Diabetic macular edema (DME) remains an important cause of visual loss worldwide. Over the past decade, intravitreal pharmacotherapy has replaced focal/grid photocoagulation as the most commonly used first-line treatment for center-involved DME. Currently available pharmacologic options include 2 categories of intravitreal medications: anti-VEGF agents and corticosteroids. In addition, pars plana vitrectomy (PPV) may be beneficial for some patients with DME. Many randomized clinical trials (RCTs), including those from the Diabetic Retinopathy Clinical Research Network (DRCR.net ), provide useful guidance for treating DME. Our current preferences are discussed in this manuscript.
MEASURING RESPONSE
The concept of “response” to pharmacotherapy for DME is complex. Macular thickening is typically measured with optical coherence tomography (OCT), but the relationship between central subfield thickness (CST) and best-corrected visual acuity (BCVA) is not straightforward. Some patients achieve excellent anatomic results with treatment but do not achieve corresponding visual acuity (VA) improvement; this disparity may be due to macular ischemia, photoreceptor damage due to longstanding edema, or other factors. Disorganization of the inner retinal layers on spectral-domain (SD)-OCT has been reported to be associated with worse baseline BCVA and less favorable response to treatment.1,2 Alternatively, some patients with persistent DME may maintain or even improve in BCVA.
OBSERVATION AND METABOLIC CONTROL
DME is a relatively slowly progressive disease, especially compared with other maculopathies such as neovascular AMD, and a period of observation may be warranted. Also, all patients with DME should be counselled regarding the importance of optimal control of blood glucose, serum lipids, and blood pressure.
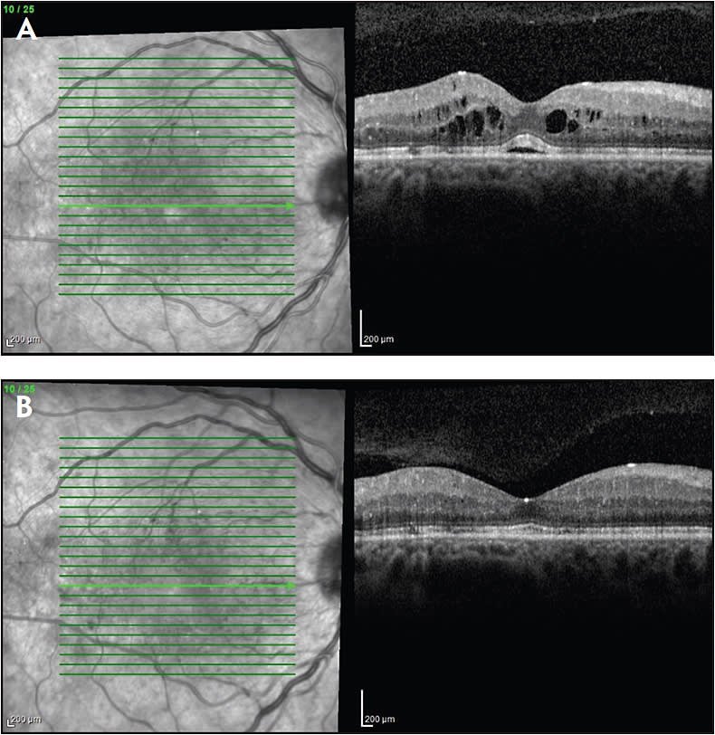
Observation, along with encouragement of tighter control of metabolic factors, may be considered in certain patients (Figure 1). These patients may include asymptomatic patients, patients with good presenting BCVA, and patients with non-center-involved DME.
