Optical coherence tomography angiography (OCTA) is a recently introduced noninvasive imaging modality that provides in-depth analysis of retinal and choriocapillaris (CC) microvasculature.1 The technology is based on the principle of motion contrast, and using repeated B scan at the same location detects changes in OCT signal to provide volumetric angiographic data.1,2 The difference in OCT signals in the form of pixel changes originates due to the blood flow in retinal and choroidal layers, which can be visualized in 3 dimensions (3D).1,2 Compared to conventional imaging techniques, such as fluorescein or indocyanine angiography (FA/ICGA) that provide 2-dimensional images, OCTA is a dye-free technique and provides a 3D en-face, depth-encoded, coronal view of the chorioretinal structures.2 Newer swept-source OCT (SS-OCT) machines have better choroidal penetration and, due to their ability to acquire images faster, are able to qualify and quantify the vascularity of the choroid.3 Different implementations of OCTA include phase variance or amplitude/intensity decorrelation, which can use either split or full-spectrum processing.1 OCTA has been used to study choroidal details in multiple chorioretinal conditions.4-11 This article will discuss the key OCTA findings in a few of these conditions.
CHOROIDAL OCTA IN A HEALTHY EYE
Normal OCTA images of healthy eyes show alternating patterns of uniform bright (areas with blood flow) and dark areas (areas with no signal or signal loss) in the CC slab. The presence of the dark areas represent that no motion has been detected after repeated B scans either in the axial or transverse direction.12 These can be present due to multiple causes, including the presence of intercapillary spaces, ghost vessels (nonfunctioning capillaries) or blood flow below a certain detection threshold.12,13
AGE-RELATED MACULAR DEGENERATION
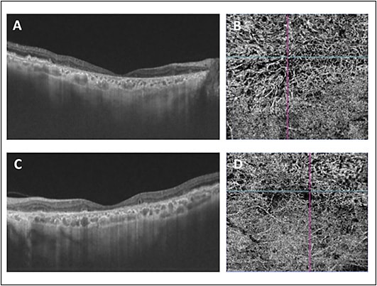
Age-related macular degeneration (AMD) is characterized by the presence of drusen, which can progress to geographic atrophy (GA) and/or choroidal neovascular membrane (CNVM) in advanced stages.14 Loss of CC in turn leads to the loss of retinal pigment epithelium (RPE) and photoreceptors. Increased areas of CC flow impairment are seen in eyes with intermediate AMD, which are present beneath or near the areas of the underlying drusen.15 Eyes with reticular pseudodrusen show similar findings of CC nonperfusion areas, which have been shown to correlate with poor visual acuity.5 OCTA in geographic atrophy (GA) (Figure 1) shows areas of CC loss with reduced vascular density that extend beyond the areas of GA.16
Early CNVM identification and treatment response assessment can be aided by OCTA. Nonexudative CNVM is a distinct entity characterized by the absence of intraretinal or subretinal fluid.17 In these eyes, progression to frank CNVM is more common than progression to intermediate AMD, and therefore this risk warrants closer follow-up.18 Exudative CNVM can be defined qualitatively (morphologic description, type 1, 2, or 3) and quantitatively (area, vessel density) using OCTA.8,19,20 The treatment response can be measured in terms of reduction of CNVM size.9 Representative images are shown in Figure 2. However, complete disappearance of CNVM is rarely seen, and thus OCTA must be analyzed along with the structural OCT to determine future treatment plans.
MYOPIA
Degenerative myopia is defined as myopia ≥6D and presence of degenerative changes on fundus.21 The areas with reduced flow in CC are significantly increased in eyes with high myopes as compared to controls which increased with presence of chorioretinal atrophy and correlated with visual acuity.22,23
Optical coherence tomography angiography may play an important role in diagnosis of myopic CNVM (sensitivity 90% to 94.1%, specificity 100%), because these lesions are small in size with less leakage on FFA, and they are difficult to recognize on conventional imaging modalities.6,24 Certain phenotypic descriptions have been used for myopic CNVM based on the pattern of vessels and presence of feeder vessels.24 Treatment response is shown in the form of reduction in CNVM size and reduction in vessel density with persistence of central mature vessels.25
PACHYCHOROID SPECTRUM-RELATED DISORDERS
These disorders include pachychoroid pigment epitheliopathy (PPE), central serous chorioretinopathy (CSCR), polypoidal choroidal vasculopathy (PCV), and pachychoroid neovasculopathy (PNV).26 Optical coherence tomography angiography can be helpful in the diagnosis of PNV as a form of type 1 CNVM in eyes with PPE.27 The gold standard test for diagnosis of PCV is ICGA. The sensitivity and specificity of OCTA compared to ICGA is less for identifying polyps. However, branching vascular network (BVN) are better identified on OCTA.28 Examples showing BVN and polyps in cases of PCV using ICGA and OCTA are shown in Figure 3.
