An important aspect of vitreous anatomy is its adherence to the retina through poorly understood mechanisms that involve fibrinogen, fibrinoactin, laminin, and collagen. Starting early in life, the vitreous core liquefies by syneresis and its adherence to the retina weakens (vitreolysis), culminating in a posterior vitreous detachment starting at around age 50.
Although almost universal (>70% of people by age 851) and mostly innocuous, PVD can be accompanied by deleterious effects on the normal or otherwise diseased retina, causing debilitating conditions that significantly decrease vision. Among these conditions are retinal tears, macular holes, macular puckers, vitreomacular traction and macular edema, to name a few.
Patients with a PVD present with complaints of flashing lights, commonly described as temporal arcs of light (also known as Moore lightning streaks), floaters of many different shapes, and a haze covering their entire field of vision. The flashes and the haze subside over 2-3 weeks, and the floaters remain but rarely cause problems.
Management of patients with such symptoms includes prompt vitreoretinal exam and subsequent monitoring over 6 weeks to rule out retinal tears. Surface wrinkling retinopathy may appear during that period or soon thereafter.
EXAMINATION
The vitreoretinal exam includes indirect ophthalmoscopy and indirect biomicroscopy. The most reliable sign of a complete vitreous detachment is a Weiss ring that represents a detached, opacified, peripapillary hyaloid. The Weiss ring, however, is easily missed and often impossible to visualize, leaving the examiner to rely on symptoms for a final diagnosis.
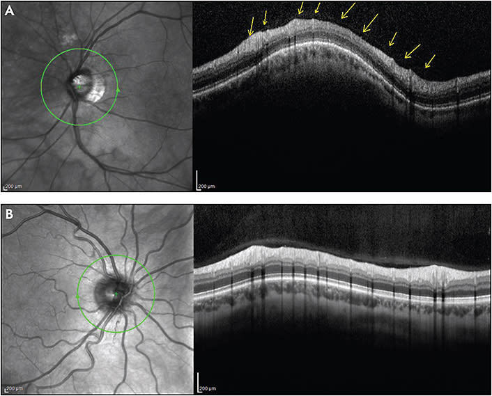
One of the very commonly used modules of OCT can be very useful in unequivocally and very reliably (approximately 95% specificity and sensitivity, based on the author’s experience) demonstrating a PVD. The nerve fiber layer (NFL) module of the OCT (Heidelberg or Zeiss) often demonstrates a line above the retina. This, in the author’s opinion, represents posterior hyaloid still attached to the ONH (Figures 1 and 2). Note the faint nature of the reflection in Figure 1A. Most of the time, however, the line is much more defined and much more easily visualized, as in Figure 1B. This easy use of an already existing module on all OCT machines has proven to be very reliable and has helped us advise patients more accurately, especially when a Weiss ring is not visualized.
PATIENT CASE
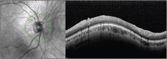
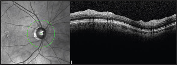
A 56-year-old patient presented with new floaters in both eyes. The exam was difficult, and a Weiss ring could not be visualized in either eye. The OCT imaging showed PVD in the right eye (Figure 3) but not in left (Figure 4), which meant that the lack of a Weiss ring visualization was due to the exam difficulty in the right eye while in the left eye it was because the vitreous was not yet completely separated. The patient was advised accordingly.
CONCLUSION
The significance of such findings as its relates to pathology is still unclear, because the experience with it is limited to one practioner. A wider use of such an easily accessible technique may help confirm its accuracy and usefulness as well as shed more light on its relation to pathology and prognosis. RP
REFERENCE
- Weber-Krause B, Eckardt C. Incidence of posterior vitreous detachment in the elderly [Article in German]. Ophthalmologe. 1997;94(9):619-623.







