Choroidal neovascularization (CNV) may arise in association with several conditions other than AMD. These include pathologic myopia, uveitis, central serous chorioretinopathy, angioid streaks, choroidal osteoma, hereditary chorioretinal diseases, and iatrogenic disorders. In some cases, no specific cause can be identified, and these cases are known as idiopathic CNV. The initial stimulus leading to the development of CNV is complex and varies according to the underlying disease etiology. The occurrence of CNV associated with non-AMD conditions often affects patients at a younger age; therefore, some patients may develop work limitations leading to considerable financial losses and emotional distress. Regardless of the inciting stimulus involved in the development of CNV, it is now well established that VEGF plays a major role in its pathogenesis.1 Anti-VEGF agents also are now commonly used in the treatment of CNV of various etiologies. This article will review the current applications of anti-VEGF agents in various types of CNV due to non-AMD causes.
Danny S.C. Ng, MPH, FRCS(Ed), is from the Department of Ophthalmology and Visual Sciences, The Chinese University of Hong Kong, Hong Kong Eye Hospital, Kowloon, Hong Kong. Timothy Y.Y. Lai, MD, FRCS(Ed), FRCOphth, is from the Department of Ophthalmology and Visual Sciences, The Chinese University of Hong Kong, Hong Kong Eye Hospital, Kowloon, Hong Kong, and the 2010 Retina and Macula Centre, Kowloon, Hong Kong. Dr. Ng reports no related disclosures. Dr. Lai reports grants from Bayer and Novartis, and personal fees from Heidelberg Engineering, Allergan, Bayer, Novartis, and Genentech. Dr. Lai can be reached at tyylai@cuhk.edu.hk.
ANTI-VEGF FOR MYOPIC CNV
In pathologic myopia, excessive global elongation causes mechanical stretching and thinning of the choroid and retinal pigment epithelial (RPE) layers, leading to various degenerative changes in the retina, including the development of mechanical rupture of Bruch’s membrane (lacquer cracks) and CNV.2 Myopic CNV has a reported incidence of 5.2% to 11.3% in individuals with pathologic myopia.3
Initially, off-label uses of bevacizumab (Avastin; Genentech) and ranibizumab (Lucentis; Genentech) reported improvement in visual acuity (VA) in a number of uncontrolled and nonrandomized case series.4-7 Subsequently, 2 large clinical trials, the RADIANCE and MYRROR studies, also reported favorable outcomes, and intravitreal anti-VEGF therapy is now the current first-line therapy for treatment of myopic CNV.4,8,9 The favorable results from the studies have also led to approval of ranibizumab and aflibercept (Eylea; Regeneron) by various health authorities for the treatment of myopic CNV.
RADIANCE is a phase 3, randomized, double-masked, multicenter study that compared the efficacy and safety of 2 different dosing regimens of ranibizumab (guided by visual stabilization or disease activity) compared with verteporfin photodynamic therapy (vPDT) (Visudyne; Bausch + Lomb) for the treatment of myopic CNV (Table 1).8 Patients in the ranibizumab arms were treated with a pro re nata (PRN) approach after a single ranibizumab injection (disease activity group) or 2 ranibizumab injections (visual stabilization group). At the primary endpoint at 3 months, results demonstrated that both ranibizumab regimens were superior to vPDT in terms of mean BCVA change from baseline to month 3, with BCVA gains of 10.5 and 10.6 letters in the ranibizumab groups compared with 2.2 letters in the vPDT group. From month 3 to 11, eyes in the vPDT group could be treated with ranibizumab, vPDT, or both. This group of patients gained 9.3 letters by month 12 after they were commenced on ranibizumab therapy, but the gain was less when compared with eyes treated with ranibizumab from the outset (gains of 13.8 and 14.4 letters). This indicated that while eyes previously treated with vPDT may still gain vision after switching to ranibizumab, the improvement may not be as good as in those treated initially with ranibizumab.