INTRAVITREAL ANTI-VEGF THERAPY
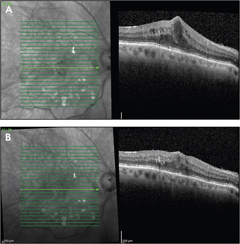
While control of glucose, lipids, and blood pressure is recommended for all patients with DME, when the decision is made to begin intraocular treatment, most patients with center-involved DME are offered anti-VEGF therapy (Figure 2).3 Currently available anti-VEGF agents include aflibercept (Eylea; Regeneron), ranibizumab (Lucentis; Genentech), and off-label bevacizumab (Avastin; Genentech). Off-label pegaptanib sodium (Macugen; Bausch + Lomb) is available in some locations but is rarely used due to its perceived lower efficacy compared with the other anti-VEGF agents. The preference for anti-VEGF agents as first-line therapy is based largely on the results of DRCR.net Protocol I, in which treatment with intravitreal ranibizumab was associated with generally more favorable outcomes than photocoagulation or intravitreal triamcinolone acetonide.4
The choice of anti-VEGF agent is controversial. DRCR.net Protocol T reported that, in patients with presenting BCVA between 20/32 and 20/40, BCVA improvement at 1 year was similar among patients randomized to receive aflibercept, bevacizumab, or ranibizumab, although aflibercept was associated with the greatest mean reduction in CST (this difference was significant compared with bevacizumab but not significant compared with ranibizumab). In patients with presenting BCVA of 20/50 or worse, aflibercept was associated with significantly greater BCVA improvement at 1 year than ranibizumab or bevacizumab.5 At 2 years, among patients with presenting BCVA of 20/50 or worse, aflibercept was still associated with significantly greater BCVA improvement compared with bevacizumab, but not compared with ranibizumab; aflibercept was still associated with the greatest mean reduction in CST (again, the difference was significant compared with bevacizumab but not significant compared with ranibizumab).6
Based on these RCT outcomes, all 3 anti-VEGF agents are effective for most patients with center-involved DME. For eyes with a presenting BCVA of 20/50 or worse, aflibercept is associated with better BCVA outcomes than ranibizumab at 1 year and with better BCVA outcomes than bevacizumab at 1 and 2 years. Patients with suboptimal insurance coverage who are unable to afford aflibercept are generally treated with bevacizumab.
Regardless of the anti-VEGF agent selected, patients are initially treated monthly. Prompt extension of treatment intervals may be considered in patients who have a good treatment response, but treatment failure (nonresponse) generally cannot be determined until approximately 6 monthly injections have been performed. In nonresponders, 1 option would be to switch anti-VEGF agents, although there is little peer-reviewed evidence to support this practice. A retrospective review of patients from DRCR.net protocol I and the Comparison of Age-Related Macular Degeneration Treatments Trial (CATT) study concluded that patients who were apparent “treatment failures” at both 3 and 6 months (based on BCVA of 20/40 or worse, <1-line improvement in BCVA, and persistent edema on OCT) but who continued on their initial anti-VEGF agent experienced continued improvement in BCVA and CST.7 This finding suggests that patients who improve after switching agents might improve for reasons other than the change in medication.
INTRAVITREAL CORTICOSTEROIDS
Some patients do not respond sufficiently to anti-VEGF therapy. For example, in Protocol I, approximately 40% of participants randomized to receive ranibizumab had persistent macular thickening at 24 weeks.8 Similarly, in Protocol T, CST at 1 year was >250 µm in 34% to 64% of patients.5 While some patients insufficiently responsive to 1 anti-VEGF drug may respond well to another anti-VEGF drug, other patients do not respond sufficiently to anti-VEGF therapy. Patients insufficiently responsive to anti-VEGF therapy may be treated with intravitreal corticosteroids.9,10
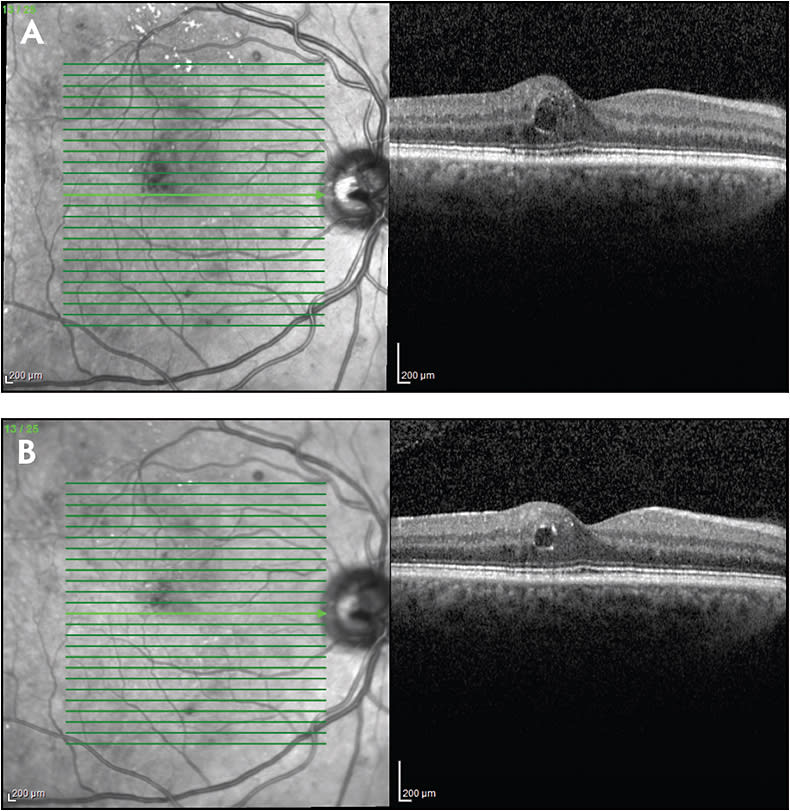
