The presence of macular exudation has long been recognized as a cause of ocular morbidity and vision loss. The advent of optical coherence tomography (OCT) imaging not only allows for the quantification of such leakage but also, more importantly, provides information about the anatomy and pathophysiology of the retina and choroid with respect to their roles in exudative maculopathy.1 The anatomical thickening of the choroid, termed pachychoroid,2 and its contribution to macular exudation, is the focus of this article. Pachychoroid can be visualized through the enhanced-depth imaging capacity of OCT imaging3 or long-wavelength swept-source OCT.4 The use of such noninvasive imaging has complemented the intravenous imaging of these structures with fluorescein and indocyanine green (ICG) and has elucidated how choroidal hyperpermeability and neovascularization are responsible for the exudation that occurs under the retina as well as the retinal pigment epithelial layer.
Pachychoroid is an anatomic term and can be defined as a thickened choroid seen on OCT. Despite a variable degree of thickness in normal individuals, all patients with pachychoroid have dilated choroidal vessels in Haller’s layer, called pachy vessels.5 In addition, these patients have a diffusely narrowed internal choriocapillaris and areas of compromised vascular flow.6 Pachy vessels are dysfunctional, and the presence of these vessels imparts a higher likelihood of developing a newly described pachychoroid spectrum of disease. These entities include pachychoroid pigment epitheliopathy,2 pachychoroid with central serous chorioretinopathy7 and pachychoroid neovasculopathy.8
CLINICAL PRESENTATION
Patients with exudative maculopathies and pachychoroid have 2 main pathologic processes. The first is choroidal hyperpermeability, most notably in patients with acute central serous chorioretinopathy (CSR). Gass proposed this hypothesis in 1967, and it was later confirmed by the introduction of ICG angiography and OCT.9-11 These patients fit into a cohort with male predominance that comprises the ages 25 to 45 years. This cohort has choroidal hyperfluorescence on ICG and evidence of bilateral, diffuse, and asymmetric disease on autofluorescence imaging. The classic intravenous fluorescein angiography finding is one of a pinpoint focal leak with a late smokestack presentation into the subretinal space.12 Clinically, the exudation resolves 84% of the time, most commonly within 3 months; however, exudation may continue to resolve over 6 months. Factors associated with failure to resolve include choroidal thickness over 500 microns, older age, and elevated retinal pigment epithelium (RPE), with or without the presence of RPE detachment.13 Recurrent exudation occurs in up to 52% of patients.14 This cohort is found in group 1 of a new framework for patients with exudative maculopathies and pachychoroid (Table 1).
| AGE (YEARS) | NAME | PATHOPHYSIOLOGY | |
|---|---|---|---|
| Group 1 | 25-45 | Acute central serous chorioretinopathy | Choroidal hyperpermeability |
| Group 2 | 45-75 | Pachychoroid neovasculopathy | Angiogenesis |
| Group 3 | >75 | Exudative age-related macular degeneration | Angiogenesis |
The second pathologic process in patients with exudative maculopathies and pachychoroid is angiogenesis. Choroidal neovascularization (CNV) is common in patients older than 75 years. Patients with CNV have an equal gender distribution, and have soft drusen and their disease process aligns with the diagnosis of exudative age-related macular degeneration (AMD). These patients have types 1, 2, and 3 choroidal neovascularization. They might have ICG hyperpermeability. This cohort has characteristic autofluorescent changes that are central, bilateral, and largely symmetric. This cohort is found in group 3 (Table 1).
Patients with exudative maculopathies and pachychoroid who are between ages 45 and 75 have a presentation that lies in a continuum between the 2 previously described groups. These patients have disease with equal gender distribution and a presentation that is largely central and most often unilateral; however, at times, the presentation is bilateral and asymmetric. Indocyanine green hyperfluorescence is variable and, if present, mild. Intravenous fluorescein angiography leakage is characteristic of occult leakage, and choroidal neovascularization is common, often visible on OCT angiography (OCTA). The neovascularization is always type 1 — in the occult space between Bruch’s membrane and the RPE — and soft drusen are absent. The pathologic process in this cohort is predominantly one of angiogenesis. This cohort is now best described as pachychoroid with neovasculopathy and is found in group 2 (Table 1).8
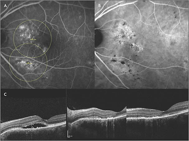
Figure 1 shows diagnostic imaging of a 47-year-old male patient referred for the diagnosis of chronic CSR. Given the thick choroid, young age, and evidence of exudation, he was treated with half-fluence photodynamic therapy (PDT) without resolution. Intravenous fluorescein angiography was characteristic of diffuse, nonspecific leakage, and ICG did not show signs of hyperpermeability. Optical coherence tomography angiography was instrumental in appreciating that choroidal neovascularization was present and that anti-VEGF therapy would be required.
