In the 1990s, the Iridex Micropulse laser first used short microsecond pulses of laser to deliver subthreshold/microsecond laser for direct application of laser photocoagulation in close proximity to the fovea without causing retinal scaring and loss of central vision. Currently, laser machines that emit both continuous-wave and subthreshold laser, such as the Navilas 577s Laser System (OD-OS) and the Smart 532 SmartPulse (Lumenis), are available with additional pattern delivery systems.
However, visual feedback is key when it comes to laser therapy for retinal disease. Visualization of laser therapy as it is applied provides the surgeon with confidence that the desired treatment is being applied in the correct location and that it is done at a therapeutic level.
A challenge therefore exists for any surgeon who decides to use a microsecond pulsing laser device to treat retinal diseases. Lasers that apply brief pulses of energy in the range of 100 μm to 300 μm do not heat retinal tissue above the coagulation threshold required for a retinal burn to be visualized. How can a surgeon be confident that laser treatment is being delivered safely and effectively without seeing the effects of the laser during application?
The Invisible Laser Treatment Dilemma
The recently developed navigated microsecond pulsing lasers were designed as a more tissue-friendly alternative to continuous-wave photocoagulation. I and the resident physicians and vitreoretinal fellows at Harbor-UCLA Medical Center have used the Navilas 577s Laser System for the past year. The system’s preplanning function allows the user to precisely target leaking structures when treating patients in whom other treatments, such as intravitreal pharmacotherapy, are contraindicated or ineffective. The laser system also enables its user to accurately record and document the laser-treated areas of the retina. This ensures that the user and future users can see where treatment has been previously rendered.
Reviewing our patient outcomes using navigated microsecond pulsing, we noted that starting with a gentle, low-duty-cycle treatment and adding more as needed allowed us to achieve our therapeutic goals without the potential collateral damage of a continuous-wave laser. Particularly, we observed synergistic effects of pairing subthreshold laser treatment with anti-VEGF injections to reduce injection burden and achieve sustained therapeutic outcomes.
Case Study: Central Retinal Vein Occlusion and Macular Edema
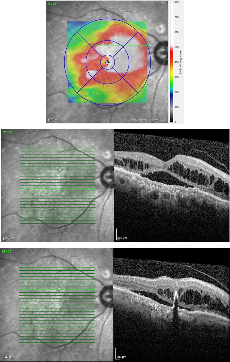
A 62-year-old female presented with central retinal vein occlusion and chronic macular edema in her left eye that reduced her vision to 20/100 (Figure 1). To manage the significant center-involving edema, she received 9 intravitreal anti-VEGF injections without response. Due to ocular hypertension, intravitreal steroid pharmacotherapy was avoided. We decided to use a confluent subthreshold laser treatment to the edematous extrafoveal macula followed by 3 monthly anti-VEGF injections to manage the edema.
Her treatment plan consisted of subthreshold laser to extrafoveal areas of edema on OCT, followed by monthly anti-VEGF injections for 3 months. Laser treatment involved 855 spots delivered at an average power of 97.94 mW, average pulse duration of 100 ms and average spot size of 100 µm, with duty cycle of 15%. The total energy applied was 0.4357 J (Figure 2). The power was titrated in continuous-wave mode until a barely visible burn was noted. Thereafter, the mode was switched to navigated microsecond-pulsed treatments and the power was doubled.
Although 9 consecutive injections did not improve the edema, the application of microsecond pulsing laser along with 3 additional anti-VEGF injections was able to significantly improve the edema at 11 months of follow-up. The vision of the patient improved from 20/100 to 20/80 (Figure 3).
Case Study: Chronic Central Serous Chorioretinopathy
A middle-aged male with chronic central serous chorioretinopathy presented to our clinic. The patient denied use of steroids and had no history of sleep apnea. The patient was treated with anti-VEGF injections and oral glucocorticoid receptor antagonists without improvement. Given the lack of response, we decided to apply subthreshold laser to a focus of leakage identified on fluorescein angiography and corresponding to a small extrafoveal pigment epithelial detachment on OCT (Figure 4).
We covered the leakage source (hot spot) identified on fluorescein angiography and the associated pigment epithelial detachment identified on OCT with a confluent grid of 100 μm, 100 ms spots, spacing 0. The power was titrated at the arcades in continuous-wave mode until a barely visible burn was noted. After switching to 15% duty cycle, the power was doubled (Figure 5).
Parameters and treatment locations were documented using the Navilas reporting functionality. After one microsecond pulsing laser treatment, the subretinal fluid and edema significantly improved over a 4-month period. The vision of the patient improved from 20/200 to 20/140 (Figure 6).
Transparency in Subthreshold Treatments
Three features of the Navilas laser could play a significant role in alleviating retina specialists’ initial concerns using a subthreshold laser for retinal treatment. First, the preplanned system can maximize treatment accuracy — critical in subthreshold applications, but also important in peripheral laser applications. By overlaying digital fundus imaging acquired in the clinic with fundus images acquired by the laser system, we were able to precisely plan the laser therapy based on the individual patient’s pathology. This ensures that the laser is only applied to areas that require treatment. Second, the tracking of the machine in subthreshold laser applications eliminates the possibility of thermal overlap or gaps in treatment, therefore preventing undertreatment or overtreatment.
Finally, the system allows digital visualization of all applied laser spots during treatment, including the subthreshold spots. This enables tracking of treatment progress to determine when sufficient treatment has been applied. Users can retreat the same area, with modification of treatment parameters as needed.
Navigated Microsecond Pulsing: A Promising Approach
Despite the growing number of therapeutic options available for the treatment of retinal vascular diseases, current therapies for these conditions are not always effective. Subthreshold laser, used either as monotherapy or in combination with other treatment options, may provide a safe way of targeting pathologic retinal lesions without damaging healthy tissue.
Our preliminary experience thus far looks promising, especially when using this form of laser therapy as an adjuvant in pharmacotherapy-resistant patients. However, further studies with additional patients and longer follow-up are needed to determine optimal laser parameters and to demonstrate safety and efficacy in different retinal diseases. To that end, we are currently planning prospective studies to validate our initial positive experiences.