| STUDY NAME AND CNV CAUSES | TREATMENTS | DOSING FREQUENCY | PRIMARY STUDY ENDPOINT | TOTAL STUDY DURATION | NUMBER OF EYES | BCVA CHANGE AT PRIMARY ENDPOINT (ETDRS LETTERS) | BCVA CHANGES AT MONTH 12 (ETDRS LETTERS) | MEAN NUMBER OF INJECTIONS |
|---|---|---|---|---|---|---|---|---|
| RADIANCE8 (pathologic myopia) | Ranibizumab 0.5 mg | Group 1: ranibizumab on day 1, month 1, thereafter as needed guided by VA stabilization criteria (defined as no change in BCVA compared with values of the 2 preceding monthly visits) | 3 months | 12 months | 105 | +10.5 | +13.8 | 4.0 |
| Ranibizumab 0.5 mg | Group 2: ranibizumab on day 1, thereafter as needed guided by disease activity criteria (defined as vision impairment attributable to intraretinal or subretinal fluid, or active leakage secondary to pathologic myopia as assessed by OCT and/or FA) | 3 months | 12 months | 116 | +10.6 | +14.4 | 2.0 | |
| vPDT | Group 3: vPDT treatment on day 1, then ranibizumab or vPDT as of month 3 as per investigators’ discretion | 3 months | 48 weeks | 55 | +2.2 | +9.3 | 2.0 | |
| MYRROR9 (pathologic myopia) | Aflibercept 2.0 mg | Group 1: aflibercept treatment on day 1, thereafter as needed in case of CNV persistence or recurrence as assessed by BCVA, OCT, and/or FA | 24 weeks | 48 weeks | 91 | +12.1 | +13.5 | 4.2 |
| Sham | Group 2: sham treatment on day 1 though month 5. Aflibercept on month 6 and thereafter aflibercept (if disease persisted/recurred) or sham every month | 24 weeks | 48 weeks | 31 | -2.0 | +3.9 | 3.0 | |
| MINERVA44 (non-AMD and nonpathologic myopia) | Ranibizumab 0.5 mg | Group 1: ranibizumab on day 1, thereafter as needed | 2 months | 12 months | 119 | +9.9 | +11.0 | 5.8 |
| Sham | Group 2: sham on day 1 and as needed at month 1, then ranibizumab at month 2 as needed | 2 months | 12 months | 59 | -0.4 | +9.3 | 5.4 |
The efficacy and safety of aflibercept were evaluated in another phase 3, multicenter, randomized, double-masked, sham-controlled trial known as the MYRROR study (Table 1).9 Patients were randomized to a single initial 2-mg dose of intravitreal aflibercept or sham injections. Additional aflibercept injections were given in case of CNV persistence or recurrence at monthly visits through week 44. Patients in the sham group were allowed to switch to aflibercept injection at week 24. At the primary endpoint at week 24, patients in the aflibercept group gained a mean of 12.1 letters, while the sham group lost 2.0 letters. At week 48, patients in the sham group gained only 3.9 letters despite switching to aflibercept at week 24, whereas patients in the aflibercept group had a cumulative gain of 13.5 letters compared with baseline. Like the RADIANCE study, the number of intravitreal injections in this study was low. Over the study period of 48 weeks, patients received a median of 3 aflibercept injections.
Fluorescein angiography (FA) is indicated to confirm the diagnosis of myopic CNV before starting anti-VEGF treatment. Spectral-domain optical coherence tomography (SD-OCT) is also very useful for assessing myopic CNV (Figure 1) and for documenting any coexisting macular changes, such as myopic traction maculopathy or myopic foveoschisis. Both the RADIANCE and MYRROR studies adopted a PRN treatment approach after the initial injections for retreatment. During reassessment, VA, symptomatology, and SD-OCT findings are useful to determine if retreatment is needed. In cases where SD-OCT appears “dry” but is accompanied with visual loss, FA should be considered because fluorescein leakage may be a more sensitive indicator of residual activity in eyes with myopic CNV.