SEGMENTATION OF EXUDATIVE MACULOPATHY AND PACHYCHOROID
The aim of this article is to propose a framework of 3 groups for patients with pachychoroid and macular exudation, differentiated by age and, more importantly, pathophysiologic process (Table 1). Clinical attributes occur in a continuum, and frequently, one eye may present with signs characteristic of one group while the fellow eye exhibits signs from a different group. In addition, signs from more than one group may occur in the same eye simultaneously.
The framework that characterizes patients with macular exudation and pachychoroid does not include chronic CSR. Historically, patients with a macular exudation with choroidal hyperpermeability consistent with acute CSR with exudation lasting more than 4 to 6 months earn this diagnosis. It is not clear whether the chronic phase is only related to the acute phase by time or whether it represents a different disease. There is no question that some cases represent the failure or delayed resolution of exudation, and some cases may represent recurrent leakage. However, there are characteristics of the chronic phase that are different. Both the acute and chronic forms of CSR have choroidal hyperpermeability and ICG hyperfluorescence, RPE dysfunction, and share some common genetic risk alleles. The most important difference between acute and chronic CSR is the presence of choroidal neovascularization. The finding of choroidal neovascularization is critical to evaluating patients with exudation with pachychoroid15 because it indicates the presence of 2 simultaneous pathophysiological processes: choroidal hyperpermeability (group 1) and angiogenesis (group 2).
Optical coherence tomography angiography creates a composite image of all B scans that commonly shows choroidal neovascularization superimposed over normal retinal vessels (Figure 2A). This requires accurate segmentation of retinal layers, which may be more difficult, especially when prominent exudation is present or structural damage to the RPE has occurred. Figure 2B shows an individual B scan with the “probability of flow” as calculated by a computer algorithm. Each B scan should be evaluated for abnormal choroidal neovascularization, which might be present in the occult space, as in type 1, or anterior to the RPE, but below the retina, as in type 2, or in the retina, as in type 3. Type 1 neovascularization is appreciated by the “double layer sign,”16 a space between the RPE and Bruch’s membrane on standard B scan images. Optical coherence tomography angiography, with its higher resolution and measurement of flow, will show this finding more accurately and show evidence of abnormal vessels in this space on hybrid B scans.
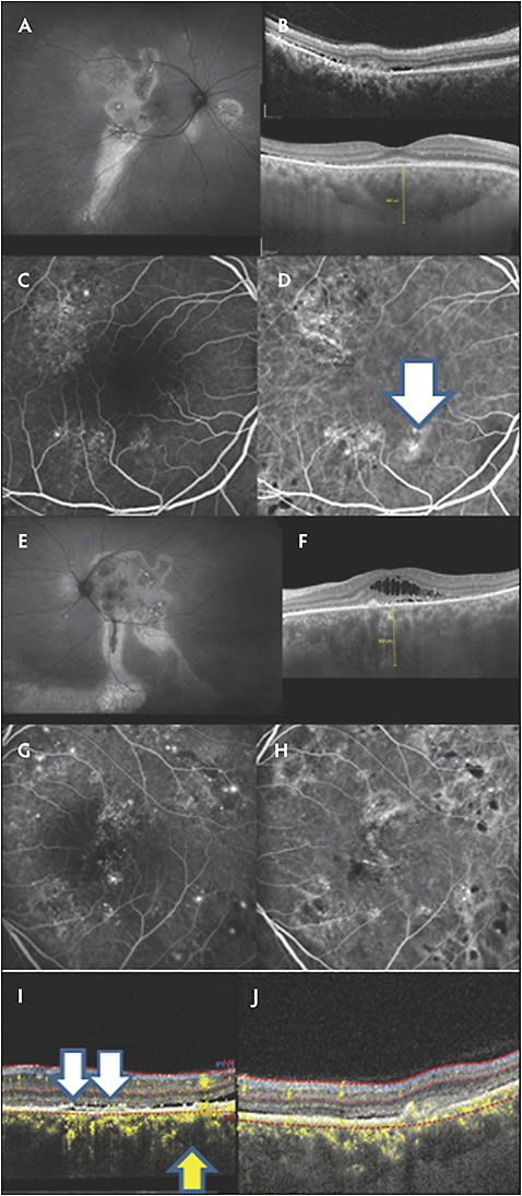
Figure 3 shows the retinal imaging of a 52-year-old male who had not responded to a series of monotherapeutics, including anti-VEGF injections, micropulse laser, and eplerenone. The choroid is thick, with pachy vessels, and subretinal exudation is present with RPE changes consistent with the typical bilateral, asymmetric, and peripheral autofluorescence discontinuity as is seen in acute CSR. The term chronic has been given to this patient due to the persistence of subretinal exudation despite treatment. There is clearly a state of choroidal hyperpermeability as evidenced by ICG leakage; however, in addition, there is evidence of a chronic appearance, especially on intravenous fluorescein angiography where diffuse leakage is present in addition to areas of pinpoint leakage. Indocyanine green imaging shows moderate-to-severe choroidal hyperpermeability with hyperfluorescence. A double-layer sign is appreciated on OCT.
