SD-OCT in the Assessment of CSC
The evaluation of choroidal thickness and features in CSC.
RICARDO LOUZADA, MD • EDUARDO NOVAIS, MD • NADIA K WAHEED, MD, MPH
Optical coherence tomography is a useful, noninvasive imaging modality that enables high-resolution, depth-resolved imaging and aids in the quantitative and qualitative assessment of the retinal anatomy. Recent developments in OCT devices and software technology have significantly improved the visualization of retinal and choroidal diseases.
Enhanced depth imaging (EDI) provides high-resolution images of the retinal layers and improved visualization of the choroid. EDI was first implemented on the Spectralis (Heidelberg Engineering, Franklin, MA) spectral domain OCT, followed by other SD-OCT devices.1-7
Central serous chorioretinopathy is characterized in the acute phase by serous detachments causing a defect in the retinal pigment epithelium and the accumulation of subretinal fluid. CSC is most commonly found in men and is usually accompanied by a prominently thickened choroid.7-9
Disorders such as polypoidal choroidal vasculopathy and choroidal tumors also cause structural changes in the choroid; therefore, accurate segmentation of this layer is of great importance to ophthalmologists.10-15
Ricardo Louzada, MD, Eduardo Novais, MD, and Nadia K. Waheed, MD, MPH, serve on the faculty of the Tufts University Medical Center in Boston, MA. Emily Cole, BSC, is a medical student at Tufts. None of the authors report any financial interests in products mentioned in this article. Dr. Waheed can be reached via e-mail at nadiakwaheed@gmail.com.
Conventional SD-OCT operates at a wavelength of ~840 nm, which is not optimal for imaging of the choroid due to signal transmission difficulty through the RPE layer and structures below the RPE.
With conventional OCT, the “zero delay line,” or point of maximal sensitivity on OCT, is generally positioned near the inner surface of retina, to provide clear images of retinal structures. By moving the joystick closer to the eye, the zero delay line can be repositioned more posteriorly, closer to the inner border of the choroid, to provide higher-resolution choroidal images. This technique is called EDI-OCT. In this technique, the zero delay line is located near the outer retina and choroid, which is key for EDI.3,6,16
The aim of this study was to assess the features that can be assessed on OCT B scans, such as the appearance of the retinal and choroidal layers and visualization of the choroidal-scleral interface using one-line, high-resolution SD-OCT scans in eyes with CSC.
METHODS
This was a cross-sectional, observational study conducted at the New England Eye Center of Tufts Medical Center and was approved by the Tufts Medical Center and Massachusetts Institute of Technology institutional review boards. The research adhered to the tenets of the Declaration of Helsinki and complied with the Health Insurance Portability and Accountability Act of 1996. Written informed consent was obtained before OCT imaging. This was a comparative, qualitative analysis using three different SD-OCT devices in eyes with CSC.
Patient Selection
Qualitative cross-sectional image analysis was performed on 19 eyes of 19 patients diagnosed with CSC who were seen in the Retina Service at New England Eye Center, Tufts Medical Center. The patients were prospectively recruited to be imaged on multiple SD-OCT devices.
Image Acquisition and Analysis
The patients underwent same-day imaging on three different SD-OCT devices, using the Carl Zeiss Meditec (Dublin, CA) Cirrus HD-OCT, the Nidek (Fremont, CA) RS-3000 Advanced, and the Optovue (Fremont, CA) RTVue.
The Zeiss Cirrus HD 5000 operates at 68,000 A-scans per seconds. The scan patterns used were a 6-mm HD 1-line raster and a 5-line raster scan, which takes adjacent scans 0.25 mm apart with a corresponding reference scanning laser ophthalmoscope image. During imaging, the image is inverted to bring the choroid adjacent to the zero-delay line. The OCT B-scan can better visualize the choroid using EDI mode.
The 5-line raster scan on the Cirrus 5000 is the highest density scan, and the length, angle, and spacing between the lines can be adjusted to acquire the best view of the area of interest. The OCT fundus image is the en face surface view of the 6- by 6-mm area of data. Simultaneous capture of the OCT and the SLO fundus images ensures precise registration between the OCT scan and the fundus image (Figure 1).17
Figure 1. OCT Zeiss Cirrus HD 5000. Central serous chorioretinopathy in the right eye of a 45-year-old Caucasian man. SLO with a 9-mm HD OCT scan.
