The combination of retinal detachment (RD) and endophthalmitis creates a unique management challenge for retina surgeons. In a large case series, RD was reported in 7.5% of endophthalmitis cases.1 Retinal detachment present at the time of endophthalmitis diagnosis or as a sequela of endophthalmitis has been reported for each subtype of endophthalmitis.1-4
In the setting of endophthalmitis, RD can result from retinal breaks, which may arise from mechanical vitreous manipulation during vitrectomy or vitreous tap, from areas of retinal necrosis, or from traction related to endophthalmitis-associated vitreous membranes.1 Retinal detachment can also occur in phthisical eyes following resolution of endophthalmitis. Inclusion of these unseeing eyes on the basis of ultrasonographic findings may lead to an overestimation of the incidence of RD in endophthalmitis.5 The incidence rates of RD associated with different etiologies of endophthalmitis are displayed in Table 1.
| ETIOLOGY | INCIDENCE (%) | INCIDENCE OF RETINAL DETACHMENT (%) | COMMENT |
|---|---|---|---|
| Postoperative | |||
| Cataract2,28 | 0.012-1.3 | 8.3 | Delayed-onset only |
| Bleb-related3,29 | 0.45-1.3 | 10.4 | Acute and delayed |
| Posttraumatic4,30 | 0.9-17 | 6-20 (early) 6-37 (delayed) |
In setting of intraocular foreign body |
| Post-injection31,32 | 0.01-0.024 | Data not available | |
| Endogenous13,14 | Data not available | 2-26 | Acute and delayed |
ENDOPHTHALMITIS CATEGORIES
Acute-onset postoperative endophthalmitis is defined as infection occurring within 6 weeks of an intraocular surgery and is most frequently associated with cataract surgery (Figure 1).6,7 It may, however, occur after any surgical intraocular procedure.8,9 During follow-up in the Endophthalmitis Vitrectomy Study (EVS), overall, 35 of 420 eyes (8.3%) with acute-onset postcataract endophthalmitis developed delayed-onset RD.6 The rates of delayed-onset RD were variable and included patients undergoing initial vitrectomy (7.8%), needle vitreous aspiration (11%), and mechanical vitreous biopsy (8%). These rates were not statistically different.2,6 Patients with concurrent RD and endophthalmitis were excluded from the EVS. Dave et al reported that concomitant presentation of endophthalmitis and RD is less common than delayed-onset endophthalmitis-associated RD.1 Factors associated with early (compared to delayed-onset) RD include infection with more virulent microorganisms (such as S. aureus, Streptococcus species, or gram-negative bacteria), light perception vision on presentation, age ≥75 years old, and nonintact posterior lens capsule.2
Posttraumatic endophthalmitis occurs as a result of globe injury with contaminated foreign material, introduction of soil into open ocular wounds, or contamination of open wounds between the time of trauma and wound closure. Endophthalmitis associated with open-globe injury is more frequently associated with more virulent organisms, such as Bacillus species, and therefore early surgical management and close follow-up are recommended.10 Retinal detachment in the setting of trauma can be concurrent or have delayed onset. Blunt force can lead to retinal breaks, and penetrating injuries can lead to full-thickness disruption of all layers of ocular tissues. Retinal detachment can also be a late complication as a result of unrecognized or untreated traumatic retinal tears, iatrogenic retinal breaks induced during globe repair, or a retained or removed intraocular foreign body.4 Additional risk factors associated with the development of RD after trauma include a large posterior wound and choroidal or vitreous hemorrhage.4
The incidence of endophthalmitis following intravitreal injections is low.11,12 Retinal detachments associated with post-intravitreal injection endophthalmitis are hypothesized to result from retinal breaks near the injection site, retinal breaks at the time of antibiotic injection, or contraction of postendophthalmitis vitreous membranes.12
