When a patient walks into the office with a new diagnosis of wet age-related macular degeneration (AMD), they want to know “what’s next.” For the retina specialist, multiple factors need to be addressed when considering how to answer. Sometimes treatment is straightforward, but several factors may influence decision-making. Ocular considerations like fellow eye status, visual potential, choroidal neovascular membrane (CNVM) location, and other comorbidities can affect priorities. Social factors, such as patient preferences, cost, and geographic limitations, can also guide recommendations.
The retina specialist must decide which treatments to use, on what timescale, and to what endpoints to optimize patient care. Literature review offers several practical pearls, as does the collective experience of other specialists. Ultimately, however, treatment decisions must be tailored to each patient.
WHEN NOT TO TREAT
AMD “Look-Alikes”
AMD “mimickers” can be particularly deceptive, and multimodal imaging with techniques including optical coherence tomography (OCT), enhanced depth OCT, OCT angiography, fluorescein angiography (FA), and indocyanine green angiography (ICG) can identify the most common of these look-alikes, such as central serous chorioretinopathy (CSCR), nonvascular pigment epithelial detachments (PEDs), and Stargardt disease. Especially in the absence of drusen, it is particularly important to rule out CSCR. Imaging findings such as choroidal thickening on enhanced-depth imaging OCT and characteristic leaking on FA can aid diagnosis.1
Limited Visual Potential
Having established a diagnosis of wet AMD, physicians may find times where treatment may be unnecessary or inadvisable. Everything being equal, the average eye with vision potential, some degree of vision loss, or a vision-threatening CNVM has a reasonable chance at sustained visual recovery with anti-VEGF injections.2-6 If all those boxes are not checked, should some form of intervention still be offered?
For patients with low vision potential, either secondary to a disciform scar, atrophy, or an unrelated history of poor vision, communication is key. The physician needs to have a realistic discussion with the patient about the goals of treatment, potential risks, and probable need for numerous injections over time. Vision loss from wet AMD can significantly decrease quality of life.7 However, treating with anti-VEGF may result in functional improvements for the patient in terms of contrast sensitivity, color perception, or peripheral vision. Therefore, there may be value in trialing treatment, especially in patients with bilaterally low vision.
However, if the patient cannot notice a difference in visual quality or function despite trialing injections, further intraocular intervention may be futile. Many may benefit from low-vision services,8 regardless of whether they pursue anti-VEGF therapy. If injecting, physicians should consider functional metrics for assessing treatment response, especially with significant baseline anatomic changes.
Patient Does Not Want Injections
Inevitably, the retina specialist will encounter patients with a strong aversion to intraocular injections. The solution is clear communication and discovering the reason for the aversion. Are they scared of intraocular injections, maybe from secondhand horror stories? Do they worry about costs or their ability to keep coming? Communication about the cause of worry, the possible risks and benefits of injections, and the typical course of the disease without treatment is essential for optimal treatment of these patients.
Without treatment, meta-analysis of untreated eyes revealed that 81% of eyes with wet AMD lost vision at 2 years, with 43% at 3 years having severe vision loss of more than 6 lines, and 76% of eyes at 3 years were legally blind (20/200 or worse).9 In the MARINA trial, the eyes receiving sham injections at two years lost 14.7 letters on average vs eyes on monthly injections gaining on average 5.4 letters in the 0.3 mg and 6.6 letters in the 0.5 mg treatment groups.2 In the subsequent SEVEN-UP study examining untreated fellow eyes, initiating treatment after that 2-year period resulted in some improvement. However, for eyes with wet AMD at baseline, the fellow eye at 7 years could not catch up to the initially treated eye 83% of the time despite regression of the treatment effect on the treated eyes when moved to less rigorous treatment schedules.10
Ideally, after discussion, patient and physician agree on a treatment plan. Ultimately, however, patient autonomy must be respected. If a patient refuses injection, then, after thorough documentation, the physician should determine with the patient appropriate follow-up for potential reconsideration of therapy and monitoring.
Eccentric or Peripapillary Choroidal Neovascular Membrane
Occasionally, conversion to wet AMD manifests as a CNVM that does not affect vision. In cases with peripheral CNVM that do not approach the macula, conventional wisdom allows for more leeway and a short observation period to confirm stability may be appropriate if there is no visual disturbance to the patient.
When the CNVM is within 1 disc diameter of the disc, outcomes are especially variable. Unless the peripapillary CNVM spills over to the fovea, the patient may experience no change in vision. Observation may be therefore appropriate depending on lesion size; extent of hemorrhage, fluid, and fibrosis; fellow-eye status; and potential need for aggressive treatment (for example, the monocular patient). Close follow-up is recommended, because outcomes can be improved with early treatment of vision-threatening lesions.11,12
AGGRESSIVE TREATMENT FOR MONOCULAR PATIENTS
Conversely in the “better” eye, the patient and physician typically feel more anxiety about preserving functional acuity. Studies show increased depression in monocular patients regarding their visual function and quality of life,7 which anecdotally manifests most often as anxiety and a willingness to treat aggressively from both the physician and the patient. However, these patients may also be more risk averse, so open communication about goals and realistic expectations regarding the treatment course, as with any reluctant patient, is essential.
THE COMPLICATING FACTOR OF SOCIOECONOMIC CONCERNS
Physicians must appreciate the reality of the health-care system. In the United States, patients can receive their insurance benefits from a variety of payment systems, or they may be uninsured. Further, different plans may vary in requirements that can dictate the course of treatment. The choice of medication may be simplified by necessity if wide cost gaps between medications exist.
