Thanks to advances in therapeutics over the last 10 years, patients with diabetic eye disease now have an excellent prognosis for longstanding good visual function.
Intravitreal anti-VEGF injection remains our preferred first-line treatment, and in 2017, FDA expanded the indications for ranibizumab (Lucentis, Genentech) to include all forms of diabetic retinopathy with or without DME, shifting our treatment paradigm toward earlier intervention.
The severity and urgency of diabetic eye disease increases from very early nonproliferative diabetic retinopathy (NPDR) without diabetic macular edema (DME) to NPDR with DME to proliferative diabetic retinopathy (PDR) without or with DME.
While it may be expedient to group patients according to disease type, no single algorithm drives treatment decisions in each of these categories. Various factors, including a patient’s systemic status and ability and willingness to adhere to our recommendations, will determine how we individualize treatment. Even our decisions to treat or not to treat are subject to certain variables.
Not every patient with diabetic retinopathy needs treatment immediately, but when it’s time to treat, I believe anti-VEGF therapy should, at the very least, be a core part of the plan. There are many reasons for that, but the most important is that anti-VEGF treatment is the first modality in two generations to have reliable evidence for diabetic retinopathy regression and has reproducibly shown a significant reduction in sight-threatening diabetic disease advancement.
New Diabetes Referrals: The Marathon Begins
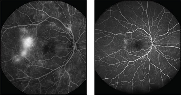
A typical urgent case is a patient with poorly controlled type 1 diabetes who presents with bilateral high-risk PDR, a mild, symptomatic sub-hyaloid vitreous hemorrhage, minimal or no macular edema, and no significant premacular traction (Figure 1). In that type of situation, whatever modality I decide to use — anti-VEGF injections or laser or a combination of both — the first year is usually the most intensive period of treatment for patients.
I tell all new patients who require treatment that we’re about to start a marathon. We’re going to get to know one another well during that first year, because I will want to see them frequently.
Often, I tell a typical treatment-naïve patient, such as the PDR patient without DME described above, that I will see them and treat them every month for 3 months and then likely see them less often. Although I individualize injection and scatter laser in such a situation, I often think about Protocol S data, in which the average patient had seven treatments to control the PDR in the first year.1
It’s important to prepare patients for that commitment, while reassuring them that if they persevere for a year, they will usually require fewer treatments going forward while preserving their vision.
Update Established Patients
Established patients with longstanding diabetes and advancing or progressive disease may have been treated with a laser in the past. Today, however, we have an opportunity to inform them that if they convert to proliferative disease or reactivate old proliferative disease, we have newer, more elegant modalities than we had in the not-so-distant past, and that we may use them instead of, or in combination with, laser to achieve better results.
An example would be a patient with proliferative disease who had undergone panretinal photocoagulation (PRP) several years ago. The condition worsens, and a vitreous hemorrhage occurs.
Ten or even 5 years ago, the recommendation would have been observation or a vitrectomy. However, today, we may be able to stop progression and foster a quicker recovery with medical therapy.
THE PATIENT COMPLIANCE CONUNDRUM: INTERRUPTIONS IN DIABETES THERAPY
The outlook for patients with diabetic eye disease has improved significantly in the last decade or so, but most predictions of maintaining good visual function come with a caveat: “… if patients come in for treatment.”
A recent report found that unintentional interruptions in anti-VEGF therapy may result in potentially devastating visual consequences in patients with diabetic retinopathy.1
Lapses in follow-up are not uncommon in this patient population, and this study under-scores how important it is for us to be vigilant when caring for patients with diabetes. What’s more, we need to have a plan in place for when a lapse occurs.
WHO IS AT RISK?
We never know which patients with diabetes are going to interrupt treatment or follow-up, but with experience, I think most of us have a sense of who is at risk. Unfortunately, the patients who are at the highest risk for lapses are those who are the sickest.
They may have nephropathy and need dialysis, or they may need wound care for lower extremity ulcers. Any number of systemic issues may interfere with their ability to keep appointments. They are at a high risk for vision loss from worse diabetic disease and at a high risk for treatment interruption because of systemic complications.