Currently available corticosteroids include the dexamethasone delivery system (Ozurdex; Allergan), the fluocinolone acetonide insert (Iluvien; Alimera), and off-label triamcinolone acetonide. When initiating corticosteroid therapy, the preferred options are the dexamethasone delivery system (which is FDA approved for DME) or intravitreal triamcinolone (which is used off label for DME) due to their relatively short durations of action (approximately 3 months) (Figure 3). Triamcinolone is less expensive, somewhat easier to inject, and may be associated with less patient discomfort than the dexamethasone delivery system, which comes packaged in a proprietary injector with a larger needle (22 gauge) than is generally used to inject intravitreal triamcinolone.
The relatively short durations of action of the dexamethasone delivery system and intravitreal triamcinolone permit an assessment of whether corticosteroids are effective in that particular patient, whether prolonged steroid therapy may be needed or whether only a relatively short course of corticosteroid treatment is needed (ie, does the DME recur as the effect of the steroid wanes), and whether that patient is a steroid responder (in terms of IOP elevation) prior to consideration of using the longer-acting fluocinolone insert. Some patients require steroids for only a short time to achieve favorable VA and OCT outcomes that can then be maintained with anti-VEGF therapy.
Intravitreal corticosteroids are associated with such ocular risks as cataract progression and IOP elevation. This consideration makes a switch from anti-VEGF agents to corticosteroids relatively less desirable in young phakic patients and in patients with glaucoma or a history of steroid response. The dexamethasone delivery system was reported to be effective in a small study of pregnant patients, and this option might be considered prior to anti-VEGF therapy in this specific situation.11
There is relatively little head-to-head comparative information of corticosteroids vs anti-VEGF therapy for the management of DME in the peer-reviewed literature. DRCR.net Protocol I randomized patients with DME to receive: (1) sham injection plus prompt laser; (2) ranibizumab plus prompt laser; (3) ranibizumab plus deferred (>24 weeks) laser; or (4) triamcinolone plus prompt laser. At both 1 and 2 years, the 2 ranibizumab groups (but not the triamcinolone group) experienced significantly greater improvements in BCVA than the sham injection plus prompt laser group. In pseudophakic patients, however, BCVA improvements in the triamcinolone group were similar to those in the ranibizumab groups, suggesting that cataract progression limited the outcomes of phakic patients treated with triamcinolone.4
More recently, a phase 2 RCT comparing the dexamethasone delivery system to bevacizumab in patients with DME reported similar rates of BCVA improvement of >10 letters in each group. In this trial, the dexamethasone delivery system was associated with a nonsignificantly greater reduction in mean CST but was also associated with a greater rate of BCVA worsening of >10 letters, primarily due to cataract.12
Patients who respond well to 1 or more treatments with corticosteroids, who require prolonged treatment with corticosteroids to manage their DME, and who did not experience significant steroid-related adverse events may be considered for treatment with the fluocinolone insert,13 which has a reported duration of action of 3 years or more.14 However, the insert is expensive and is associated with high rates of cataract and IOP elevation. In a phase 3 RCT, in patients treated with the 0.2-µg insert, 74.9% of phakic eyes underwent cataract surgery and 3.7% of eyes underwent incisional glaucoma surgery over 2 years.15
PARS PLANA VITRECTOMY