Findings such as dark spots (no-flow areas due to pigment epithelial detachment) or dark areas (ill-defined, low-flow areas due to subretinal fluid) at the level of choriocapillaris, which are suggestive of signal or flow voids, can be identified on OCTA in cases with CSCR.29 These findings tend to reverse on treatment with half-dose photodynamic therapy.30 Optical coherence tomography angiography is useful in detection of CNVM related to CSCR with high sensitivity and specificity.29,31,32 However, abnormal vascular patterns in the choroid found on OCTA and presumptively diagnosed as CNVM are not always identified on FA, ICGA, and structural OCT.29 This suggests that these abnormal vessels are either abnormal choroidal vessels or preclinical CNVM lesions. Longitudinal follow-up may provide more information about the true nature of these lesions.
DIABETIC RETINOPATHY
Eyes with diabetic retinopathy (DR) show areas of CC loss on OCTA. These changes in the increasing order of severity are present in eyes without DR, nonproliferative diabetic retinopathy (NPDR), and PDR.4,33,34 The loss of CC may play a role in the development and progression of DR. Nesper et al showed quantitative changes in CC measured as a percentage of area of nonperfusion (4.4% vs 2.53% in PDR and normal eyes, respectively).4 These areas of CC loss corresponded to the areas of photoreceptor damage and were associated with poor visual acuity.34
DYSTROPHIES
Patients with multiple retinal and choroidal dystrophies including Stargardt disease (STGD), retinitis pigmentosa, choroideremia, and Bietti crystalline dystrophy show areas of CC loss on OCTA.7,35-38 A case of advanced RP with CC loss is shown in Figure 4. Higher loss of CC is seen in areas of chorioretinal patches.35,37 The pattern of CC loss helps to differentiate STGD from CC loss due to GA related to AMD. STGD shows extensive areas of loss of CC in areas of RPE atrophy in contrast to GA, which shows areas of rarefied but present CC.37 Guduru et al demonstrated that in eyes with STGD, areas with RPE atrophy seen on AF are significantly larger than the areas with loss of CC as seen on OCTA. This suggests that RPE loss may precede the onset of loss of CC in these eyes.39 The loss of CC can be patchy or diffuse. Eyes with choroideremia show few areas of relatively preserved CC with other areas showing loss of CC and visible underlying choroidal vessels as shown in Figure 5.36
INFLAMMATORY DISORDERS
In the acute stage of Vogt-Koyanagi-Harada (VKH) disease, OCTA shows areas of CC loss (probably true flow-void areas) that corresponds to hypofluorescent areas on FA/ICGA.10 Following complete resolution of the disease activity, there is resolution of the anatomy of CC. However, recurrence is again marked by increase in CC flow void areas.10 Serpiginous-like choroiditis (SLC), acute posterior multifocal placoid pigment epitheliopathy, and birdshot chorioretinopathy also show similar findings of CC ischemia represented by flow-void areas.11,40-42 Paradoxical worsening in case with SLC was characterized by increase in flow-void areas in CC.43 Vascular tuft and entangled vessels with appearance suggestive of CNVM but no leakage on FA/ICG have also been reported in the healing stages.11
CONCLUSION
Despite promising results and inherent advantages, OCTA technology has certain limitations in the form of limited field of view, artifacts, and limited choroidal penetration.44,45 Concerns regarding the limited field of view can be negated to an extent with the introduction of widefield OCTA, and montaging algorithms provide a larger field of view.46 The artifacts in OCTA images such as motion, blink, projection, and segmentation errors lead to difficulty in interpretation of the images, which is compounded in diseased eyes.45 The blood flow in the capillaries is approximately 3 mm/sec, and image acquisition using current software is unable to identify vascular flow beyond a minimum threshold of blood flow.45 Conversely, OCTA signals may not be directly proportional to the flow above a certain limit, known as the saturation limit. Limited choroidal penetration, even with SS-OCT, remains a challenge.45
At present, status of CC in terms of loss of CC, vessel density, flow measurements, or qualitative and quantitative evaluation of CNVM is possible. However, OCTA is not a standalone diagnostic modality and needs to be used in conjunction with structural cross-sectional scans in determining treatment decisions. Future improvements in the form of software updates, enhanced scanning speed, and scan acquisition rate with automated artifact removal and adaptation may be helpful to further establish the role of OCTA in the management of these chorioretinal pathologies. RP
REFERENCES
- Gao SS, Jia Y, Zhang M, et al. Optical coherence tomography angiography. Invest Ophthalmol Vis Sci. 2016;57(9):OCT27-OCT36.