Endogenous endophthalmitis occurs through hematogenous spread of infectious organisms in the setting of transient or sustained bacteremia or fungemia. Because the endogenous infectious foci are more often in the posterior vitreous or retina, vitrectomy is more likely to yield positive culture results (92%) than anterior-chamber tap (25%) or vitreous tap without vitrectomy (44%).13 As many as 26% of eyes with endogenous fungal endophthalmitis suffer RD during the course of management, compared with an estimated 2% of eyes with endogenous bacterial infections.13,14 When endogenous fungal endophthalmitis occurs, most RDs develop more than a week after the clinical diagnosis of endophthalmitis. Retinal detachments that occur late after vitrectomy may be related to contraction of vitreous membranes at sclerotomy sites or in the peripheral retina leading to new retinal breaks.13,15
SURGICAL MANAGEMENT
Patients with concurrent RD and endophthalmitis present difficult management challenges. The complex issues in such cases are variable and include the etiology of endophthalmitis, the virulence of the causative organisms, and the timing of the RD. Surgical considerations for patients with acute or delayed-onset RD in the setting of endophthalmitis are displayed in Table 2. In patients with concurrent disease, emergent vitreous sampling and empiric intravitreal injection of antimicrobial medications are prioritized. For exogenous presumed bacterial endophthalmitis, empiric regimens typically include vancomycin (1 mg/0.1 mL) for gram-positive bacterial coverage and ceftazidime (2.25 mg/0.1 mL) or amikacin (0.4 mg/0.1 mL) for gram-negative bacterial coverage.9 The routine use of intravitreal steroids in endophthalmitis is considered to be controversial.16 Antifungal therapy is considered in cases of endogenous endophthalmitis where clinical history, examination findings, or recent culture data are suggestive of fungal infection.13 Commonly used antifungal agents include voriconazole (0.1 mg/0.1 mL) or amphotericin-B (0.005 mg/0.1 mL).9 Systemic antimicrobial treatment is generally used in posttraumatic and endogenous endophthalmitis,9 and subconjunctival antibiotics may be considered in more severe cases.17,18
| MANAGEMENT MODALITY | CONCURRENT RETINAL DETACHMENT | DELAYED-ONSET RETINAL DETACHMENT |
|---|---|---|
| Pars plana vitrectomy | Yes | Yes, in most cases |
| Intravitreal antimicrobials | Yes | No, if endophthalmitis is resolved |
| Retinal tamponade | Usually silicone oil | Either silicone oil or gas |
| Scleral buckle | No | Usually no |
| Systemic antibiotics | Yes, in selected categories: open-globe injury, endogenous | Usually no |
| Subconjunctival antibiotics | Considered in severe cases | Usually no |
Urgent surgical intervention is recommended in the case of posttraumatic endophthalmitis after an open-globe injury.10 In other situations, such as in postoperative or post-intravitreal injection endophthalmitis, many patients can be treated initially with an office-based vitreous tap and injection procedure, and the acute-onset RD can be addressed after evaluating the initial response to endophthalmitis treatment.6,11 Alternatively, urgent vitrectomy can be considered.1 Other situations in which deferred treatment of RD may be indicated include eyes with no light perception vision, cloudy cornea, large choroidal detachments, large posterior scleral ruptures, and intense active inflammation.1,4 In the setting of acute-onset endophthalmitis, pars plana vitrectomy has several potential advantages, including adequate specimen collection to maximize the likelihood of a positive culture result, removal of vitreous membranes and opacities to allow examination for retinal involvement and the presence of retinal breaks, and better distribution of intravitreal antimicrobial agents.
If RD repair is performed in the setting of acute-onset endophthalmitis, priority lies with treating the endophthalmitis and obtaining an adequate vitreous sample through a core vitrectomy. A 6-mm infusion cannula is used to ensure safe infusion through a pars plana approach. After a core vitrectomy is completed, the posterior hyaloid can be removed if visibility is adequate. Subretinal fluid drainage can be performed through a constructed posterior retinotomy site or through a peripheral retinal break. Endolaser photocoagulation is applied around visible retinal breaks after fluid air exchange and anatomic retinal reattachment. A decision is then made regarding selection of a long-acting retinal tamponade and the use of intravitreal antimicrobials.
