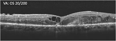
A 65-year-old male patient with proliferative diabetic retinopathy (PDR) who had undergone vitrectomy for nonclearing vitreous hemorrhage presented 2 months later. OCT showed substantial cystoid macular edema and hyperreflective foci (A) and he had poor vision (20/200 OS). The patient was started on treatment. Three months later, the retina was less swollen, but some macular edema remained, vision was 20/200, and cystic changes persisted (B). Treatment was switched within the same class in an effort to address the remaining macular edema. At 4 weeks following the initial treatment with the second therapy, vision remained poor (20/200 OS) and cystic spaces remained (C). Over the course of the next 8 months, the patient received 8 more treatments with the second therapy. Visual acuity was 20/100 -2 while the appearance of the cystic edema on OCT worsened (D).
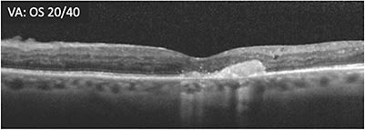
Treatment was then switched to a different class of therapy, which led to 20/63 -2 visual acuity after the first treatment and improvement in the retinal anatomy. Somewhat unexpectedly given subretinal scarring due to lipid deposition near the fovea (but preservation of the outer retinal bands [E]), vision eventually stabilized at 20/40 with continued treatment.







