Introduction
Results from the ranibizumab and aflibercept registration studies showed that over a 2-year period, fixed monthly injections of anti–vascular endothelial growth factor (VEGF) therapy are effective for controlling exudation and improving and maintaining vision in patients with neovascular age-related macular degeneration (AMD). More than a decade has passed since ranibizumab was approved for the treatment of neovascular AMD; during this time, findings from ongoing research, including many investigator-initiated studies, have provided insights on strategies for optimizing early detection, accurate diagnosis, and management for this heterogeneous and incurable disease.
This program presents the highlights of a teleroundtable discussion, in which leading retina specialists reviewed information from the literature and shared their expert opinions on ways to achieve the best long-term outcomes for patients with neovascular AMD.
Early Detection
Dr Regillo: We have known for years, on the basis of results from the MARINA (Minimally Classic/Occult Trial of the Anti-VEGF Antibody Ranibizumab in the Treatment of Neovascular Age-Related Macular Degeneration), ANCHOR (Anti-VEGF Antibody for the Treatment of Predominantly Classic Choroidal Neovascularization in Age-Related Macular Degeneration), and HARBOR studies, that early detection of neovascular AMD when vision is still good and/or the lesion is small is important for maximizing vision outcomes with anti-VEGF therapy.1-3 More recently, we reported that 75% of eyes first treated for neovascular AMD when visual acuity (VA) was better than 20/40 maintained 20/40 or better VA after 2 years.4
Data from research conducted approximately a decade ago showed that neovascular AMD was detected when VA was 20/40 or better in less than 15% to 20% of patients.5,6 How are we doing now with early detection?
Dr Duker: It is my impression that patients being referred today for neovascular AMD have smaller lesions and better VA than patients referred a decade ago. One reason for this change is that most eye care practitioners and even internists are aware that neovascular AMD can be treated with anti-VEGF agents. In addition, a growing number of primary eye care providers, including optometrists, are using optical coherence tomography (OCT) to follow patients with AMD.
We face a challenge in trying to detect early neovascular AMD when VA is still good. The problem is that when only 1 eye is affected, patients may not notice any change in vision until it drops significantly. In addition, patients may not be self-monitoring for symptoms because they do not know that they are at risk, and those who do self-monitor may not be doing it properly.
I think it can also be difficult to detect neovascular AMD when the lesion is small. With the use of OCT angiography (OCTA), we are learning that there are eyes harboring type 1 neovascularization under the retinal pigment epithelium that are dry clinically on OCT. These subretinal pigment epithelium lesions may continue to grow for some time and become quite large before they begin to leak. Our efforts for improving early detection of neovascular AMD should focus on educating clinicians and patients in the at-risk age group about home vision testing.
Dr Regillo: The Home Monitoring of the Eye study enrolled 1970 patients with AMD who were at high risk of progression to choroidal neovascularization (CNV). The majority of the 51 patients randomized to use a commercially available preferential hyperacuity perimetry (PHP) device (87%) maintained 20/40 or better best corrected VA (BCVA) at the time of detection and initiation of treatment for CNV.7 That was significantly better than in the group using the Amsler grid (P = .014), in which only 62% of eyes were detected with BCVA of 20/40 or better at the time of their CNV event. Patients in the study were encouraged to use the PHP device daily, and the average use over the 1.4 years of follow-up in the study was 4.4 times per week.
How are you incorporating PHP in your practice?
Dr Boyer: I recommend patients use the home PHP device or 1 of the online tools or apps for assessing distortion at least 2 to 3 times a week. The home PHP device has some limitations, however. Some patients find it difficult to use. In addition, it gives some false positives and does not pick up all eyes that convert to neovascular AMD.7,8 In the Home Monitoring of the Eye study, the first modality leading to a CNV diagnosis was a scheduled office visit in 27.5% of 51 eyes in the intent-to-treat population compared with 51% diagnosed because of a device alert visit.7 However, significantly more letters were lost in the scheduled office visit group compared with the device alert group.
Even so, I recommend home PHP because I think it can pick up lesions early, and it gets patients involved in their care. It is also nice that the device must be used at least 8 times a month for it to be covered by Medicare because this forces compliance. As Dr Duker pointed out, however, there is still a need for ways to detect large occult lesions before they become exudative.
Diagnosis
Dr Regillo: What modalities do you use for the initial diagnosis of neovascular AMD?
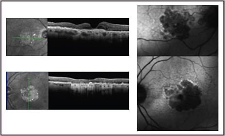
Dr Boyer: I get an OCT and OCTA, and look carefully for findings that will help me determine the cause of the patient’s visual complaints, considering that patients with AMD can have vision loss because of dry eye disease with multiple drusen or because of some other pathology, such as an epiretinal membrane. I also do fluorescein angiography if I suspect CNV or see hemorrhage. The fluorescein angiogram will not change my management for a patient with neovascular AMD, but it helps me detect a masquerade syndrome. I use indocyanine green angiography (ICGA) initially only if I suspect polypoidal choroidal vasculopathy (PCV) (Figure 1). Then, I use ICGA if a patient is not responding to anti-VEGF therapy.
