The role of pars plana vitrectomy for diabetic macular edema (DME) has been discussed,1,2 but it has not been fully assessed in the literature. In the case of vitreomacular traction or tractional epiretinal membrane (ERM), vitrectomy is also recommended because of the presence of anteroposterior and tangential vitreomacular traction,3 which play a fundamental role in the patient’s prognosis. Also, some authors have reported beneficial effect of vitrectomy even in patients without macular traction.4-7 In patients with nontractional DME treated with vitrectomy and intravitreal injections, there is a significant anatomical enhancement in terms of macular thinning after vitrectomy, which is strongly supported by previous work on this topic.4-7
Different mechanisms could explain the benefits of vitrectomy in patients with DME, one of which is that vitreous removal provides greater oxygenation to the internal retina,8 improving capillary blood flow in the perifoveal area.9 Furthermore, it has been shown that oxygen acts as a powerful anti-vascular endothelial growth factor (anti-VEGF). In addition, there is a decrease in histamine values, VEGF, and free radicals after vitrectomy in the preretinal space.10 The VEGF in the vitreous of diabetic eyes may alter permeability, leading to DME.11
INJECTION VS VITRECTOMY
Comparing patients treated with intravitreal injection only with patients who underwent vitrectomy, if both groups have similar visual acuity prior to treatment, what is expected is a minimal visual acuity improvement. According to the literature, in about 50% of cases (range, 20% to 90%) there is an improvement of visual acuity of ≥2 ETDRS lines.12-19 Although some studies reported a great visual acuity improvement, the results are heterogenous. What has yet to be demonstrated is the correlation between visual and anatomic improvement.1,20-23
The first cause of this heterogeneity may be the differences among patients and in the procedures performed. In fact, in some publications, patients were pseudophakic before being operated with vitrectomy, whereas in other studies, a combined surgery (phacoemulsification and vitrectomy) was performed. This leads to bias, because it is not possible to discriminate how much visual acuity gain is due to cataract surgery and how much visual acuity has been gained through vitrectomy.
Also, because retinal damage leads to lower functional recovery, especially in refractory and long-standing DME, limited visual acuity improvement could be due to external limiting membrane (ELM) damage or to existing retinal damage in the outer retinal layers. Many patients also have central macular thickness reduction, but this could be the result of photoreceptor atrophy.
There are only a few studies in which vitrectomy was performed early in naive patients with great results.24,25 In all of these studies, time is considered as a powerful predictor of good functional treatment response. According to Iglicki et al,24 for every day that surgery is postponed, the chances to gain more than 5 letters decrease by 1.8%.
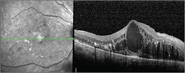
VITRECTOMY FOR SUBFOVEAL SEROUS DETACHMENT
Visual improvement is greatest in patients with subfoveal serous detachment (SRD). Some recent studies have suggested that the effectiveness of DME therapy depends on the preoperative OCT pattern (Figure 1). For example, a greater improvement of vision was detected by Ichiyama et al26 in DME patients with SRD. These results were a little bit worse in patients with mixed forms, and very poor in patients with cystoid macular edema (CME) or patients with sponge-like diffuse retinal thickening (SDRT). Diametrically opposed are the results on the effect of anti-VEGF, which is greatest in the SDRT group, intermediate in the CME and mixed forms, and poor in the SRD group.27 The effectiveness of intravitreal corticosteroid is reported to be greatest in the CME group, intermediate in the SDRT and mixed forms, and weakest in the SRD group.28
The answer to all of these differences could be the varying pathogenesis of different types of DME. In SDRT, indeed, the pathogenetic key factor is VEGF, which alters the blood-retinal barrier and increases permeability, therefore enhancing the response to anti-VEGF in SDRT edema.29 Alternately, intravitreal injections of corticosteroids reduce the intracytoplasmic swelling of Müller cells and therefore might be more effective in CME.26
Even if the pathogenesis of SRD is still unclear, one of the causes could be diabetes, which induces RPE impairment. This has been demonstrated in several studies to be the cause of a decreased ability of RPE to pump fluid in hypoxic conditions. Thus, after vitrectomy, the ability of the RPE to pump fluid might be better. It is also known that persistent SRD causes irreversible damage to photoreceptors, so vitrectomy in these cases may be a good strategy.