The Optovue RTVue operates at 70,000 A-scan per seconds. The scan patterns used on the Optovue RTVue were the Retina Cross Line, which consists of two orthogonally oriented 6-mm lines, and the enhanced HD Line Scan, which is a high-density 12-mm scan with presentation options for enhanced vitreous or choroidal viewing.
The choroid can be better visualized using Deep Choroid Imaging (DCI), which sets the strongest signal deep in the choroid and scleral area of the image, so the choroid is closer to the zero delay line.6 With chorioretinal mode, it is possible to better visualize the choroid using the DCI.
Motion artifacts are reduced using Motion Correction technology, which consists of proprietary algorithms applied to the three-dimensional dataset. Widefield Enface Reference specifically segment an en face view of the 320 by 320 area (28-µm spacing).
A corresponding 3D structural en face OCT-B scan can be viewed alongside the OCT A scan to allow for precise localization of vascular and structural features. Real Time Tracking enables imaging follow up at the same location so that disease progression can be visualized over time (Figure 2).
Figure 2. OCT Optovue RTVue. Central serous chorioretinopathy in the right eye of a 40-year-old Caucasian man. SLO with a 12-mm HD OCT scan, enhanced line.
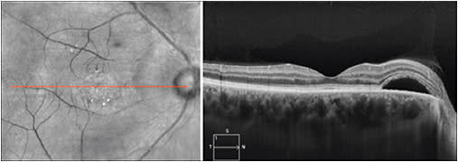
The scan pattern used on the Nidek RS-3000 Advanced was a 12-mm line scan that averages 50 to 120 scans for improved resolution. Choroidal imaging parameters invert the image. All of the scans were performed with Ultra Fine resolution which has 13,250 A-scans per second. There are also options for regular mode scans, which have 53,000 A-scans per second, and fine mode, which has 26,500 A-scans per second.
Adjustable OCT sensitivity enables enhanced visualization based on different ocular pathologies. The Torsion Eye Tracer results in significantly reduced motion artifacts. This traces involuntary eye movements to maintain the same scan location on the SLO image for accurate image capture and a reduction in motion artifacts.
The corresponding SLO image has a 12-fps frame rate and 40° x 30° angle of view. All of the images were taken centered at the fovea, as well as at an extrafoveal location when the CSC was located in the periphery (Figure 3).
Figure 3. OCT Nidek RS-3000 Adanced. Central serous chorioretinopathy in the right eye of a 48 year-old Caucasian man.
RESULTS
Patient Demographics
A total of 19 eyes from 19 patients with CSC were included. Nine eyes (47.37%) were acute and 10 eyes (52.63%) were inactive. Fourteen eyes (73.68%) had CSC located subfoveally and perifoveally, and five eyes (26.32) had CSC located extrafoveally. Eighteen subjects (94.74%) were male, and one (5.26%) was female. The mean age of the study population was 50.78±12.45 years old (range 33-73 years).18,19
DISCUSSION
OCT is a noninvasive and commonly utilized imaging modality used to visualize retinal and choroidal pathology. CSC can present subfoveally, perifoveally, or extrafoveally. In extrafoveal CSC, the corresponding fundus surface image (scanning laser ophthalmoscope) image can be used to assess the location of the pathology.
The technology of tracing HD plus enhances image capture accuracy utilizing fundus information obtained from the high definition SLO image and involuntary eye movements to maintain the same location of the line scan in the macula line scan pattern for accurate image capture.
En face OCT B scans can be viewed, although it may require software updates in certain models. On the Nidek RS-3000 Advanced, SLO fundus images are presented alongside the OCT-B scans to better visualize chorioretinal disease.
All three devices have features that enable improved choroidal imaging, whether EDI or deep choroidal imaging. Visualization of the choroid enables analysis of structures under the RPE, the choroidal vessels, and the choroidal scleral junction.
Some of the distinguishing features of the Nidek Advance are the longer (12-mm) scan length, the ability to rotate the axis of the imaged line, the high-quality SLO imaging, and the ultrafine choroidal imaging obtained with EDI.