There are no clinical trials comparing the use of gas to silicone oil in these patients. Silicone-oil tamponade is often considered over intraocular gas in the setting of concurrent RD and acute-onset endophthalmitis. The antimicrobial activity of silicone oil has been demonstrated in several studies.8 Ozdamar et al reported in vitro antimicrobial effect of silicone oil against common endophthalmitis-causing pathogens, including Staphylococcus aureus, Staphylococcus epidermidis, Pseudomonas aeruginosa, Candida albicans, and Aspergillus species.19 In a randomized interventional trial, Nagpal et al reported better anatomical outcomes and fewer subsequent surgical procedures for eyes with endophthalmitis that were injected with silicone oil following vitrectomy.20 Silicone oil may stabilize or improve hypotony, which is frequently present in this setting. The use of silicone oil may also assist in reducing recurrent RD associated with proliferative vitreoretinopathy and may be left in place indefinitely in some patients as the eye recovers from endophthalmitis.1,19,20
Three options have been described for the intraoperative injection of antimicrobial agents: (1) intravitreal injection of half-dose antibiotics; (2) injection of full-strength antibiotics; and (3) injection of antimicrobial agents into the vitreous fluid prior to injection of the tamponade agent, with time allowed for drug diffusion before washout.21 When intravitreal antimicrobial agents are injected into eyes with nonaqueous retinal tamponade, the volume of diffusion is reduced, and this increases the effective medication concentration within the vitreous cavity.22 In the treatment of endophthalmitis with concurrent RD, the benefit of adequately treating the infection generally outweighs the risk of toxicity.22 Full-strength antibiotics have been injected into silicone oil-filled eyes without evidence of retinal toxicity.23 The authors’ general preference is either option 1 or 2 with the goal of injecting the medications into the inferior part of the vitreous cavity, allowing diffusion out into the space between the tamponade agent and ocular tissues.
For patients who develop delayed-onset RD after the initial treatment of endophthalmitis (Figure 2), use of intravitreal antimicrobial agents can be repeated if persistent infection is suspected. Pars plana vitrectomy is generally recommended to repair the delayed-onset RD in this setting. A multicenter case series reported significant improvement in final visual acuity in 11 eyes following pars plana vitrectomy for delayed-onset RD as a late sequela of endophthalmitis.24
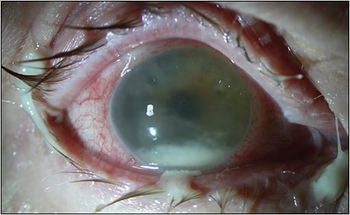
Delayed-onset RD may also occur in “end-stage” disease, marked by phthisis bulbi and corneal opacity (Figure 3). Histopathology of a series of eyes enucleated for refractory pain following Streptococcus mitis endophthalmitis demonstrated RD in all 5 specimens.5 In many instances, it may be preferable to elect observation over further surgical attempts to repair these complex RDs. In the largest study of RD associated with endophthalmitis, 65.2% (289/443) were classified as “inoperable” due to no light perception, phthisis bulbi, or “very poor visual prognosis.”1
When anterior chamber or corneal opacities obscure the view into the vitreous cavity, endoscopy-assisted surgery is an option that may be considered for RD repair.25 Successful use of endoscopy-assisted surgery in RD repair as well as endophthalmitis has been reported.26 Endoscopy-assisted surgery remains an emerging technology in vitreoretinal surgery and will likely have an increasing role as availability and surgeon experience increase.27
In these delayed-onset RDs associated with traction, adequate traction relief may require retinectomy. Once the retina is reattached, all retinal breaks are surrounded by endolaser, and silicone oil is generally recommended.