Patients who have access problems, such as high-deductible insurance coverage or difficulty making their copays, are also at risk for missing appointments. These are situations in which our ability to individualize treatment becomes important.
HAVE A PLAN
I use anti-VEGF therapy to treat almost all of my patients who have diabetes, but I have something of a hair trigger for performing panretinal laser in addition to the injections if I believe a patient is likely to become systemically sick or be hospitalized.
Similarly, if I sense a patient is going to interrupt treatment for a personal or financial reason, I consider panretinal photocoagulation for proliferative disease or focal laser for DME. These are well-established, durable treatments, even if they’re not necessarily as beneficial as regular anti-VEGF injections.
COMBINE THERAPY
Most patients are somewhere between the very sick with severe diabetes and poor access and the perfect patient with better-controlled diabetes, good access, a good attitude, and good follow-up. That’s why some form of combination therapy with anti-VEGF and laser can be exceedingly effective in many patients.
Reference
- Wubben TJ, Johnson MW; Anti-VEGF Treatment Interruption Study Group. Anti-VEGF therapy for diabetic retinopathy: consequences of inadvertent treatment interruptions. Am J Ophthalmol. E-pub ahead of print: March 13, 2019.
Still a Role for Laser
Although anti-VEGF injections have a huge role in diabetic retinopathy care, they’re not the end-all be-all therapy. If fact, when patients, particularly patients with PDR, show poor tolerance to injections, poor compliance, poor response to anti-VEGF therapy, or rapid recurrence of proliferation, it’s imperative that we be knowledgeable, confident, and ready to use the laser.
I consider anti-VEGF therapy and PRP complementary therapies that contribute to a tailored treatment approach. While the Protocol S trial evidence was constructed in an either/or fashion, we can extract pearls from the evidence and use both modalities in a combined fashion in our clinics.1
My “pearl” for scatter laser is that it is reasonable to have a relatively low threshold for adding some PRP, and, in combination with anti-VEGF therapy, scatter laser is more benign than it has been in the past, particularly with regard to inducing DME.
Complementary Intravitreal Steroids
Intravitreal corticosteroids are often a complementary therapy for patients with DME. Protocols I and T taught us that not every patient achieves a dry macula with anti-VEGF therapy, and we should not become complacent in the minority of patients who retain significant intraretinal fluid despite optimal anti-VEGF therapy.2,3
Steroids also have shown some regression of diabetic retinopathy,4,5 but we need to remember that the regression effect from corticosteroids has never been shown to be as robust as the regression achieved from intravitreal anti-VEGF therapy.
A New Dialogue With NPDR Patients
Typically, we monitor patients who have nonproliferative disease, seeing them periodically to detect and document changes. This is a patient population I rarely treat at the first — and maybe not even the second — visit, but I start a dialogue with patients who have severe NPDR without DME.
These patients have good visual acuity, often 20/20, and they don’t have symptoms of vision loss, but we know they have a high risk for conversion to proliferative disease or DME. We also have recent post-hoc data from RISE/RIDE and VIVID/VISTA that show anti-VEGF therapy can induce the most profound regression of retinopathy in eyes with severe nonproliferative disease, so I discuss the option of anti-VEGF injections.6,7
Depending on how well I know a patient, the status of the second eye, and the patient’s engagement and understanding of the risks and benefits of treatment, I will treat with intravitreal injections of ranibizumab for NPDR without DME.
We are building a fairly robust database for this indication, with data from the RISE/RIDE trials,6 and Protocol S,1 as well as data from the VIVID/VISTA trials7 and the Panorama study of aflibercept (Eylea, Regeneron),8 showing profound regression in eyes with severe NPDR without DME, and that these eyes do not require monthly injections, as best we can tell.
Once patients have DME, we know they require frequent treatments to do well, but patients who have diabetic retinopathy without DME don’t seem to require as many treatments as those with DME, if the endpoint of therapy is disease regression.