Neither the RADIANCE nor MYRROR studies identified any new safety signals.8,9 In particular, there was no retinal detachment, which might be a particular concern in highly myopic eyes receiving repeated intravitreal injections. Rare cases of macular detachment and macular hole formation have been reported after intravitreal bevacizumab injections.10 Progressive chorioretinal atrophy around the CNV is the main cause of poor vision in patients with myopic CNV; however, these complications may also be part of the natural history of pathologic myopia, and long-term studies are required to determine if these are sequelae of repeated anti-VEGF injections.11 A recent study by Ohno-Matsui et al found that eyes that had intravitreal anti-VEGF therapy appeared to have reduced risk of Bruch’s membrane rupture in myopic CNV, which in turn was associated with a smaller area of macular atrophy.12
ANTI-VEGF FOR UVEITIC OR INFLAMMATORY CNV
Choroidal neovascularization can develop as a complication of various forms of uveitis, such as punctate inner choroidopathy, idiopathic multifocal choroiditis, Vogt-Koyanagi-Harada disease, presumed ocular histoplasmosis, toxoplasmosis, serpiginous choroiditis, and infective endophthalmitis.13 The prevalence of CNV secondary to various forms of uveitis ranges from 1% to 40%.13 Diagnosis of CNV in eyes with uveitis is sometimes challenging, because the CNV could be missed during ophthalmoscopic examination due to small amounts of exudation, and that the only sign might be a small intraretinal hemorrhage.
Choroidal neovascularization can also sometimes manifest only with macular edema or serous retinal detachment. However, macular edema and serous retinal detachment can also represent signs of inflammation due to uveitis, causing difficulty in accurately assessing the CNV activity. Careful ophthalmoscopic inspection of chorioretinal scarring or choroidal granuloma may reveal inflammatory CNV that develops adjacent to these lesions. Fluorescein angiography is indicated to assess the presence and activity of CNV in uveitic patients, showing early hyperfluorescence in the choroidal phase and late leakage.
Prior to the availability of anti-VEGF agents, vPDT was used to treat CNV due to uveitis.14 Off-label use of intravitreal bevacizumab had been found to result in better visual outcomes than vPDT in patients with CNV due to punctate inner choroidopathy or multifocal choroiditis.14 Case series of intravitreal ranibizumab and ziv-aflibercept injections (Zaltrap; Sanofi and Regeneron Pharmaceuticals, Inc.) have also reported anatomical improvement with favorable visual gain in patients with uveitic CNV.15,16
Although CNV is an uncommon complication of uveitis, it has the potential to inflict severe visual impairment and occurs more commonly during periods of inflammatory activity, in association with preretinal neovascularization, and in second eyes of patients with unilateral CNV.13 Hence, the use of corticosteroids and immunosuppressive therapy might be required to ensure adequate control of uveitis to prevent or stop the development of inflammatory CNV.17 Early detection of CNV and prompt treatment with anti-VEGF agents can also preserve vision.
ANTI-VEGF FOR IDIOPATHIC CNV
Idiopathic CNV is a diagnosis of exclusion and occurs more commonly in younger patients.18 These patients usually have unilateral CNV, and they appear to have a low risk of developing CNV in their fellow eyes. Idiopathic CNV tends to have a more favorable natural history and treatment outcome compared with CNV due to neovascular AMD.19 Visual acuity can be improved in most eyes following anti-VEGF therapy,19,20 but CNV may recur in some eyes, and multiple anti-VEGF injections are required. In a long-term study with a mean follow-up of 34 months evaluating the use of intravitreal bevacizumab for idiopathic CNV, recurrence of CNV developed in 30.8% of patients.21 Most recurrences were noted within 14 months, but the timing of the recurrence varied from 7 to 49 months.21 Despite the recurrence of idiopathic CNV, these patients can be effectively treated by additional anti-VEGF injections, and VA can be preserved in most cases.19-21
ANTI-VEGF FOR CNV SECONDARY TO CSC