TREATMENT OUTCOMES
Complications in eyes with endophthalmitis-associated RD include recurrent detachment, poor visual outcomes (VA <20/200), or the development of a blind painful eye with phthisis bulbi. In the largest study on RD associated with endophthalmitis, Dave et al reported that 35% of patients with concomitant RD (7/20) and 30% of patients with delayed-onset RD (22/73) developed recurrent RD.1 The study reported that final anatomic success (defined as reattachment at the last postoperative visit) was achieved in 74% (14/19) of eyes with concomitant presentations and 99% (66/67) of eyes with delayed-onset RD.1 Attaining 20/400 or better vision was uncommon; only 30% of eyes with concurrent presentation (6/20) and 40% of eyes with delayed-onset RD (20/73) achieved 20/400 or better visual acuity.1 In subgroup analysis of the EVS, anatomic success was achieved following surgical repair for delayed-onset RD in 78% of eyes, and 38% of patients attained 20/40 or better final visual acuity.2 In both studies, the development of phthisis bulbi was common.1,2
CONCLUSIONS
The management of endophthalmitis-associated RD includes early recognition and appropriate intravitreal antimicrobial treatment of acute-onset infectious endophthalmitis together with early or delayed management of complex RD. Retinal detachment repair can be performed at the time of the initial surgery or at a later time depending on visual prognosis, media opacities, and complexity of the RD. Silicone-oil tamponade is considered for the majority of RD cases associated with endophthalmitis. Silicone oil may provide the benefit of antimicrobial activity in acute-onset endophthalmitis and may stabilize eyes with concurrent hypotony or eyes with evidence of proliferative vitreoretinopathy. Endophthalmitis-associated RD is uncommon and is generally associated with poor visual outcomes, even with early surgical management. RP
REFERENCES
- Dave VP, Pathengay A, Relhan N, et al. Endophthalmitis and concurrent or delayed-onset rhegmatogenous retinal detachment managed with pars plana vitrectomy, intravitreal antibiotics, and silicone oil. Ophthalmic Surg Lasers Imaging Retina. 2017;48(7):546-551.
- Doft BM, Kelsey SF, Wisniewski SR. Retinal detachment in the endophthalmitis vitrectomy study. Arch Ophthalmol. 2000;118(12):1661-1665.
- Kwon HJ, Kumar H, Green CM, Crowston JG, McGuinness MB, Kerr NM. Bleb-associated endophthalmitis: proportion, presentation, management and outcomes in Victoria, Australia. Clin Exp Ophthalmol. 2019;47(5):588-597.
- Palioura S, Eliott D. Traumatic endophthalmitis, retinal detachment, and metallosis after intraocular foreign body injuries. Int Ophthalmol Clin. 2013;53(4):93-104.
- Matthews JL, Dubovy SR, Goldberg RA, Flynn HW, Jr. Histopathology of streptococcus mitis/oralis endophthalmitis after intravitreal injection with bevacizumab: a report of 7 patients. Ophthalmology. 2014;121(3):702-708.
- Endophthalmitis Vitrectomy Study Group. Results of the Endophthalmitis Vitrectomy Study. A randomized trial of immediate vitrectomy and of intravenous antibiotics for the treatment of postoperative bacterial endophthalmitis. Arch Ophthalmol. 1995;113(12):1479-1496.
- Rahmani S, Eliott D. Postoperative endophthalmitis: a review of risk factors, prophylaxis, incidence, microbiology, treatment, and outcomes. Semin Ophthalmol. 2018;33(1):95-101.
- Flynn HW, Batra NR, Scwartz SG, Grzybowski A. Endophthalmitis in Clinical Practice. New York, NY: Springer Berlin Heidelberg; 2017.
- Relhan N, Forster RK, Flynn HW, Jr. Endophthalmitis: then and now. Am J Ophthalmol. 2018;187:20-27.
- Ahmed Y, Schimel AM, Pathengay A, Colyer MH, Flynn HW, Jr. Endophthalmitis following open-globe injuries. Eye (Lond). 2012;26(2):212-217.
- Yannuzzi NA, Gregori NZ, Rosenfeld PJ, et al. Endophthalmitis associated with intravitreal injections of anti-vegf agents at a tertiary referral center: in-house and referred cases. Ophthalmic Surg Lasers Imaging Retina. 2018;49(5):313-319.
- Mezad-Koursh D, Goldstein M, Heilwail G, Zayit-Soudry S, Loewenstein A, Barak A. Clinical characteristics of endophthalmitis after an injection of intravitreal antivascular endothelial growth factor. Retina. 2010;30(7):1051-1057.
- Lingappan A, Wykoff CC, Albini TA, et al. Endogenous fungal endophthalmitis: causative organisms, management strategies, and visual acuity outcomes. Am J Ophthalmol. 2012;153(1):162-166 e161.