Subfoveal serous detachment can also be considered as a biomarker for functional improvement in DME after vitrectomy. Recent works have identified SRD as an anatomic predictor of a better visual outcome in naive nontractional DME treated with vitrectomy.24
PEELING THE INNER LIMITING MEMBRANE
The advantage of ILM peeling is not clear in the literature. Some authors suggest better anatomic and functional result in patients where ILM peeling was performed during vitrectomy12,30 but other studies show no significant differences between groups with and without ILM peeling in terms of visual acuity and anatomic results.31,32
In nontractional DME, some data support ILM peeling because there is often residual vitreous cortex after surgical creation of a posterior vitreous detachment, which causes continuous traction and provides a proliferative scaffold, leading to the development of ERM. Peeling of the ILM is the only way to eliminate the vitreous remnants and prevent ERM formation.12 Furthermore, according to recent studies, ILM peeling accelerates resolution of macular edema12 because it eliminates the tangential tractional forces. It is also important to underline that ILM in diabetic patients appears to be abnormal in structure and composition: in diabetic eyes, ILM shows a higher expression of collagen, fibronectin, and laminin,33 and is thicker compared to nondiabetic eyes, contributing to alterations in the fluid dynamics between the vitreous and retina.33
Hagenau et al34 showed that there are pathologic fibrocellular changes in ILM. Altered protein expression in ILM specimens suggests an epithelial/mesenchymal transdifferentiation of hyalocytes into myofibroblasts. These altered cells might play a key role in edema pathogenesis because in pathologic eyes, hyalocytes produce VEGF.35
Specimen analyses have shown that there is an upregulation of matrix metalloproteinase-9, which might regulate VEGF levels.36 So, although there are well-founded reasons to perform ILM peeling, the role of ILM peeling in the treatment of nontractional DME is controversial. There also are not enough data to clarify the utility of this procedure.
CONCLUSION
The role of vitrectomy in DME is highly debated. Despite that vitrectomy seems to have a rationale in nontractional macular edema, the data at our disposal are not at the top of clinical evidence. Randomized, controlled studies are needed to provide further data on this topic. RP
REFERENCES
- Kumar A, Sinha S, Azad R, Sharma YR, Vohra R. Comparative evaluation of vitrectomy and dye-enhanced ILM peel with grid laser in diffuse diabetic macular edema. Graefes Arch Clin Exp Ophthalmol. 2007;245(3):360-368.
- Bandello F, Battaglia Parodi M, Lanzetta P, et al. Diabetic macular edema. Dev Ophthalmol. 2017;58:102-138.
- Adelman R, Parnes A, Michalewska Z, Parolini B, Boscher C, Ducournau D. Strategy for the management of diabetic macular edema: The European vitreo-retinal society macular edema study. Biomed Res Int. 2015;2015:352487.
- Kumagai K, Ogino N, Furukawa M, et al. Internal limiting membrane peeling in vitreous surgery for diabetic macular edema. Nippon Ganka Gakkai Zasshi. 2002;106(9):590-594.
- Kumagai K, Hangai M, Ogino N, Larson E. Effect of internal limiting membrane peeling on long-term visual outcomes for diabetic macular edema. Retina. 2015;35(7):1422-1428.
- Bonnin S, Sandali O, Bonnel S, Monin C, El Sanharawi M. Vitrectomy with internal limiting membrane peeling for tractional and nontractional diabetic macular edema: long-term Results of a Comparative Study. Retina. 2015;35(5):921-928.
- Haller JA, Qin H, Apte RS, et al. Vitrectomy outcomes in eyes with diabetic macular edema and vitreomacular traction. Ophthalmology. 2010;117(6):1087-1093.
- Stefánsson E. Ocular oxygenation and the treatment of diabetic retinopathy. Surv Ophthalmol. 2006;51(4):364-380.
- Kadonosono K, Itoh N, Ohno S. Perifoveal microcirculation before and after vitrectomy for diabetic cystoid macular edema. Am J Ophthalmol. 2000;130(6):740-744.
- Christoforidis JB, D’Amico DJ. Surgical and other treatments of diabetic macular edema: an update. Int Ophthalmol Clin. 2004;44(1):139-160.
- Antonetti DA, Barber AJ, Khin S, Lieth E, Tarbell JM, Gardner TW; Penn State Retina Research Group. Vascular permeability in experimental diabetes is associated with reduced endothelial occludin content: vascular endothelial growth factor decreases occludin in retinal endothelial cells. Diabetes. 1998;47(12):1953-1959.
- Gandorfer A, Messmer EM, Ulbig MW, Kampik A. Resolution of diabetic macular edema after surgical removal of the posterior hyaloid and the inner limiting membrane. Retina. 2000;20(2):126-133.
- Kumagai K, Furukawa M, Ogino N, Larson E, Iwaki M, Tachi N. Long-term follow-up of vitrectomy for diffuse nontractional diabetic macular edema. Retina. 2009;29(4):464-472.
- La Heij EC, Hendrikse F, Kessels AG, Derhaag PJ. Vitrectomy results in diabetic macular oedema without evident vitreomacular traction. Graefes Arch Clin Exp Ophthalmol. 2001;239(4):264-270.
- Otani T, Kishi S. A controlled study of vitrectomy for diabetic macular edema. Am J Ophthalmol. 2002;134(2):214-219.