Choroidal neovascularization can develop as a complication of CSC. The reported incidence rates ranged from 2% to 9%, in which more than 80% of CNV cases occurred in subjects older than 50 years of age.22,23 Chronic alterations of Bruch membrane and RPE are the main causative factors of CNV formation in CSC.24 Previous laser photocoagulation treatment for CSC may also lead to the subsequent development of CNV, as high-energy laser burns could disrupt and damage the RPE.24
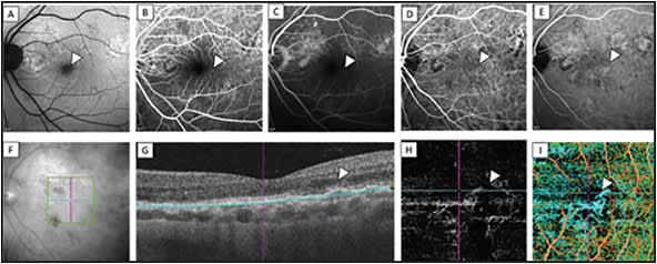
Distinguishing the presence of CNV in CSC eyes can be difficult because of the overlapping clinical presentations with active or chronic CSC including sub-RPE, subretinal or intraretinal fluid, and RPE disruptions causing diffuse window defects on FA.25,26 Until recently, CSC-associated CNV was thought to be type 2 CNV. The advent of multimodal imaging techniques facilitated identification of type 1 CNV overlying focal areas of choroidal thickening on enhanced-depth imaging (EDI) SD-OCT and choroidal hyperpermeability on indocyanine green angiography (ICGA).27 Studies using OCT angiography (OCTA) have identified the presence of type 1 CNV more frequently than dye-based angiography in eyes with long-standing CSC (Figure 2).25,26 More than one-third of cases were found to have associated polypoidal structures, leading to the hypothesis that CSC, CSC-associated type 1 CNV, and polypoidal choroidal vasculopathy (PCV) may belong to the same spectrum of conditions because they share the thickened choroid feature or “pachychoroid” phenotype.28
Previous case series have reported beneficial effects in using bevacizumab,19 ranibizumab,29 and aflibercept30 in treating CNV secondary to CSC. Central serous chorioretinopathy with clearly identified CNV usually responds well after a small number of anti-VEGF injections.24 However, CSC alone is not associated with increased intraocular VEGF levels, and the benefit of anti-VEGF therapy in CSC without CNV has not been demonstrated.31
ANTI-VEGF FOR CNV SECONDARY TO ANGIOID STREAKS
Angioid streaks usually cause no visual impairment as long as the overlying retinal layers remain unaffected.32 However, its natural course may be complicated by the development of CNV and severe visual loss can develop due to subsequent development of disciform scarring.33 Treatment with ranibizumab34 or bevacizumab35 stabilized or improved VA in most cases, and pooling of individual data from a number of studies suggested that intravitreal anti-VEGF agents are currently the most effective treatment option for CNV associated with angioid streaks (Figure 3).33 The onset of treatment should be as early as possible because more favorable results were found in patients with less advanced RPE alterations.33 Current data do not indicate better outcomes of a PRN over a fixed treatment regimen or vice versa. Clinically, a PRN regimen may suffice. However, retreatment decisions may be difficult because of the progressive atrophic retinal changes that may mimic disease activity on OCT or because of subretinal fluid unrelated to active CNV in patients with angioid streaks that may not respond to anti-VEGF therapy.36 Long-term prospective studies on the functional and anatomical outcomes are required to evaluate whether frequent anti-VEGF retreatments could further compromise the integrity of the RPE in patients with angioid streaks.37
ANTI-VEGF FOR CNV DUE TO OTHER CAUSES
In patients with choroidal osteoma, CNV is not an uncommon finding that may occur in up to one-third of patients.38 Intravitreal ranibizumab or bevacizumab injections resulted in regression of CNV (Figure 4), resolution of subretinal fluid, and improvement in VA maintained over 1 to 4 years, albeit with some patients requiring multiple injections and adjunctive vPDT over the course of follow-up.39 Subretinal fluid, hemorrhage, and serous retinal detachment can occur in choroidal osteoma frequently in the absence of CNV. In cases where leakage or hyperfluorescence from the underlying disease obscures the appearance of CNV on FA, OCTA may assist in the detection of CNV.40
Choroidal neovascularization can occasionally complicate the course of several chorioretinal dystrophies, including Best disease, pattern dystrophy, and Bietti crystalline dystrophy.41,42 Iatrogenic CNV can occur in patients with choroidal rupture after ocular trauma, as well as after direct posterior pole injury by laser and surgical procedures. Although the exact pathogenesis is unknown, it appears that the process begins with damage to Bruch’s membrane and the subsequent repair process, which triggers the release of angiogenic factors.43