- Jackson TL, Eykyn SJ, Graham EM, Stanford MR. Endogenous bacterial endophthalmitis: a 17-year prospective series and review of 267 reported cases. Surv Ophthalmol. 2003;48(4):403-423.
- Cunningham ET, Flynn HW, Relhan N, Zierhut M. Endogenous endophthalmitis. Ocul Immunol Inflamm. 2018;26(4):491-495.
- Kim CH, Chen MF, Coleman AL. Adjunctive steroid therapy versus antibiotics alone for acute endophthalmitis after intraocular procedure. Cochrane Database Syst Rev. 2017;2:CD012131.
- Iyer MN, Han DP, Yun HJ, et al. Subconjunctival antibiotics for acute postcataract extraction endophthalmitis--is it necessary? Am J Ophthalmol. 2004;137(6):1120-1121.
- Smiddy WE, Smiddy RJ, Ba’Arath B, et al. Subconjunctival antibiotics in the treatment of endophthalmitis managed without vitrectomy. Retina. 2005;25(6):751-758.
- Ozdamar A, Aras C, Ozturk R, Akin E, Karacorlu M, Ercikan C. In vitro antimicrobial activity of silicone oil against endophthalmitis-causing agents. Retina. 1999;19(2):122-126.
- Nagpal M, Jain P, Nagpal K. Pars plana vitrectomy with or without silicone oil endotamponade in surgical management of endophthalmitis. Asia Pac J Ophthalmol (Phila). 2012;1(4):216-221.
- Foster RE, Rubsamen PE, Joondeph BC, Flynn HW, Jr., Smiddy WS. Concurrent endophthalmitis and retinal detachment. Ophthalmology. 1994;101(3):490-498.
- Penha FM, Rodrigues EB, Maia M, et al. Retinal and ocular toxicity in ocular application of drugs and chemicals--part II: retinal toxicity of current and new drugs. Ophthalmic Res. 2010;44(4):205-224.
- Steinmetz RL, Vyas S, Ashmore E, Brooks HL. Acute-onset postoperative endophthalmitis in silicone oil-filled eyes managed with intravitreal antibiotics alone. J Vitreoret Dis. 2018;2(2):107-110.
- Thomas BJ, Mehta N, Yonekawa Y, et al. Pars plana vitrectomy for late vitreoretinal sequelae of infectious endophthalmitis: surgical management and outcomes. Retina. 2017;37(4):651-656.
- Fisher YL, Heringer GC, Ober MD. Endoscopy for vitreoretinal surgery. In: Peyman GA, ed. Vitreoretinal Surgical Techniques, Second Edition. London: Routledge; 2006.
- Ajlan RS, Desai AA, Mainster MA. Endoscopic vitreoretinal surgery: principles, applications and new directions. Int J Retina Vitreous. 2019;5:15.
- Rachitskaya AV, Fisher YL. Endoscopy for vitreoretinal surgeons. In. EyeNet: American Academy of Ophthalmology; June 2013.
- Cao H, Zhang L, Li L, Lo S. Risk factors for acute endophthalmitis following cataract surgery: a systematic review and meta-analysis. PLoS One. 2013;8(8):e71731.
- Vaziri K, Kishor K, Schwartz SG, et al. Incidence of bleb-associated endophthalmitis in the United States. Clin Ophthalmol. 2015;9:317-322.
- Banker TP, McClellan AJ, Wilson BD, et al. Culture-positive endophthalmitis after open globe injuries with and without retained intraocular foreign bodies. Ophthalmic Surg Lasers Imaging Retina. 2017;48(8):632-637.
- Sigford DK, Reddy S, Mollineaux C, Schaal S. Global reported endophthalmitis risk following intravitreal injections of anti-VEGF: a literature review and analysis. Clin Ophthalmol. 2015;9:773-781.
- VanderBeek BL, Bonaffini SG, Ma L. Association of compounded bevacizumab with postinjection endophthalmitis. JAMA Ophthalmol. 2015;133(10):1159-1164.







