. 2009;29:871-874.
22. de Smet MD, Castilla M. Ocriplasmin for diabetic retinopathy. Expert Opin Biol Ther. 2013;13:1741-1747.
23. Azzolini C, D’Angelo A, Maestranzi G, et al. Intrasurgical plasmin enzyme in diabetic macular edema. Am J Ophthalmol. 2004;138:560-566.
24. Williams JG, Trese MT, Williams GA, Hartzer MK. Autologous plasmin enzyme in the surgical management of diabetic retinopathy. Ophthalmology. 2001;108:1902-1905; discussion 1905-1906.
25. Diaz-Llopis M, Udaondo P, Arevalo F, et al. Intravitreal plasmin without associated vitrectomy as a treatment for refractory diabetic macular edema. J Ocul Pharmacol Ther. 2009;25:379-384.
26. Jung JJ, Gallego-Pinazo R, Lleó-Pérez A, Huz JI, Barbazetto IA. NAVILAS laser system focal laser treatment for diabetic macular edema - one year results of a case series. Open Ophthalmol J. 2013;7:48-53.
27. Luttrull JK, Dorin G. Subthreshold diode micropulse laser photocoagulation (SDM) as invisible retinal phototherapy for diabetic macular edema: a review. Curr Diabetes Rev. 2012;8:274-284.
28. Vujosevic S, Martini F, Longhin E, Convento E, Cavarzeran F, Midena E. Subthreshold micropulse yellow laser versus subthreshold micropulse infrared laser in center-involving diabetic macular edema: morphologic and functional safety. Retina. 2015;35:1594-1603.
29. Vujosevic S, Martini F, Convento E, et al. Subthreshold laser therapy for diabetic macular edema: metabolic and safety issues. Curr Med Chem. 2013;20:3267-3271.
30. Gao X, Xing D. Molecular mechanisms of cell proliferation induced by low power laser irradiation. J Biomed Sci. 2009;16:4.