CLINICAL TRIAL OF RANIBIZUMAB FOR NON-AMD AND NONMYOPIC CNV
The MINERVA study is a phase 3, double-masked, sham-controlled, multicenter, randomized clinical trial (clinicaltrials.gov identifier NCT01840410) conducted in adult patients (≥18 years), with an open-label parallel group for adolescent (≥12 to <18 years) patients to evaluate the efficacy and safety of ranibizumab in patients with CNV associated with diseases other than AMD and pathologic myopia (Table 1). Patients in the active treatment arm received 0.5-mg intravitreal ranibizumab on day 1, and then received monthly injections as needed. Patients in the control arm received sham injections on day 1 and as needed at month 1. Patients with persistent CNV in the sham group were then eligible to receive 0.5-mg ranibizumab at month 2 and as needed thereafter. At the primary endpoint of 2 months, ranibizumab treatment resulted in a clinically significant BCVA gain of 9.9 letters vs a loss of 0.4 letters in the sham group.44 The superior gain of vison in the treatment group was maintained to 12 months with a mean of 5.8 injections. There were no new safety findings in comparison to the well-established safety profile of intravitreal ranibizumab. Preplanned analysis of various CNV etiology subgroups, including idiopathic CNV, angioid streaks, postinflammatory etiology, CSC, and miscellaneous subgroups, demonstrated beneficial effects of ranibizumab across all groups, with treatment effects ranging from +5.0 to +13.1 letters at 2 months. This led to the November 2016 approval of ranibizumab for the treatment of CNV due to any cause in the European Union.
SUMMARY
Regardless of the underlying cause, CNV may lead to fibrovascular scarring and the irreversible loss of neurosensory retinal tissue and photoreceptors. The prognosis of myopic CNV can be poor without treatment; more than 50% of myopic CNV patients experienced poor vision of 20/200 or worse at 3 years after diagnosis.45 Most therapies developed for neovascular AMD have been applied in patients with CNV due to other conditions.
Recent publications and the recently reported results from large, multicenter, randomized, controlled clinical trials such as RADIANCE, MYRROR, and MINERVA demonstrated that anti-VEGF therapy appeared to be the best treatment option for CNV due to non-AMD causes. Therapies other than anti-VEGF agents, such as surgery for massive subretinal hemorrhage, may remain a treatment option for rare instances in patients with relative contraindications for anti-VEGF agents (eg, recent cerebral vascular event or myocardial infarction) or those refractory to such treatment. The detection of CNV is sometimes rather difficult, due to various posterior pole chorioretinal structural changes associated with underlying disease that may masquerade as CNV. Multimodal imaging techniques, including FA, SD-OCT, and OCTA, may help in early detection of CNV so that prompt anti-VEGF therapy can be initiated to limit further vision loss in these conditions. RP
REFERENCES
- Campochiaro PA. Molecular pathogenesis of retinal and choroidal vascular diseases. Prog Retin Eye Res. 2015;49:67-81.
- Ikuno Y, Sayanagi K, Soga K, et al. Lacquer crack formation and choroidal neovascularization in pathologic myopia. Retina. 2008;28(8):1124-1131.
- Wong TY, Ferreira A, Hughes R, Carter G, Mitchell P. Epidemiology and disease burden of pathologic myopia and myopic choroidal neovascularization: an evidence-based systematic review. Am J Ophthalmol. 2014; 157(1):9-25.
- Lai TY. Anti-vascular endothelial growth factor therapy for myopic choroidal neovascularization: do we need more evidence? Retina. 2012;32(8):1443-1445.
- Lai TY, Chan WM, Liu DT, Lam DS. Intravitreal ranibizumab for the primary treatment of choroidal neovascularization secondary to pathologic myopia. Retina. 2009;29(6):750-756.
- Chan WM, Lai TY, Liu DT, Lam DS. Intravitreal bevacizumab (Avastin) for myopic choroidal neovascularization: six-month results of a prospective pilot study. Ophthalmology. 2007;114(12):2190-2196.
- Lai TY, Luk FO, Lee GK, Lam DS. Long-term outcome of intravitreal anti-vascular endothelial growth factor therapy with bevacizumab or ranibizumab as primary treatment for subfoveal myopic choroidal neovascularization. Eye (Lond). 2012;26(7):1004-1011.