TREATMENT
The treatment for those in group 1 (pachychoroid with CSR) involves decreasing the hyperpermeability of the choroid. Treatment options include verteporfin (Visudyne; Bausch + Lomb) with PDT, half-fluence by power/dose/time,17 high-intensity micropulse laser,18 or systemic mineralocorticoid antagonism, specifically eplerenone or spironolactone.19,20 The randomized PLACE study evaluated half-dose PDT and high-density subthreshold micropulse laser in patients with chronic CSR. At 7 weeks, subretinal fluid had resolved in 51.2% of patients receiving half-fluence PDT and in 13.8% of patients receiving micropulse laser. At 7 months, 67.2% of patients receiving PDT with repeated treatments had complete exudative resolution and 28.8% of patients receiving micropulse laser had complete exudative resolution.21 Patients treated with mineralocorticoid antagonism responded in a similar pattern; however, recurrences were common with discontinuance of the drug.
Treatment of patients in group 2, which is now recognized to be part of the pachychoroid spectrum of disease, more specifically pachychoroid neovasculopathy, involves anti-VEGF treatment. These patients are often referred for chronic CSR because they are much younger than the typical AMD patient. Again, it is important to recognize the thick choroid, the lack of soft drusen, the presence of the double-layer sign, and evidence of CNV on OCTA. In addition, ICG angiography does not show leakage and the intravenous fluorescein angiography shows typical type 1 occult leakage. It is the author’s opinion that patients with chronic CSR fail routine monotherapy when CNV is present but not diagnosed or treated.
Treatment of patients in group 3, the typical patient with exudative AMD, is straightforward. Patients with soft drusen and exudation who have evidence of choroidal neovascularization are treated with anti-VEGF injections. The presence of a thick choroid does not initially influence the treatment strategy; however, the presence of ICG hyperfluorescence might be a sign that choroidal hyperpermeability was present prior to the development of drusen and typical exudative AMD. Photodynamic therapy might be warranted if anti-VEGF monotherapy is not successful.
A diagnostic and therapeutic challenge arises when simultaneous pathologic processes occur. The failure to respond to monotherapeutic treatments occurs because each process has not been addressed. If pachychoroid is present on OCT, ICG imaging must be performed. If hyperfluorescence is present, then treatment must target this leakage, focally with PDT treatment, or systemically with mineralocorticoid antagonists, specifically eplerenone or spironolactone. It is then critical to look carefully for evidence of neovascularization. Optical coherence tomography, and more comprehensively OCTA, will show whether this is present. If a double-layer sign or signs of choroidal neovascularization are present, then CNV type 1 is likely present and anti-VEGF will be necessary. If neovascularization is not present, PDT or mineralocorticoid antagonism alone is likely to be adequate.
Currently, treatment for these patients with simultaneous choroidal hyperpermeability and choroidal neovascularization is performed by ICG and OCTA targeting for PDT combined with anti-VEGF therapeutics and intravitreal steroids. Triple therapy with OCTA/ICG-directed PDT starts with an anti-VEGF injection on day 1 followed by half-fluence PDT (by time) with verteporfin (directed to ICG hyperfluorescence and/or OCTA CNV) and intravitreal steroid, most commonly triamcinolone acetonide, 3 days to 14 days later. Exudative and neovascular resolution with this therapy is extremely effective; however, visual rehabilitation is often hampered by the presence of damage from extended exudation. Figure 4 shows the targeting and treatment response with ICG/OCTA-directed PDT triple therapy with verteporfin.