Dr Duker: I recommend also getting color fundus or red-free photographs because they are better than OCT and OCTA for documenting hemorrhage and exudate.
I probably do ICGA no more than 2 or 3 times a month in my practice. I think it is very helpful for confirming the diagnosis of PCV, although we now know from the PLANET study that most polypoidal lesions respond to monotherapy with aflibercept (See Sidebar: Anti–Vascular Endothelial Growth Factor Therapy for Polypoidal Choroidal Vasculopathy).9 Still, it is nice to have an accurate diagnosis because photodynamic therapy and even conventional thermal laser are also treatment options for PCV.10
Dr Regillo: After you have established a diagnosis of neovascular AMD, what imaging do you use to follow patients during ongoing management?
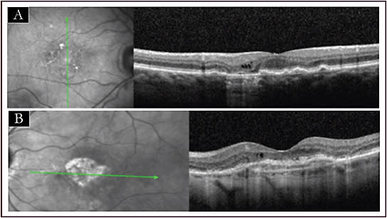
Dr Boyer: I consider OCT to be a VEGF meter that gives me an idea of the response to anti-VEGF therapy, and I use it to look for a reduction of intraretinal and subretinal fluid. If the expected response does not occur after 3 to 4 injections, it is important to consider whether the condition is VEGF related or a masquerade syndrome, such as central serous chorioretinopathy, a drusenoid detachment, laminar drusen (Figure 2), polymorphous vitelliform maculopathy, optic pits, or polypoidal disease.
Dr Regillo: I think it is appropriate to talk about OCT as a VEGF meter, considering research by Muether and colleagues, which showed an excellent correlation among intraocular VEGF concentration, improvement on OCT, and recurrence of exudation.11
Dr Duker, what imaging do you use for follow-up of patients being treated for neovascular AMD?
Dr Duker: I use a treat-and-extend (TAE) protocol to individualize the maintenance regimen in the majority of my patients. The goal with TAE is to reduce the treatment burden by finding the longest interval between injections that will keep the macula fluid free. I use OCT at each follow-up appointment to help determine when the next visit should be. In contrast, with an as-needed approach to maintenance, OCT is used at each visit to determine whether or not to give an injection.
When a patient is being treated on a fixed monthly schedule, I think it is not necessary to do OCT at every visit, but I recommend doing OCT routinely every 3 months in both eyes to make sure there is no change or whenever there is loss of vision. Even though OCT may not be billable for the fellow unaffected eye, I can detect fluid better using OCT than by looking for it at the slit lamp.
Dr Regillo: I also do bilateral OCT routinely in a patient with neovascular AMD in 1 eye. By doing so, I have fairly frequently picked up neovascular AMD in the fellow eye before patients are symptomatic.
What is the role of fundus autofluorescence (FAF) in evaluating patients with neovascular AMD?
Dr Boyer: Central serous chorioretinopathy and some of the macular dystrophies have a typical appearance on FAF, so it is helpful for identifying those conditions.12 Fundus autofluorescence is also helpful for identifying macular atrophy (Figure 3).12
After a period of time, many patients with exudative AMD will develop geographic atrophy (GA), a form of atrophy that causes a loss of vision (Figure 4). I like to use FAF to show patients whose macula is dry that they have atrophy, which is the cause of their decreased vision.
Dr Regillo: I also like to use FAF when I think I have the neovascular AMD under control but the patient is losing vision or complaining subjectively of vision loss because I can measure if the atrophy is increasing. In a patient with atrophy, I may do FAF on a semiregular basis.
ANTI–VASCULAR ENDOTHELIAL GROWTH FACTOR THERAPY FOR POLYPOIDAL CHOROIDAL VASCULOPATHY
Dr Regillo: Is there any difference among the anti–vascular endothelial growth factor agents in their efficacy for treating eyes with polypoidal choroidal vasculopathy?
Dr Boyer: The PLANET study, which randomized 318 eyes to aflibercept as monotherapy or in combination with photodynamic therapy, showed that aflibercept was noninferior to the combination for mean change in best corrected visual acuity from baseline to 1 year (+10.7 vs +10.8 letters).1 There was no significant difference between aflibercept monotherapy and the combination in polyp regression rate (38.9% vs 44.8%; P = .32).1
EVEREST II compared ranibizumab monotherapy with ranibizumab plus photodynamic therapy in 318 eyes and found the combination was associated with a significantly greater best corrected visual acuity gain (8.3 vs 5.1 letters; P = .013) and a significantly higher rate of complete polyp regression (69.3% vs 34.7%; P < .001).2
We do not know, however, if aflibercept monotherapy is superior to ranibizumab monotherapy because the 2 drugs have not been compared head-to-head, and cross-study comparisons always have limitations, particularly evident in PLANET and EVEREST II because the 2 studies had different designs.