- Wolf S, Balciuniene VJ, Laganovska G, et al; RADIANCE Study Group. RADIANCE: a randomized controlled study of ranibizumab in patients with choroidal neovascularization secondary to pathologic myopia. Ophthalmology. 2014;121(3):682-692.
- Ikuno Y, Ohno-Matsui K, Wong TY, et al; MYRROR investigators. Intravitreal aflibercept injection in patients with myopic choroidal neovascularization: the MYRROR study. Ophthalmology. 2015;122(6):1220-1227.
- Lai TY, Cheung CM. Myopic choroidal neovascularization: diagnosis and treatment. Retina. 2016;36(9):1614-1621.
- Wong TY, Ohno-Matsui K, Leveziel N, et al. Myopic choroidal neovascularisation: current concepts and update on clinical management. Br J Ophthalmol. 2015;99(3):289-296.
- Ohno-Matsui K, Jonas JB, Spaide RF. Macular Bruch membrane holes in choroidal neovascularization-related myopic macular atrophy by swept-source optical coherence tomography. Am J Ophthalmol. 2016 162:133-139.
- Baxter SL, Pistilli M, Pujari SS, et al. Risk of choroidal neovascularization among the uveitides. Am J Ophthalmol. 2013;156(3):468-477.
- D’Ambrosio E, Tortorella P, Iannetti L. Management of uveitis-related choroidal neovascularization: from the pathogenesis to the therapy. J Ophthalmol. 2014;2014:450428.
- Carneiro AM, Silva RM, Veludo MJ, et al. Ranibizumab treatment for choroidal neovascularization from causes other than age-related macular degeneration and pathological myopia. Ophthalmologica. 2011;225(2):81-88.
- Braimah IZ, Stewart M, Videkar C, Dedhia CJ, Chhablani J; Ziv-aflibercept study group. Intravitreal ziv-aflibercept for the treatment of choroidal neovascularisation associated with conditions other than age-related macular degeneration. Br J Ophthalmol. 2017 Jan 24. [Epub ahead of print]
- Dees C, Arnold JJ, Forrester JV, Dick AD. Immunosuppressive treatment of choroidal neovascularization associated with endogenous posterior uveitis. Arch Ophthalmol. 1998;116(11):1456-1461.
- Spaide RF. Choroidal neovascularization in younger patients. Curr Opin Ophthalmol. 1999;10(3):177-181.
- Chan WM, Lai TY, Liu DT, Lam DS. Intravitreal bevacizumab (avastin) for choroidal neovascularization secondary to central serous chorioretinopathy, secondary to punctate inner choroidopathy, or of idiopathic origin. Am J Ophthalmol. 2007;143(6):977-983.
- Kang HM, Koh HJ. Intravitreal anti-vascular endothelial growth factor therapy versus photodynamic therapy for idiopathic choroidal neovascularization. Am J Ophthalmol. 2013;155(4):713-719.
- Kim JH, Chang YS, Kim JW, Kim CG, Lee DW. Long-term outcome and recurrence of idiopathic choroidal neovascularization treated with intravitreal bevacizumab. J Ocul Pharmacol Ther. 2016;32(7):431-436.
- Spaide RF, Campeas L, Haas A, et al. Central serous chorioretinopathy in younger and older adults. Ophthalmology. 1996;103(12): 2070-2079.
- Loo RH, Scott IU, Flynn HW Jr., et al. Factors associated with reduced visual acuity during long-term follow-up of patients with idiopathic central serous chorioretinopathy. Retina. 2002;22(1):19-24.
- Daruich A, Matet A, Dirani A, et al. Central serous chorioretinopathy: Recent findings and new physiopathology hypothesis. Prog Retin Eye Res. 2015;48:82-118.
- Bonini Filho MA, de Carlo TE, Ferrara D, et al. Association of choroidal neovascularization and central serous chorioretinopathy with optical coherence tomography angiography. JAMA Ophthalmol. 2015;133(8):899-906.
- Dansingani KK, Balaratnasingam C, Klufas MA, Sarraf D, Freund KB. Optical coherence tomography angiography of shallow irregular pigment epithelial detachments in pachychoroid spectrum disease. Am J Ophthalmol. 2015;160(6):1243-1254.