CLARIFYING THE RETINA SPECIALIST’S ROLE FOR PATIENTS
Patients with diabetes are often juggling appointments with multiple medical professionals. Adding yet another specialist, particularly another eye specialist, may be confusing for them. We need to make sure patients understand the role of the retina specialist versus the role of a primary eye care provider.
It is important to emphasize to patients with diabetes that even though they may be seeing a retina specialist frequently for treatment of their diabetic eye disease, the primary eye care provider will continue to have a critical role in their care for specific needs, such eyeglasses or contact lenses, cataract evaluation and management, or glaucoma management.
Long-term Management
The most important point we must make to patients after successfully regressing retinopathy, whether we reduce the frequency of treatments or stop treating altogether, is that we must monitor them for life. We also must encourage them at every visit to maintain their systemic control.
With all of the tools we have — multimodal imaging to monitor their status and multiple highly effective treatment options — we can tell our patients that, as long as they continue to see us, it’s likely they’ll preserve good vision and see well for a very long time. Regardless of the modalities one chooses to employ, achieving a patient’s buy-in for regular, ongoing follow-up is probably the most important goal. ■
OPTIMIZING COMMUNICATION AMONG PROVIDERS
Keeping primary care providers up to date about the status of their patients’ diabetic eye disease helps those physicians determine the severity of their patients’ diabetes from a systemic standpoint. For that reason, we always ask patients for contact information for their primary care physician and any specialists they’re seeing regularly, such as endocrinologists or nephrologists.
I don’t personally phone the patient’s team of doctors unless I’ve been requested to do so, but I believe sending them written updates every 3 to 6 months is important. My letters are generated through my EMR system, and they are specific to each patient. I try to limit each letter to 1 page, and I focus on the impression and plan. I also send letters to referring ophthalmologists or optometrists periodically.
References
- Gross JB, Glassman AR, Liu D, et al; Diabetic Retinopathy Clinical Research Network. Five-year outcomes of panretinal photocoagulation vs intravitreous ranibizumab for proliferative diabetic retinopathy: a randomized clinical trial. JAMA Ophthalmol. 2018;136(10):1138-1148.
- Elman MJ, Ayala A, Bressler NM, et al.; Diabetic Retinopathy Clinical Research Network. Intravitreal ranibizumab for diabetic macular edema with prompt versus deferred laser treatment: 5-year randomized trial results. Ophthalmology. 2015;122(2):375-381.
- Wells JA, Glassman AR, Ayala AR, et al.; Diabetic Retinopathy Clinical Research Network. Aflibercept, bevacizumab, or ranibizumab for diabetic macular edema: two-year results from a comparative effectiveness randomized clinical trial. Ophthalmology. 2016;123(6):1351-1359.
- Wykoff CC, Chakravarthy U, Campochiaro PA, Bailey C, Green K, Cunha-Vaz J. Long-term effects of intravitreal 0.19 mg fluocinolone acetonide implant on progression and regression of diabetic retinopathy. Ophthalmology. 2017;124(4):440-449.
- Cunha-Vaz J, Ashton P, Iezzi R, et al.; FAME Study Group. Sustained delivery fluocinolone acetonide vitreous implants: long-term benefit in patients with chronic diabetic macular edema. Ophthalmology. 2014;121(10):1892-1903.
- Wykoff CC, Eichenbaum DA, Roth DB, Hill L, Fung AE, Haskova Z. Ranibizumab induces regression of diabetic retinopathy in most patients at high risk of progression to proliferative diabetic retinopathy. Ophthalmology Retina. 2018;2(10):997-1009.
- Wykoff CC, Marcus DM, Midena E, et al. Intravitreal aflibercept injection in eyes with substantial vision loss after laser photocoagulation for diabetic macular edema: subanalysis of the VISTA and VIVID randomized clinical trials. JAMA Ophthalmol. 2017;135(2):107-114.
- Wykoff CC on behalf of the PANORAMA Investigators. Intravitreal aflibercept for moderately severe to severe non-proliferative diabetic retinopathy (NPDR): the phase 3 PANORAMA Study. Data presented at: Angiogenesis, Exudation, and Degeneration 2019 symposium; February 9, 2019; Miami, FL.