CONCLUSION
This method provides detailed images in extrafoveal pathologies from the choroid heretofore difficult to image in clinical practice. Choroidal imaging can be performed on multiple devices, with different features that enable high-resolution imaging. In this comparison, we presented images from the Nidek, Cirrus, and OptoVue SD-OCT. RP
REFERENCES
1. Spaide RF. Enhanced depth imaging optical coherence tomography of retinal pigment epithelial detachment in age-related macular degeneration. Am J Ophthalmol. 2009;147:644-652.
2. Huang D, Swanson EA, Lin CP, et al. Optical coherence tomography. Science. 1991;254:1178-1181.
3. Spaide RF, Koizumi H, Pozzoni MC. Enhanced depth imaging spectral-domain optical coherence tomography. Am J Ophthalmol. 2008;146:496-500.
4. Margolis R, Spaide RF. A pilot study of enhanced depth imaging optical coherence tomography of the choroid in normal eyes. Am J Ophthalmol. 2009;147:811-815.
5. Fujiwara T, Imamura Y, Margolis R, Slakter JS, Spaide RF. Enhanced depth imaging optical coherence tomography of the choroid in highly myopic eyes. Am J Ophthalmol. 2009;148:445-450.
6. Imamura Y, Fujiwara T, Margolis R, Spaide RF. Enhanced depth imaging optical coherence tomography of the choroid in central serous chorioretinopathy. Retina. 2009;29:1469-1473.
7. Maruko I, Iida T, Sugano Y, Ojima A, Ogasawara M, Spaide RF. Subfoveal choroidal thickness after treatment of central serous chorioretinopathy. Ophthalmology. 2010;117:1792-1799.
8. Manjunath V, Taha M, Fujimoto JG, Duker JS. Choroidal thickness in normal eyes measured using Cirrus HD optical coherence tomography. Am J Ophthalmol. 2010;150:325-329.
9. Kuroda S, Ikuno Y, Yasuno Y, et al. Choroidal thickness in central serous chorioretinopathy. Retina. 2013;33:302-308.
10. Spaide RF, Hall L, Haas A, et al. Indocyanine green videoangiography of older patients with central serous chorioretinopathy. Retina. 1996;16:203-213.
11. Gemenetzi M, De Salvo G, Lotery AJ. Central serous chorioretinopathy: an update on pathogenesis and treatment. Eye (Lond). 2010;24:1743-1756.
12. Guyer DR, Yannuzzi LA, Slakter JS, Sorenson JA, Ho A, Orlock D. Digital indocyanine green videoangiography of central serous chorioretinopathy. Arch Ophthalmol. 1994;112:1057-1062.
13. Novais EA, Ferrara D, Waheed NK. Optical coherence tomography in polypoidal choroidal vasculopathy disease. Clin Exp Ophthalmol. 2015;43:779-781.
14. Yannuzzi LA, Freund KB, Goldbaum M, et al. Polypoidal choroidal vasculopathy masquerading as central serous chorioretinopathy. Ophthalmology. 2000;107:767-777.
15. Gallego-Pinazo R, Dolz-Marco R, Gomez-Ulla F, Mrejen S, Freund KB. Pachychoroid diseases of the macula. Med Hypothesis Discov Innov Ophthalmol. 2014;3:111-115.
16. Povazay B, Hermann B, Unterhuber A, et al. Three-dimensional optical coherence tomography at 1050 nm versus 800 nm in retinal pathologies: enhanced performance and choroidal penetration in cataract patients. J Biomed Opt. 2007;12:041211.
17. Manjunath V, Fujimoto JG, Duker JS. Cirrus HD-OCT high definition imaging is another tool available for visualization of the choroid and provides agreement with the finding that the choroidal thickness is increased in central serous chorioretinopathy in comparison to normal eyes. Retina. 2010;30:1320-1321; author reply 1321-1322.
18. Schatz H, Madeira D, Johnson RN, McDonald HR. Central serous chorioretinopathy occurring in patients 60 years of age and older. Ophthalmology. 1992;99:63-67.
19. Spaide RF, Campeas L, Haas A, et al. Central serous chorioretinopathy in younger and older adults. Ophthalmology. 1996;103:2070-2079; discussion 2079-2080.