Pars plana vitrectomy may be considered for some patients with DME, especially when epiretinal membrane (ERM) or vitreomacular traction (VMT) is also present. Most series have reported better anatomic than visual outcomes with this approach. For example, the DRCR.net reported a prospective cohort study of 87 eyes with DME and VMT treated surgically. At 6 months, median CST decreased by 160 µm, 38% of patients experienced BCVA improvement of >10 letters, and 22% experienced BCVA worsening of >10 letters.16 In another prospective study by the DRCR.net , 241 patients were treated with PPV. Median CST decreased by 134 µm at 6 months, but overall median BCVA did not improve. In this series, patients with preoperative ERM and worse baseline BCVA had relatively better visual outcomes.17 Identifying which patients might benefit from PPV is challenging. One small retrospective series reported that patients with an intact external limiting membrane on SD-OCT experienced the best visual outcomes.18
An alternative to PPV for patients with combined DME and VMT is ocriplasmin (Jetrea; ThromboGenics).19 The phase 3 RCT for ocriplasmin excluded patients with proliferative diabetic retinopathy but did not specify whether any enrolled patients also had DME.20 Some cases of severe visual loss have been reported following the use of ocriplasmin.21 Of note, a single case report documented progressive release of VMT in a patient with both DME and VMT treated with 5 injections of aflibercept.22
COMBINATION THERAPY
Given the different mechanisms of action of anti-VEGF agents, corticosteroids, focal/grid photocoagulation, and PPV, combination therapy may be a useful approach, especially for patients who respond inadequately to anti-VEGF therapy.23,24 However, there is insufficient information in the peer-reviewed literature to draw definitive conclusions regarding the safety and efficacy of combination therapy in the management of DME.
SUMMARY
All patients with DME should be counselled regarding the importance of optimal control of blood glucose, serum lipids, and blood pressure. Our current management protocol for most patients with center-involved DME is anti-VEGF as the first-line therapy. Patients who achieve complete resolution of edema but no visual improvement are suspected of having permanent retinal damage due to ischemia, chronic edema, or other causes, and consideration is given to discontinuing DME therapy. Alternatively, patients who do not achieve sufficient anatomic improvement after approximately 6 monthly anti-VEGF injections may be switched to a different anti-VEGF agent or to a short-acting corticosteroid (intravitreal triamcinolone or the dexamethasone delivery system). Some patients may then be maintained on anti-VEGF therapy (with occasional use of a short-acting corticosteroid as needed) or on repeated doses of the shorter-acting corticosteroids. If the patient demonstrates a need for persistent corticosteroid therapy, the fluocinolone insert may be considered. PPV may be considered in select circumstances, especially if concomitant ERM or VMT is present. Using these guidelines, favorable outcomes may be obtained in many patients. RP
REFERENCES
- Sun JK, Lin MM, Lammer J, et al. Disorganization of the retinal inner layers as a predictor of visual acuity in eyes with center-involved diabetic macular edema. JAMA Ophthalmol. 2014;132:1309-1316.
- Grewal DS, Hariprasad SM, Jaffe GJ. Role of disorganization of retinal inner layers as an optical coherence tomography biomarker in diabetic and uveitic macular edema. Ophthalmic Surg Lasers Imaging Retina. 2017;48(4):282-288.
- Jampol LM, Bressler NM, Glassman AR. Revolution to a new standard treatment of diabetic macular edema. JAMA. 2014;311(22):2269-2270.
- Diabetic Retinopathy Clinical Research Network; Elman MJ, Aiello LP, Beck RW, et al. Randomized trial evaluating ranibizumab plus prompt or deferred laser or triamcinolone plus prompt laser for diabetic macular edema. Ophthalmology. 2010;117(6):1064-1077.
- Diabetic Retinopathy Clinical Research Network; Wells JA, Glassman AR, Ayala AR, et al. Aflibercept, bevacizumab, or ranibizumab for diabetic macular edema. N Engl J Med. 2015;372(13):1193-1203.