Dr Duker: I used to use laser and anti–vascular endothelial growth factor therapy together to treat polypoidal choroidal vasculopathy. Now, on the basis of the results of PLANET, which corroborated findings from some retrospective and prospective studies,3-5 I start with aflibercept alone. Then, I use focal ablative therapy for patients who do not show a response to aflibercept monotherapy according to findings on clinical examination, visual acuity, and optical coherence tomography.
References
- Lee WK, Ogura Y, Iida T, et al. Efficacy and safety of intravitreal aflibercept in polypoidal choroidal vasculopathy: 12-month results of the PLANET study. Paper presented at: 2017 Annual Meeting of The Association for Research in Vision and Ophthalmology; May 7-11, 2017; Baltimore, MD.
- Koh A. Ranibizumab and vPDT combination therapy versus ranibizumab monotherapy for macular PCV: 12-month results from the EVEREST II Study. Paper presented at: Retina Subspecialty Day 2016; October 14-15, 2016; Chicago, IL.
- Kokame GT, Lai JC, Wee R, et al. Prospective clinical trial of intravitreal aflibercept treatment for polypoidal choroidal vasculopathy with hemorrhage or exudation (EPIC study): 6 month results. BMC Ophthalmol. 2016;16:127.
- Takayama K, Kaneko H, Kataoka K, et al. Comparison between 1-year outcomes of aflibercept with and without photodynamic therapy for polypoidal choroidal vasculopathy: retrospective observation study. PLoS One. 2017;12(5):e0176100.
- Oshima Y, Kimoto K, Yoshida N, et al. One-year outcomes following intravitreal aflibercept for polypoidal choroidal vasculopathy in Japanese patients: the APOLLO study. Ophthalmologica. 2017;238(3):163-171.
Disease Control
Dr Regillo: Anti-VEGF treatment for neovascular AMD consists of an induction phase to get the macula as dry as possible and then moves into a maintenance phase to preserve the initial vision gain by preventing recurrent exudation and halting growth of the CNV membrane.
Our treatment goal is to eliminate macular fluid because fluid is a sign of CNV lesion activity, and the consequences of untreated active neovascular AMD are CNV enlargement and eventual fibrosis, which will ultimately lead to irreversible vision loss.
Dr Duker: We also focus on exudation when deciding to re-treat because it can be accurately measured and serves as a marker of response to anti-VEGF treatment. Visual acuity may decrease or fail to improve because of other changes, such as those that occur in GA.
Dr Regillo: What Dr Duker is saying is that the only way to improve vision lost from neovascular AMD is to resolve exudation. We can achieve the goal of drying the macula in the majority of patients during the induction phase of treatment.
What do we know about differences among the 3 anti-VEGF drugs in their ability to dry the macula?
Dr Boyer: In CATT (Comparison of Age-Related Macular Degeneration Treatments Trials), the proportion of eyes with complete resolution of fluid at 1 year was higher in the group treated with ranibizumab monthly than in the group treated with bevacizumab monthly, but the treatments were associated with equivalent improvements in VA, which is what patients are interested in.13 In the VIEW (VEGF Trap-Eye: Investigation of Efficacy and Safety in Wet AMD) 1 and 2 studies, aflibercept had a stronger drying effect than did ranibizumab, but VA outcomes were approximately equal.14
A number of published articles reported outcomes of patients whose anti-VEGF treatment was changed because of a poor response or a loss of response over time.15,16 Mostly small, retrospective case series, they showed that for all possible permutations of initial and secondary intervention, switching resulted in significant reductions in central retinal thickness but a less remarkable improvement in vision, perhaps because permanent damage minimized the potential for vision gain.15,16 In a prospective observational study of patients who were switched from initial treatment with bevacizumab to aflibercept or ranibizumab, Waizel and colleagues reported a significant decrease in central macular thickness with the switch to either anti-VEGF agent.16 Aflibercept yielded a slight benefit for better vision improvement, but the investigators considered it to be of questionable significance. Overall, however, although 1 specific drug might work better than another in a particular patient, I think the 3 anti-VEGF agents are similarly effective.
Dr Duker: I think there is good evidence that aflibercept has the best drying effect, and I believe its benefit persists longer. Therefore, I prefer to use aflibercept because it can get patients in my practice into a fluid-free interval sooner and may allow a longer extension interval, which can be a meaningful advantage over the long term for reducing injection burden.