The importance of segmenting patients with exudative maculopathies by pathologic process cannot be overemphasized. Effective and targeted treatments are then directed with guidance from intravenous fluorescein and ICG imaging as well as noninvasive imaging, namely OCT and OCTA. RP
REFERENCES
- Mrejen S, Spaide RF. Optical coherence tomography: imaging of the choroid and beyond. Surv Ophth. 2013;58(5):387-429.
- Warrow DJ, Hoang QV, Freund KB. Pachychoroid pigment epitheliopathy. Retina. 2013;33(8):1659-1672.
- Laviers H, Zambarakji H. Enhanced depth imaging-OCT of the choroid: a review of the current literature. Graefes Arch Clin Exp Ophthalmol. 2014;252(12):1871-1883.
- Waldstein SM, Faatz H, Szimacsek M, et al. Comparison of penetration depth in choroidal imaging using swept source vs. spectral domain optical coherence tomography. Eye (Lond). 2015;29(3);409-415.
- Cheung CMG, Lee WK, Koizumi H, Dansingani K, Lai TYY, Freund KB. Pachychoroid disease. Eye (Lond). 2019;33(1):14-33.
- Baek J, Kook L, Lee WK. Choriocapillaris flow impairments in association with pachyvessel in early stages of pachychoroid. Sci Rep. 2019;9(1):5565.
- Dansingani KK, Balaratnasingam C, Naysan J, Freund KB. En face imaging of pachychoroid spectrum disorders with swept-source optical coherence tomography. Retina. 2016;36(3):499-516.
- Pang CE, Freund KB. Pachychoroid neovasculopathy. Retina. 2015;35(1):1-9.
- Gass JD. Pathogenesis of disciform detachment of the neuroepithelium: idiopathic central serous choroidopathy. Am J Ophthalmol. 1967;63(3):587/15-615/43.
- Spaide RF, Hall L, Haas A, et al. Indocyanine green videoangiography of older patients with central serous chorioretinopathy. Retina. 1996;16(3):203-213.
- Guyer DR, Yannuzzi LA, Slakter JS, Sorenson JA, Ho A, Orlock D. Digital indocyanine green videoangiography of central serous chorioretinopathy. Arch Ophthalmol. 1994;112(8):1057-1062.
- Eandi C, Ober M, Iranmanesh R, Peiretti E, Yannuzzi L. Acute central serous chorioretinopathy and fundus autofluorescence. Retina. 2005;25(8):989-993.
- Daruich A, Matet A, Marchionnon L, et al. Acute central serous chorioretinopathy: factors influencing episode duration. Retina. 2017;37(10):1905-1915.
- Fok AC, Chan PP, Lam DS, Lai TY. Risk factors for recurrence of serous macular detachment in untreated patients with central serous chorioretinopathy. Ophthalmic Res. 2011;46(3):160-163.
- Shi Y, Motulsky EH, Goldhardt R, et al. Predictive value of the OCT double-layer sign for identifying subclinical neovascularization in age-related macular degeneration. Ophthalmol Retina. 2019;3(3):211-219.
- Sato T, Kishi S, Watanabe G, Matsumoto H, Mukai R. Tomographic feature of branching vascular networks in polypoidal choroidal vasculopathy. Retina. 2007;27(5):589-594.
- Chan WM, Lai TY, Lai RY, Liu DT, Lam DS. Half-dose verteporfin photodynamic therapy for acute central serous chorioretinopathy: one-year results of a randomized controlled trial. Ophthalmology. 2008 Oct;115(10):1756-1765.
- Chen SN, Hwang JF, Tseng LF, Lin CJ. Subthreshold diode micropulse photocoagulation for the treatment of chronic central serous chorioretinopathy with juxtafoveal leakage. Ophthalmology. 2008;115(12):2229-2234.
- Bousquet E, Beydoun T, Zhao M, Hassan L, Offret O, Behar-Cohen F. Mineralocorticoid receptor antagonism in the treatment of chronic central serous chorioretinopathy: a pilot study. Retina. 2013;33(10):2096-2102.
- Bousquet E, Beydoun T, Rothschild PR, et al. Spironolactone for non-resolving central serous chorioretinopathy: a randomized controlled crossover study. Retina. 2015;35(12):2505-2515.
- van Dijk EHC, Fauser S, Breukink MB, et al. Half-dose photodynamic therapy versus high-density subthreshold micropulse laser treatment in patients with chronic central serous chorioretinopathy: The PLACE trial. Ophthalmology. 2018;125(10):1547-1555.