- Wells JA, Glassman AR, Ayala AR, et al. Aflibercept, bevacizumab, or ranibizumab for diabetic macular edema: two-year results from a comparative effectiveness randomized clinical trial. Ophthalmology. 2016;123(6):1351-1359.
- Ferris FL 3rd, Maguire MG, Glassman AR, Ying GS, Martin DF. Evaluating effects of switching anti-vascular endothelial growth factor drugs for age-related macular degeneration and diabetic macular edema. JAMA Ophthalmol. 2016 Dec 22 [Epub ahead of print].
- Bressler SB, Ayala AR, Bressler NM, et al. Persistent macular thickening after ranibizumab treatment for diabetic macular edema with vision impairment. JAMA Ophthalmol. 2016;134(3):278-285.
- Schwartz SG, Scott IU, Stewart MW, Flynn HW Jr. Update on corticosteroids for diabetic macular edema. Clin Ophthalmol. 2016;10:1723-1730.
- Regillo CD, Callanan DG, Do DV, et al. Use of corticosteroids in the treatment of patients with diabetic macular edema who have a suboptimal response to anti-VEGF: recommendations of an expert panel. Ophthalmic Surg Lasers Imaging Retina. 2017;48(4):291-301.
- Concillado M, Lund-Andersen H, Mathiesen ER, Larsen M. Dexamethasone intravitreal implant for diabetic macular edema during pregnancy. Am J Ophthalmol. 2016;165:7-15.
- Gillies MC, Lim LL, Campain A, et al. A randomized clinical trial of intravitreal bevacizumab versus intravitreal dexamethasone for diabetic macular edema: the BEVORDEX study. Ophthalmology. 2014;121(12):2473-2481.
- Stewart MW, Flynn HW Jr, Schwartz SG, Scott IU. Extended duration strategies for the pharmacologic treatment of diabetic retinopathy: current status and future prospects. Expert Opin Drug Deliv. 2016;13(9):1277-1287.
- Campochiaro PA, Brown DM, Pearson A, et al. Sustained delivery fluocinolone acetonide vitreous inserts provide benefit for at least 3 years in patients with diabetic macular edema. Ophthalmology. 2012;119(10):2125-2132.
- Campochiaro PA, Brown DM, Pearson A, et al. Long-term benefit of sustained-delivery fluocinolone acetonide vitreous inserts for diabetic macular edema. Ophthalmology. 2011;118(4):626-635.
- Diabetic Retinopathy Clinical Research Network Writing Committee; Haller JA, Qin H, Apte RS, et al. Vitrectomy outcomes in eyes with diabetic macular edema and vitreomacular traction. Ophthalmology. 2010;117(6):1087-1093.
- Flaxel CJ, Edwards AR, Aiello LP, et al. Factors associated with visual acuity outcomes after vitrectomy for diabetic macular edema: Diabetic Retinopathy Clinical Research Network. Retina. 2010;30(9):1488-1495.
- Chhablani JK, Kim JS, Cheng L, Kozak I, Freeman W. External limiting membrane as a predictor of visual improvement in diabetic macular edema after pars plana vitrectomy. Graefes Arch Clin Exp Ophthalmol. 2012;250(10):1415-1420.
- Rizzo S, Bacherini D. Enzymatic vitreolysis for vitreomacular traction in diabetic retinopathy. Dev Ophthalmol. 2017;60:160-164.
- Stalmans P, Benz MS, Gandorfer A, et al. Enzymatic vitreolysis with ocriplasmin for vitreomacular traction and macular holes. N Engl J Med. 2012;367(7):606-615.
- Shah SP, Jeng-Miller KW, Fine HF, et al. Post-marketing survey of adverse events following ocriplasmin. Ophthalmic Surg Lasers Imaging Retina. 2016;47(2):156-160.
- Schwartz SG, Flynn HW Jr. Progressive release of vitreomacular traction with aflibercept. Ophthalmic Surg Lasers Imaging Retina. 2016;47(5):477-481.
- Al Rashaed S, Arevalo JF. Combined therapy for diabetic macular edema. Middle East Afr J Ophthalmol. 2013;20(4):315-320.
- Amoaku WM, Saker S, Stewart EA. A review of therapies for diabetic macular oedema and rationale for combination therapy. Eye (Lond). 2015;29(9):1115-1130.