Dr Regillo: It is my impression as well that aflibercept has a more durable benefit to some degree in neovascular AMD. At 2 years in ATLAS (Aflibercept Treat and Extend for Less Frequent Administration Study), 75% of patients were being treated at an interval of 8 weeks or longer and 38% were being treated every 12 to 16 weeks.17 By contrast, at year 2 in LUCAS (Lucentis Compared to Avastin Study), 46.5% of ranibizumab-treated eyes and 34.1% of bevacizumab-treated eyes were being treated at an interval of 8 weeks or longer.18 That being said, however, we have not directly compared the durability of the 3 drugs to one another in large-scale, comparative trials in the neovascular AMD setting, so we do not know for sure how they may or may not differ in terms of durability.
What do you do when a patient being treated with anti-VEGF therapy has persistent fluid?
Dr Duker: We can all be fooled by a masquerade syndrome, so if the expected anatomic response to anti-VEGF treatment after 1 or 2 injections is not there, it is time to rethink the diagnosis.
Dr Boyer: I agree, although I have had patients who required injections almost every 3 weeks for a while before the macula dried. Therefore, I will inject and bring the patient back at 2 weeks. If I see a response, I know the condition is sensitive to anti-VEGF, but needs to be treated more frequently.
Dr Regillo: It can sometimes be challenging to accurately interpret the OCT because patients may have other findings that look like fluid, such as cysts over fibrosis or over atrophy (Figure 5), an epiretinal membrane, or retinal thickening.
Long-Term Control
Dr Regillo: Anti-VEGF therapy is not curative; our challenge is to keep the macula dry and maintain vision gains over many years because in the vast majority of patients with neovascular AMD, CNV and the associated exudation will recur without ongoing treatment.
We know from the pivotal studies that good outcomes can be achieved over a period of 2 years with monthly ranibizumab treatment or every-other-month aflibercept injections.19-21 Real-world data on long-term outcomes of patients being treated for neovascular AMD are somewhat discouraging. In the SEVEN-UP (Seven-Year Observational Update of Macular Degeneration Patients Post-MARINA/ANCHOR and HORIZON Trials) study that followed participants from ANCHOR and MARINA, 37% of eyes had BCVA of 20/200 or worse at 7 years, and 34% had lost ≥ 15 letters from baseline vision.22 In CATT, patients lost an average of 11 letters of VA between 2 and 5 years, and 83% had fluid at 5 years.23 What is the explanation for these disappointing outcomes over the longer term?
Dr Duker: The patients were not being treated using any rigorous protocol for follow-up and re-treatment after exiting from the controlled phase of the studies, so the first possibility is that some patients experienced fluid recurrences because they were undertreated. Patients who remained fluid free, however, can also lose vision because they developed a hemorrhage or had progressive retina thinning and atrophy. In CATT, the percentage of eyes with GA increased from 20% at the end of 2 years to 41% after 5 years, and the percentage of eyes with abnormal thinning of the retina increased over that interval from 22% to 36%.23
Dr Regillo: On the basis of what has been published, patients being treated with ranibizumab, bevacizumab, or aflibercept who have good results at 2 years and beyond will, on average, have received approximately 6 injections per year.17,24 The only exception to that schedule I can think of is PrONTO (Prospective Optical Coherence Tomography Imaging of Patients With Neovascular Age-Related Macular Degeneration Treatment With Intraocular Ranibizumab), in which patients received an average of 9.9 injections during the first 2 years.25 In PrONTO, which was the first as-needed study, the decision to re-treat was guided by monthly follow-up with OCT.25 In SEVEN-UP, patients received an average of just 2 treatments per year over the past 3.4 years, but there was a subgroup of patients who received at least 11 injections, and they were more likely to gain vision.22
Dr Duker: I would like to make the point that when individualizing therapy, we are not overly concerned with the mean number of treatments. For example, we know that for the population as a whole, quarterly injections do not work as well as monthly treatment for initial vision gains.19,26 Some patients, however, can do well with quarterly dosing. For example, in the VIEW studies, in which all treatment arms were switched from fixed dosing to a capped as-needed regimen after 1 year, approximately one-half of eyes got the required minimum of just 4 injections.27 There are also patients who need monthly treatment. My recommendation is to err on the side of overtreatment, not undertreatment, when individualizing therapy.