- De Carlo TE, Romano A, Waheed NK, Duker J. A review of optical coherence tomography angiography (OCTA). Int J Retina Vitreous. 2015;1:5.
- Miller AR, Roisman L, Zhang Q, et al. Comparison between spectral-domain and swept-source optical coherence tomography angiographic imaging of choroidal neovascularization. Invest Ophthalmol Vis Sci. 2017;58(3):1499-1505.
- Nesper PL, Roberts PK, Onishi AC, et al. Quantifying microvascular abnormalities with increasing severity of diabetic retinopathy using optical coherence tomography angiography. 2017;58(6):BIO307-BIO315.
- Nesper PL, Soetikno BT, Fawzi AA. Choriocapillaris non-perfusion is associated with poor visual acuity in eyes with reticular pseudodrusen. Am J Ophthalmol. 2017;174:42-55.
- Miyata M, Ooto S, Hata M, et al. Detection of myopic choroidal neovascularization using optical coherence tomography angiography. Am J Ophthalmol. 2016;165:108-114.
- Miyata M, Oishi A, Hasegawa T, et al. Choriocapillaris flow deficit in Bietti crystalline dystrophy detected using optical coherence tomography angiography. Br J Ophthalmol. 2018;102(9):1208-1212.
- Kuehlewein L, Dansingani KK, de Carlo TE, et al. Optical coherence tomography angiography of type 3 neovascularization secondary to age-related macular degeneration. Retina. 2015;35(11):2229-2235.
- Kuehlewein L, Sadda SR, Sarraf D. OCT angiography and sequential quantitative analysis of type 2 neovascularization after ranibizumab therapy. Eye (Lond). 2015;29(7):932-935.
- Aggarwal K, Agarwal A, Mahajan S, et al. The role of optical coherence tomography angiography in the diagnosis and management of acute Vogt-Koyanagi-Harada disease. Ocul Immunol Inflamm. 2018;26(1):142-153.
- Mandadi SKR, Agarwal A, Aggarwal K, et al. Novel findings on optical coherence tomography angiography in patients with tubercular serpiginous-like choroiditis. Retina. 2017;37(9):1647-1659.
- Choi W, Mohler KJ, Potsaid B, et al. Choriocapillaris and choroidal microvasculature imaging with ultrahigh speed OCT angiography. PLoS One. 2013;8(12):e81499.
- Borrelli E, Sarraf D, Freund KB, Sadda SR. OCT angiography and evaluation of the choroid and choroidal vascular disorders. Prog Retin Eye Res. 2018;67:30-55.
- Bressler NM, Bressler SB, Fine SL. Age-related macular degeneration. Surv Ophthalmol. 1988;32(6):375-413.
- Borrelli E, Shi Y, Uji A, et al. Topographical analysis of the choriocapillaris in intermediate age-related macular degeneration. Am J Ophthalmol. 2018. [Epub ahead of print]
- Sacconi R, Corbelli E, Carnevali A, Querques L, Bandello F, Querques G. Optical coherence tomography angiography in geographic atrophy. Retina. 2017. [Epub ahead of print]
- Palejwala NV, Jia Y, Gao SS, et al. Detection of non-exudative choroidal neovascularization in age-related macular degeneration with optical coherence tomography angiography. Retina. 2015;35(11):2204-2211.
- de Oliveira Dias JR, Zhang Q, Garcia JMB, et al. Natural history of subclinical neovascularization in nonexudative age-related macular degeneration using swept-source OCT angiography. Ophthalmology. 2018;125(2):255-266.
- Malamos P, Tsolkas G, Kanakis M, et al. OCT-angiography for monitoring and managing neovascular age-related macular degeneration. Curr Eye Res. 2017;42(12):1689-1697.
- Kuehlewein L, Bansal M, Lenis TL, et al. Optical coherence tomography angiography of type 1 neovascularization in age-related macular degeneration. Am J Ophthalmol. 2015;160(4):739-748.e732.
- Cheung CMG, Arnold JJ, Holz FG, et al. Myopic choroidal neovascularization: review, guidance, and consensus statement on management. Ophthalmology. 2017;124(11):1690-1711.
- Al-Sheikh M, Phasukkijwatana N, Dolz-Marco R, et al. Quantitative OCT angiography of the retinal microvasculature and the choriocapillaris in myopic eyes. Invest Ophthalmol Vis Sci. 2017;58(4):2063-2069.
- Mo J, Duan A, Chan S, Wang X, Wei W. Vascular flow density in pathological myopia: an optical coherence tomography angiography study. BMJ Open. 2017;7(2):e013571.
- Bruyere E, Miere A, Cohen SY, et al. Neovascularization secondary to high myopia imaged by optical coherence tomography angiography. Retina. 2017;37(11):2095-2101.