- Fung AT, Yannuzzi LA, Freund KB. Type 1 (sub-retinal pigment epithelial) neovascularization in central serous chorioretinopathy masquerading as neovascular age-related macular degeneration. Retina. 2012;32(9):1829-1837.
- Pang CE, Freund KB. Pachychoroid neovasculopathy. Retina. 2015;35(1):1-9.
- Konstantinidis L, Mantel I, Zografos L, Ambresin A. Intravitreal ranibizumab in the treatment of choroidal neovascularization associated with idiopathic central serous chorioretinopathy. Eur J Ophthalmol. 2010;20(5):955-958.
- Broadhead GK, Chang A. Intravitreal aflibercept for choroidal neovascularisation complicating chronic central serous chorioretinopathy. Graefes Arch Clin Exp Ophthalmol. 2015;253(6):979-981.
- Lim JW, Kim MU, Shin MC. Aqueous humor and plasma levels of vascular endothelial growth factor and interleukin-8 in patients with central serous chorioretinopathy. Retina. 2010;30(9):1465-1471.
- Charbel Issa P, Finger RP, Holz FG, Scholl HP. Multimodal imaging including spectral domain OCT and confocal near infrared reflectance for characterization of outer retinal pathology in pseudoxanthoma elasticum. Invest Ophthalmol Vis Sci. 2009;50(12):5913-5918.
- Gliem M, Finger RP, Fimmers R, Brinkmann CK, Holz FG, Charbel Issa P. Treatment of choroidal neovascularization due to angioid streaks: a comprehensive review. Retina. 2013;33(7):1300-1314.
- Mimoun G, Tilleul J, Leys A, Coscas G, Soubrane G, Souied EH. Intravitreal ranibizumab for choroidal neovascularization in angioid streaks. Am J Ophthalmol. 2010;150(5):692-700.
- Sawa M, Gomi F, Tsujikawa M, Sakaguchi H, Tano Y. Long-term results of intravitreal bevacizumab injection for choroidal neovascularization secondary to angioid streaks. Am J Ophthalmol. 2009;148(4):584-590.
- Zweifel SA, Imamura Y, Freund KB, Spaide RF. Multimodal fundus imaging of pseudoxanthoma elasticum. Retina. 2011;31(3):482-491.
- Finger RP, Charbel Issa P, Ladewig M, Gotting C, Holz FG, Scholl HP. Fundus autofluorescence in Pseudoxanthoma elasticum. Retina. 2009;29(10):1496-1505.
- Shields CL, Sun H, Demirci H, Shields JA. Factors predictive of tumor growth, tumor decalcification, choroidal neovascularization, and visual outcome in 74 eyes with choroidal osteoma. Arch Ophthalmol. 2005;123(12):1658-1666.
- Khan MA, DeCroos FC, Storey PP, Shields JA, Garg SJ, Shields CL. Outcomes of anti-vascular endothelial growth factor therapy in the management of choroidal neovascularization associated with choroidal osteoma. Retina. 2014;34(9):1750-1756.
- Szelog JT, Bonini Filho MA, Lally DR, de Carlo TE, Duker JS. Optical coherence tomography angiography for detecting choroidal neovascularization secondary to choroidal osteoma. Ophthalmic Surg Lasers Imaging Retina. 2016;47(1):69-72.
- Mamatha G, Umashankar V, Kasinathan N, et al. Molecular screening of the CYP4V2 gene in Bietti crystalline dystrophy that is associated with choroidal neovascularization. Mol Vis. 2011;17:1970-1977.
- Battaglia Parodi M, Iacono P, Bandello F. Antivascular endothelial growth factor in hereditary dystrophies. Dev Ophthalmol. 2010;46:107-110.
- Lim JI. Iatrogenic choroidal neovascularization. Surv Ophthalmol. 1999;44(2):95-111.
- Lai TY, Staurenghi G, Lanzetta P, et al. Efficacy and safety of ranibizumab for the treatment of choroidal neovascularization due to uncommon cause: 12-month results of the MINERVA study. Retina. In press.
- Yoshida T, Ohno-Matsui K, Ohtake Y, et al. Long-term visual prognosis of choroidal neovascularization in high myopia: a comparison between age groups. Ophthalmology. 2002;109(4):712-719.