Dr Regillo: Data from prospective TAE studies also show how individual patient needs vary. At 2 years in LUCAS, 20% of patients receiving ranibizumab were being treated every 4 weeks, and 17% were being treated every 12 weeks.18 Similarly, in TREX-AMD (Treat-and-Extend Protocol in Patients With Wet Age-Related Macular Degeneration), 37% of patients were being treated every 12 weeks.28 After 2 years in ATLAS, 6% of patients were being treated with aflibercept every 4 weeks and 38% of patients were being treated at an interval of 12 weeks or longer.17
Although the data from the overall populations in SEVEN-UP and CATT might seem discouraging, findings from those studies and from analyses of follow-up to 7 years using data from the Australian registry show that it is also possible to maintain vision gains over the long term.22,23,29 Visual acuity was 20/40 or better in 23% of patients in SEVEN-UP at 7 years and in 50% of patients in CATT followed to 5 years.22,23
What should be our management strategy to optimize long-term outcomes? We know from the 2-year results of CATT, IVAN (Inhibition of VEGF in Age-Related Choroidal Neovascularisation), and HARBOR that vision outcomes with an as-needed dosing approach using ranibizumab and bevacizumab are similar to those achieved with fixed monthly treatment.30-32
In ATLAS, patients treated with aflibercept had a median VA improvement of almost 8.0 letters from baseline at 2 years (Figure 6).17 Mrejen and colleagues showed maintenance of visual gains among patients being treated with aflibercept, bevacizumab, or ranibizumab using a TAE regimen for an average of 3.5 years.33 After 2 years in TREX-AMD, visual outcomes were similar in the TAE and in the monthly ranibizumab dosing arms (Figure 7).28
Do you have a cap for a maximum interval between injections in a TAE regimen?
Dr Duker: I generally cap at 12 weeks and can extend some patients to that interval, but I do not like to go any longer. Even though I have had patients who missed their scheduled 3-month examination and were still dry when they came back after 4 or 5 months, I do not want anyone to go more than 3 months without being examined.
I would estimate that, on average, I am injecting patients every 7 or 8 weeks. I involve patients in the decision by asking if they are comfortable coming in every 7 weeks, or if they would like to try for longer.
Although I favor TAE, some patients strongly prefer an as-needed approach, and I have a few patients with indolent type 1 neovascularization who can go 8 or 9 months without exudation. Most of the time, they do not experience any sign of recurring leakage, and I pick it up on OCT and a routine examination.
I think the take-home message is that exudative AMD is a very heterogeneous disease. Individualizing treatment while erring on the side of more rather than less, and involving the patient and the family in the decision-making process are ways to manage AMD in the long term.
Dr Boyer: My maximum interval for TAE, which is also my favored maintenance regimen, is 10 weeks for monocular patients and 12 weeks for all other patients. We looked at data from 100 patients being treated with ranibizumab and aflibercept and found the average TAE interval was 7 weeks (unpublished data).
To achieve good adherence over the long term, I think it is important for patients to understand at the beginning that their disease and its treatment are a chronic process and that bleeding and fluid recurrence can lead to permanent loss of vision. I tell patients that treatment is not 1 shot and they are done, and that I hope to get the injection frequency down to every 2 or 3 months.
Dr Regillo: I think the maximum extension interval with ranibizumab is approximately 8 weeks.28 It might be longer with aflibercept. Although in ATLAS some patients were successfully extended to 16 weeks, I generally use a 12-week cap.17
What do you do if a patient has a recurrence on TAE?
Dr Duker: If there is fluid or some blood, and vision is still good, I cut the interval back by 1 or 2 weeks. Then, if the macula stays dry for 6 to 12 months, I try to reextend it.
If the vision drop is more significant, I go back to monthly injections until the patient recovers the lost vision. Then, I wait another month and ask if the patient wants to try to extend the interval. Generally, the answer is yes, but some patients who have had a recurrence prefer to stay on monthly treatment.
Dr Boyer: If the vision is the same or worse and if the OCT shows the retina is dry, I may observe, but I do not extend or reduce the injection interval. I decrease the interval by 1 week if a patient with a recurrence is relatively asymptomatic and I see some cysts forming, and I decrease it by 2 weeks if I see something more significant on OCT. Then, I generally maintain patients on the shorter interval because I have not had a great deal of success rechallenging with an extension.
Dr Duker: I find that the fluid-free interval tends to be pretty constant in individuals, but I agree that any change is typically for the worse.
Dr Boyer: I have had some patients who had a fluid recurrence after a long period of successful treatment. After cutting back the injection interval by 2 weeks, they still had fluid, so I would switch them to a different anti-VEGF agent, and they responded. Then, I rechallenged them by returning to the original interval and they continued to do well.
Dr Regillo: In the past, if I had patients with a recurrence on a TAE regimen, I would cut back on the interval but not wait long before trying to rechallenge them. Now I wait at least 2 or 3 treatment cycles before I think about extending the interval, and over time, I have become much less inclined to extend it because I am afraid each recurrence puts a patient at risk for permanent loss of vision.
Are there situations in which you favor an as-needed regimen?
Dr Boyer: I use an as-needed regimen for a patient who has progression of GA or for someone who has had a stroke. I explain to the latter patient that there is some thought that anti-VEGF treatment may affect the risk of stroke, although having a stroke is the biggest risk factor for having another stroke.