- Tachi N, Ogino N. Vitrectomy for diffuse macular edema in cases of diabetic retinopathy. Am J Ophthalmol. 1996;122(2):258-260.
- Yamamoto T, Hitani K, Tsukahara I, et al. Early postoperative retinal thickness changes and complications after vitrectomy for diabetic macular edema. Am J Ophthalmol. 2003;135(1):14-19.
- Ikeda T, Sato K, Katano T, Hayashi Y. Improved visual acuity following pars plana vitrectomy for diabetic cystoid macular edema and detached posterior hyaloid. Retina. 2000;20(2):220-222.
- Dillinger P, Mester U. Vitrectomy with removal of the internal limiting membrane in chronic diabetic macular oedema. Graefes Arch Clin Exp Ophthalmol. 2004;242(8):630-637.
- Figueroa MS, Contreras I, Noval S. Surgical and anatomical outcomes of pars plana vitrectomy for diffuse nontractional diabetic macular edema. Retina. 2008;28(3):420-426.
- Hoerauf H, Brüggemann A, Muecke M, et al. Pars plana vitrectomy for diabetic macular edema. Internal limiting membrane delamination vs posterior hyaloid removal. A prospective randomized trial. Graefes Arch Clin Exp Ophthalmol. 2011;249(7):997-1008.
- Patel JI, Hykin PG, Schadt M, et al. Diabetic macular oedema: pilot randomised trial of pars plana vitrectomy vs macular argon photocoagulation. Eye (Lond). 2006;20(8):873-881.
- Liu DC, Wu H, Yang HQ. Clinical observation of vitrectomy for treatment of diffuse nontraditional diabetic macular edema. Zhonghua Yan Ke Za Zhi. 2011;47(6):492-496.
- Iglicki M, Lavaque A, Ozimek M, et al. Biomarkers and predictors for functional and anatomic outcomes for small gauge pars plana vitrectomy and peeling of the internal limiting membrane in naïve diabetic macular edema: The VITAL Study. PLoS ONE. 2018;13(7):e0200365.
- Michalewska Z, Stewart MW, Landers MB 3rd, Bednarski M, Adelman RA, Nawrocki J. Vitrectomy in the management of diabetic macular edema in treatment-naïve patients. Can J Ophthalmol. 2018;53(4):402-407.
- Ichiyama Y, Sawada O, Mori T, Fujikawa M, Kawamura H, Ohji M. The effectiveness of vitrectomy for diffuse diabetic macular edema may depend on its preoperative optical coherence tomography pattern. Graefes Arch Clin Exp Ophthalmol. 2016;254(8):1545-1551.
- Shimura M, Yasuda K, Yasuda M, Nakazawa T. Visual outcome after intravitreal bevacizumab depends on the optical coherence tomographic patterns of patients with diffuse diabetic macular edema. Retina. 2013;33(4):740-747.
- Shimura M, Yasuda K, Nakazawa T, Hirano Y, Sakamoto T, Ogura Y, Shiono T. Visual outcome after intravitreal triamcinolone acetonide depends on optical coherence tomographic patterns in patients with diffuse diabetic macular edema. Retina. 2011;31(4):748-754.
- Gardner TW, Antonetti DA, Barber AJ, LaNoue KF, Levison SW. Diabetic retinopathy: more than meets the eye. Surv Ophthalmol. 2002;47:S253-S262.
- Bahadir M, Ertan A, Mertoglu O. Visual acuity comparison of vitrectomy with and without internal limiting membrane removal in the treatment of diabetic macular edema. Int Ophthalmol. 2005;26(1-2):3-8.
- Rinaldi M, dell’Omo R, Morescalchi F, et al. ILM peeling in nontractional diabetic macular edema: review and metanalysis. Int Ophthalmol. 2018;38(6):2709-2714.
- Kumagai K, Hangai M, Ogino N, Larson E. Effect of internal limiting membrane peeling on long-term visual outcomes for diabetic macular edema. Retina. 2015;35(7):1422-1428.
- Matsunaga N, Ozeki H, Hirabayashi Y, et al. Histopathologic evaluation of the internal limiting membrane surgically excised from eyes with diabetic maculopathy. Retina. 2005;25(3):311-316.
- Hagenau F, Vogt D, Ziada J, et al. Vitrectomy for diabetic macular edema: optical coherence tomography criteria and pathology of the vitreomacular interface. Am J Ophthalmol. 2019;200:34-46.
- Hata Y, Sassa Y, Kita T, et al. Vascular endothelial growth factor expression by hyalocytes abd ist regulation by glucocorticoid. Br J Ophthalmol. 2008;92:1540-1544.
- Abu El-Asrar AM, Ahmed M. et al. Relationship between vitreous levels of matrix metalloproteinases and vascular endothelial growth factor in proliferative diabetic retinopathy. PLoS One. 2013;8(12):e85857.