- Liu B, Bao L, Zhang J. Optical coherence tomography angiography of pathological myopia sourced and idiopathic choroidal neovascularization with follow-up. Medicine (Baltimore). 2016;95(14):e3264.
- Gallego-Pinazo R, Dolz-Marco R, Gómez-Ulla F, Mrejen S, Freund KB. Pachychoroid diseases of the macula. Med Hypothesis Discov Innov Ophthalmol. 2014;3(4):111-115.
- Azar G, Wolff B, Mauget-Faysse M, Rispoli M, Savastano MC, Lumbroso B. Pachychoroid neovasculopathy: aspect on optical coherence tomography angiography. Acta Ophthalmol. 2017;95(4):421-427.
- Wang M, Zhou Y, Gao SS, et al. Evaluating polypoidal choroidal vasculopathy with optical coherence tomography angiography. 2016;57(9):OCT526-OCT532.
- Costanzo E, Cohen SY, Miere A, et al. Optical coherence tomography angiography in central serous chorioretinopathy. J Ophthalmol. 2015;134783.
- Xu Y, Su Y, Li L, Qi H, Zheng H, Chen C. Effect of photodynamic therapy on optical coherence tomography angiography in eyes with chronic central serous chorioretinopathy. Ophthalmologica. 2017;237(3):167-172.
- McClintic SM, Jia Y, Huang D, Bailey ST. Optical coherence tomographic angiography of choroidal neovascularization associated with central serous chorioretinopathy. JAMA Ophthalmol. 2015;133(10):1212-1214.
- Bonini Filho MA, de Carlo TE, Ferrara D, et al. Association of choroidal neovascularization and central serous chorioretinopathy with optical coherence tomography angiography. JAMA Ophthalmol. 2015;133(8):899-906.
- Choi WJ, Waheed NK, Moult EM, et al. Ultrahigh speed OCT angiography of retinal and choriocapillaris alterations in diabetic patients with and without retinopathy using swept source optical coherence tomography. Retina. 2017;37(1):11-21.
- Dodo Y, Suzuma K, Ishihara K, et al. Clinical relevance of reduced decorrelation signals in the diabetic inner choroid on optical coherence tomography angiography. Sci Rep. 2017;7(1):5227.
- Battaglia Parodi M, Cicinelli MV, Rabiolo A, Pierro L, Bolognesi G, Bandello F. Vascular abnormalities in patients with Stargardt disease assessed with optical coherence tomography angiography. Br J Ophthalmol. 2017;101(6):780-785.
- Jain N, Jia Y, Gao SS, et al. Optical coherence tomography angiography in choroideremia: correlating choriocapillaris loss with overlying degeneration. JAMA Ophthalmol. 2016;134(6):697-702.
- Pellegrini M, Acquistapace A, Oldani M, et al. Dark atrophy: an optical coherence tomography angiography study. Ophthalmology. 2016;123(9):1879-1886.
- Toto L, Borrelli E, Mastropasqua R, et al. Macular features in retinitis pigmentosa: correlations among ganglion cell complex thickness, capillary density, and macular function. Invest Ophthalmol Vis Sci. 2016;57(14):6360-6366.
- Guduru A, Lupidi M, Gupta A, et al. Comparative analysis of autofluorescence and OCT angiography in Stargardt disease. Br J Ophthalmol. 2018;102(9):1204-1207.
- Klufas MA, Iafe NA, Prasad PA, et al. Optical coherence tomography angiography reveals choriocapillaris flow reduction in placoid chorioretinitis. Ophthalmology Retina. 2017;1(1):77-91.
- Burke TR. Application of OCT-angiography to characterise the evolution of chorioretinal lesions in acute posterior multifocal placoid pigment epitheliopathy. Eye (Lond). 2017;31(10):1399-1408.
- de Carlo TE, Bonini Filho MA, Adhi M, Duker JS. Retinal and choroidal vasculature in birdshot chorioretinopathy analyzed using spectral domain optical coherence tomography angiography. Retina. 2015;35(11):2392-2399.
- Agarwal A, Aggarwal K, Deokar A, et al. Optical coherence tomography angiography features of paradoxical worsening in tubercular multifocal serpiginoid choroiditis. Ocul Immunol Inflamm. 2016;24(6):621-630.
- Spaide RF, Fujimoto JG, Waheed NK. Image artifacts in optical coherence tomography angiography. Retina. 2015;35(11):2163-2180.
- Hagag AM, Gao SS, Jia Y, Huang D. Optical coherence tomography angiography: technical principles and clinical applications in ophthalmology. Taiwan J Ophthalmol. 2017;7(3):115-129.
- Wang RK, Zhang A, Choi WJ, et al. Wide-field optical coherence tomography angiography enabled by two repeated measurements of B-scans. Opt Lett. 2016;41(10):2330-2333.