Dr Regillo: I am also more cautious and judicious about anti-VEGF treatment in patients with recent stroke or when I think that atrophy is starting to play a bigger role in the patient’s vision. I do not think we will ever know if anti-VEGF treatment promotes atrophy, but if it does, at least I am hoping to minimize the exposure.
Emerging Therapies
Dr Regillo: What new treatments are emerging for neovascular AMD?
Dr Boyer: Brolucizumab, a single-chain antibody fragment, and abicipar pegol, a designed ankyrin repeating protein, are 2 anti-VEGF drugs that have reached phase 3. Topline data from follow-up to week 48 in 2 phase 3 studies of brolucizumab were encouraging, showing that more than 50% of patients were receiving injections every 12 weeks.34 In a phase 2 study, patients treated with abicipar pegol maintained benefit for 8 to 12 weeks, but the treatment was associated with some intraocular inflammation, which is, we hope, a problem that can be resolved.35
Conbercept, an anti-VEGF drug with a very high VEGF-binding affinity that may have a long duration of efficacy, is available in China and may be coming to the United States.36
Other drugs under investigation for the treatment of neovascular AMD include agents with novel modes of action, but I do not think that any of them will become standalone treatment. Within this broad category are several integrin inhibitors, including volociximab37 and ALG-100138; ICON-1,39 which binds to tissue factor; and drugs blocking angiopoietin-2 (nesvacumab) or acting on the angiopoietin pathway by activating the Tie-2 transmembrane receptor tyrosine kinase (AKB-9778).40 RG7716 is a bispecific antibody that binds both VEGF and angiopoietin-2.40
Novel drug delivery systems are also being developed as a strategy to extend the durability of the available anti-VEGF agents.41
Dr Duker: Oral and topical formulations of tyrosine kinase inhibitors are also being developed.41 In addition, gene therapy is being investigated in a phase 1 trial of RGX-314.42 RGX-314 is an NAV adeno-associated virus 8 vector encoding an antibody fragment to neutralize VEGF activity and is intended to be given as a 1-time subretinal injection.42
Dr Regillo: We expect phase 3 data for brolucizumab late in 2017 and for abicipar pegol in 2018.40 Data from phase 2 research investigating dual inhibition of VEGF/angiopoietin is also expected in 2018.40 A topical formulation of squalamine—which inhibits VEGF, platelet-derived growth factor, and basic fibroblast growth factor—is also in a phase 3 study, but results may not be available until the end of 2018 or later.41,43
Intravitreal anti-VEGF therapy for neovascular AMD is here to stay for the foreseeable future, but it is our hope that, as time progresses, we will not be needing to inject our patients as frequently as we do now.
References
- Boyer DS, Antoszyk AN, Awh CC, Bhisitkul RB, Shapiro H, Acharya NR; MARINA Study Group. Subgroup analysis of the MARINA study of ranibizumab in neovascular age-related macular degeneration. Ophthalmology. 2007;114(2):246-252.
- Kaiser PK, Brown DM, Zhang K, et al. Ranibizumab for predominantly classic neovascular age-related macular degeneration: subgroup analysis of first-year ANCHOR results. Am J Ophthalmol. 2007;144(6):850-857.
- Regillo CD, Busbee BG, Ho AC, Ding B, Haskova Z. Baseline predictors of 12-month treatment response to ranibizumab in patients with wet age-related macular degeneration. Am J Ophthalmol. 2015;160(5):1014-1023.e2.
- Rahimy E, Rayess N, Ho AC, Regillo CD. Treatment outcomes for neovascular age-related macular degeneration patients with initial vision better than 20/40 using a treat-and-extend regimen. Retina. 2016;36(5):875-880.
- Acharya N, Lois N, Townend J, Zaher S, Gallagher M, Gavin M. Socio-economic deprivation and visual acuity at presentation in exudative age-related macular degeneration. Br J Ophthalmol. 2009;93(5):627-629.
- Fong DS, Custis P, Howes J, Hsu JW. Intravitreal bevacizumab and ranibizumab for age-related macular degeneration: a multicenter, retrospective study. Ophthalmology. 2010;117(2):298-302.
- Chew EY, Clemons TE, Bressler SB, et al; AREDS-2 HOME Study Research Group. Randomized trial of a home monitoring system for early detection of choroidal neovascularization home monitoring of the Eye (HOME) study. Ophthalmology. 2014;121(2):535-544.
- Faes L, Bodmer NS, Bachmann LM, Thiel MA, Schmid MK. Diagnostic accuracy of the Amsler grid and the preferential hyperacuity perimetry in the screening of patients with age-related macular degeneration: systematic review and meta-analysis. Eye (Lond). 2014;28(7):788-796.
- Lee WK, Ogura Y, Iida T, et al. Efficacy and safety of intravitreal aflibercept in polypoidal choroidal vasculopathy: 12-month results of the PLANET study. Paper presented at: 2017 Annual Meeting of The Association for Research in Vision and Ophthalmology; May 7-11, 2017; Baltimore, MD.
- Wong RL, Lai TY. Polypoidal choroidal vasculopathy: an update on therapeutic approaches. J Ophthalmic Vis Res. 2013;8(4):359-371.
- Muether PS, Hermann MM, Viebahn U, Kirchhof B, Fauser S. Vascular endothelial growth factor in patients with exudative age-related macular degeneration treated with ranibizumab. Ophthalmology. 2012;119(10):2082-2086.
- Yung M, Klufas MA, Sarraf D. Clinical applications of fundus autofluorescence in retinal disease. Int J Retina Vitreous. 2016;2:12.
- Martin DF, Maguire MG, Ying GS, Grunwald JE, Fine SL, Jaffe GL; CATT Research Group. Ranibizumab and bevacizumab for neovascular age-related macular degeneration. N Engl J Med. 2011;364(20):1897-1908.
- Schmidt-Erfurth U, Kaiser PK, Korobelnik JF, et al. Intravitreal aflibercept injection for neovascular age-related macular degeneration: ninety-six-week results of the VIEW studies. Ophthalmology. 2014;121(1):193-201.
- Waziel M, Rickmann A, Blanke BR, Wolf K, Kazerounian S, Szurman P. Response to bevacizumab after treatment with aflibercept in eyes with neovascular AMD. Eur J Ophthalmol. 2016;26(5):469-472.
- Waizel M, Todorova MG, Masyk M, et al. Switch to aflibercept or ranibizumab after initial treatment with bevacizumab in eyes with neovascular AMD. BMC Ophthalmol. 2017;17(1):79.
- DeCroos FC, Reed D, Adam MK, et al. Treat-and-extend therapy using aflibercept for neovascular age-related macular degeneration: a prospective clinical trial. Am J Ophthalmol. 2017;180:142-150.
- Berg K, Hadzalic E, Gjertsen I, et al. Ranibizumab or bevacizumab for neovascular age-related macular degeneration according to the Lucentis Compared to Avastin Study treat-and-extend protocol: two-year results. Ophthalmology. 2016;123(1):51-59.
- Schmidt-Erfurth U, Eldem B, Guymer R, et al; EXCITE Study Group. Efficacy and safety of monthly versus quarterly ranibizumab treatment in neovascular age-related macular degeneration: the EXCITE study. Ophthalmology. 2011;118(5):831-839.
- Brown DM, Michels M, Kaiser PK, Heier JS, Sy JP, Ianchulev T; ANCHOR Study Group. Ranibizumab versus verteporfin photodynamic therapy for neovascular age-related macular degeneration: two-year results of the ANCHOR study. Ophthalmology. 2009;116(1):57-65.e5.
- Rosenfeld PJ, Shapiro H, Tuomi L, Webster M, Elledge J, Blodi B; MARINA and ANCHOR Study Groups. Characteristics of patients losing vision after 2 years of monthly dosing in the phase III ranibizumab clinical trials. Ophthalmology. 2011;118(3):523-530.
- Rofagha S, Bhisitkul RB, Boyer DS, Sadda SR, Zhang K; SEVEN-UP Study Group. Seven-year outcomes in ranibizumab-treated patients in ANCHOR, MARINA, and HORIZON: a multicenter cohort study (SEVEN-UP). Ophthalmology. 2013;120(11):2292-2299.
- Maguire MG, Martin DF, Ying GS, et al; Comparison of Age-Related Macular Degeneration Treatments Trials (CATT) Research Group. Five-year outcomes with anti-vascular endothelial growth factor treatment of neovascular age-related macular degeneration: the Comparison of Age-Related Macular Degeneration Treatments Trials. Ophthalmology. 2016;123(8):1751-1761.
- Rayess N, Houston SK 3rd, Gupta OP, Ho AC, Regillo CD. Treatment outcomes after 3 years in neovascular age-related macular degeneration using a treat-and-extend regimen. Am J Ophthalmol. 2015;159(1):3-8.e1.
- Lalwani GA, Rosenfeld PJ, Fung AE, et al. A variable-dosing regimen with intravitreal ranibizumab for neovascular age-related macular degeneration: year 2 of the PrONTO Study. Am J Ophthalmol. 2009;148(1): 43-58.e1.
- Regillo CD, Brown DM, Abraham P, et al. Randomized, double-masked, sham-controlled trial of ranibizumab for neovascular age-related macular degeneration: PIER Study year 1. Am J Ophthalmol. 2008;145(2):239-248.
- Rahimy E. Outcomes in patients with neovascular age-related macular degeneration based on dosing subgroups in the second year of the VIEW 1 and VIEW 2 studies. Invest Ophthalmol Vis Sci. 2017;58(8):908.
- Wykoff CC, Ou WC, Brown DM, et al; TREX-AMD Study Group. Randomized trial of treat-and-extend versus monthly dosing for neovascular age-related macular degeneration: 2-year results of the TREX-AMD study. Ophthalmol Retin. 2017;1(4):314-321.
- Gillies MC, Campain A, Barthelmes D, et al; Fight Retinal Blindness Study Group. Long-term outcomes of treatment of neovascular age-related macular degeneration: data from an observational study. Ophthalmology. 2015;122(9):1837-1845.
- Martin DF, Maguire MG, Fine SL, et al; Comparison of Age-Related Macular Degeneration Treatments Trials (CATT) Research Group. Ranibizumab and bevacizumab for treatment of neovascular age-related macular degeneration: two-year results. Ophthalmology. 2012;119(7):1388-1398.
- Chakravarthy U, Harding SP, Rogers CA, et al; IVAN study investigators. Alternative treatments to inhibit VEGF in age-related choroidal neovascularisation: 2-year findings of the IVAN randomised controlled trial. Lancet. 2013;382(9900):1258-1267.
- Ho AC, Busbee BG, Regillo CD, et al; HARBOR Study Group. Twenty-four-month efficacy and safety of 0.5 mg or 2.0 mg ranibizumab in patients with subfoveal neovascular age-related macular degeneration. Ophthalmology. 2014;121(11):2181-2192.
- Mrejen S, Jung JJ, Chen C, et al. Long-term visual outcomes for a treat and extend anti-vascular endothelial growth factor regimen in eyes with neovascular age-related macular degeneration. J Clin Med. 2015;4(7): 1380-1402.
- Novartis. Novartis RTH258 (brolucizumab) demonstrates robust visual gains in nAMD patients with a majority on a 12-week injection interval. https://www.novartis.com/news/media-releases/novartis-rth258-brolucizumab-demonstrates-robust-visual-gains-namd-patients . Published June 2017. Accessed September 26, 2017.
- Guttman Krader C. DARPin molecule prolongs anti-VEGF activity in nAMD. Ophthalmology Times Web site. http://modernretina.modernmedicine.com/modern-retina/news/darpin-molecule-prolongs-anti-vegf-activity-namd . Published May 27, 2017. Accessed September 27, 2017.
- Lu X, Sun X. Profile of conbercept in the treatment of neovascular age-related macular degeneration. Drug Des Devel Ther. 2015; 9:2311-2320.
- Ophthotech Corporation. A phase 1 ascending and parallel group trial to establish the safety, tolerability and pharmacokinetics profile of volociximab (alpha 5 beta 1 integrin antagonist) in subjects with neovascular age-related macular degeneration. ClinicalTrials.gov Web site. https://clinicaltrials.gov/ct2/show/NCT00782093 . Updated October 12, 2012. Accessed October 2, 2017.
- Allegro Ophthalmics, LLC. A phase 2 randomized, controlled, double-masked, multicenter clinical trial designed to evaluate the safety and exploratory efficacy of Luminate® (ALG-1001) as compared to Avastin® and focal laser photocoagulation in the treatment of diabetic macular edem. ClinicalTrials.gov Web site. https://clinicaltrials.gov/ct2/show/NCT02348918 . Updated January 28, 2015. Accessed October 2, 2017.
- Iconic Therapeutics, Inc. Study evaluating intravitreal hl-con1TM in patients with choroidal neovascularization secondary to age-related macular degeneration. ClinicalTrials.gov Web site. https://clinicaltrials.gov/ct2/show/NCT02358889 . Updated May 15, 2017. Accessed October 2, 2017.
- Hussain RM, Ciulla TA. Emerging vascular endothelial growth factor antagonists to treat neovascular age-related macular degeneration. Expert Opin Emerg Drugs. 2017;22(3):235-246.
- Villegas VM, Aranguren LA, Kovach JL, Schwartz SG, Flynn HW. Current advances in the treatment of neovascular age-related macular degeneration. Expert Opin Drug Deliv. 2017;14(2):273-282.
- REGENXBIO Inc. REGENXBIO announces initiation of phase I clinical trial of RGX-314 gene therapy for wet age-related macular degeneration. http://ir.regenxbio.com/phoenix.zhtml?c=254175&p=irol-newsArticle_print&ID=2277563 . Published May 31, 2017. Accessed September 26, 2017.
- Ohr Pharmaceutical Inc. Efficacy and safety study of squalamine ophthalmic solution in subjects with neovascular AMD (MAKO). ClinicalTrials.gov Web site. https://www.clinicaltrials.gov/ct2/show/NCT02727881 . Updated April 27, 2017. Accessed October 2, 2017.