Importantly, while bevacizumab (Avastin; Genentech) is consistently recognized as the most cost-effective agent13,14 and often in tiered plans must be the initial agent, some insurance plans may offer patient assistance programs that can result in another agent being cheaper to that patient both immediately and in terms of their deductible for the year. While ideally this would be unnecessary, it can be beneficial for US-based practices retain a staff member to navigate the insurance and payment landscape for the patient, to determine whether prior authorizations are required, and to determine which medication is most affordable for each patient. Further, physicians should stay current on clinical endpoints that tiered policies require to obtain coverage for alternative agents should the response to the initial agent be inadequate.
There also can be geographic or economic barriers to intensive treatment regimens. Some patients either cannot afford days off work or may need to travel long distances to see a retina specialist. If the patient’s priority is maximal effect for minimal visits, that can alter treatment plans.
ANATOMIC CONSIDERATIONS
Retinal Hemorrhages
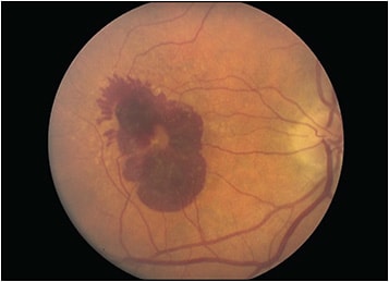
For patents for whom the initial finding is a hemorrhage (Figure 1), the location of the hemorrhage guides how treatment is directed. For large, recent submacular hemorrhages, the prognosis is especially poor without treatment.15 Initial interventions for thick submacular hemorrhages still include anti-VEGF monotherapy but may be directed at mechanically displacing the hemorrhage from the fovea, such as with pneumatic displacement16,17 or vitrectomy with subretinal tPA18 potentially with adjuvant intravitreal anti-VEGF.
Subretinal and Intraretinal Fluid
When either subretinal fluid (SRF) or intraretinal fluid (IRF) is the overriding anatomic change on OCT (Figure 2), the goal historically and practically has been complete anatomical resolution with titration of dosing intervals toward that endpoint.19 Importantly, the anatomic location of the fluid prognostically may be important, because retrospective analysis of CATT data implies that small amounts of subretinal fluid may be compatible with good visual outcomes, but intraretinal fluid has poor prognostic implications and a higher association with development of atrophy and subretinal fibrosis.4,20,21
However complete resolution of fluid is not always achievable. New evidence may even suggest that patients with a small amount of stable SRF may sometimes have better vision than their dry counterparts.21 This may be from atrophy, which is associated with increasing numbers of injections,22 or from some reason not yet understood. The FLUID study examined treat-and-extend with ranibizumab while allowing up to 200 µm of subfoveal fluid. The authors found comparable visual outcomes with lengthened intervals and a modest reduction in the total number of injections over 2 years compared with using tighter anatomic endpoints.23 Further study over longer durations and with other agents may elucidate the pathophysiology and optimize the approach to residual fluid.
CHOOSING THE TREATMENT
Medication Choice
Prior to the anti-VEGF era, initial treatments for wet AMD were limited to laser24 then photodynamic therapy treatments.25 Anti-VEGF injections with varying medications have become the gold standard after MARINA and ANCHOR established superiority2,3 of intravitreal ranibizumab to observation or photodynamic therapy with the potential to prevent sustained vision loss for patients.
However, when treating there are 3 current US Food and Drug Administration (FDA)-approved medications that are available (ranibizumab [Lucentis; Genentech], aflibercept [Eylea; Regeneron], and brolucizumab [Beovu; Novartis]), one commonly used off-label (bevacizumab), and more in the pipeline.26-31 Given so many options, there are multiple economic and outcomes-based factors that aid in decision-making. Table 1 summarizes the available pharmacologic treatments compared with observation.
| LANDMARK TRIALS | WHEN MOST LIKELY TO CONSIDER | ADVANTAGE | DISADVANTAGE | |
| Observation | Natural history studies9,15 | Poor visual prognosis eye Patient unwilling to consider intravitreal injection Choroidal neovascularization distant from visual axis |
No risk of endophthalmitis Easy on the patient, potentially avoids unnecessary treatment |
Low likelihood of spontaneous improvement Risk of vision loss if untreated |
| Bevacizumab | CATT4 | Cost-effective initial therapy Tiered insurance plan Failed other agents |
Most cost-effective Reasonable outcomes |
Compounding sources may be higher risk of endophthalmitis No FDA-approved indication |
| Ranibizumab | MARINA/ANCHOR2,3 | Failed other agents | Most studied anti-VEGF agent often gold standard | Cost |
| Aflibercept | VIEW I/II5 | Failed other agents Patient particularly motivated for long treatment intervals |
Longer dosing intervals in trials May reduce IRF/SRF more |
Cost Moderate risk of intraocular sterile inflammation |
| Brolucizumab | HAWK/HARRIER6 | Failed multiple attempts with other agents Patient particularly motivated for long treatment intervals |
May allow for longer dosing intervals | Risk of inflammatory and occlusive vascular events New, may be difficult to get covered by insurance |
To Load or Not To Load
Once the physician has decided to treat and has selected a medication, they still need to decide on using loading doses. The AURA international real-world analysis demonstrated with ranibizumab that starting with a loading scheme of 3 monthly injections results in higher initial visual acuity gains and more sustained gains over time compared to no loading.32 Real-world practice patterns seem to concur, because according to the 2018 PAT survey,33 the majority of retina specialists start with a series of 3 before even considering assessing for treatment response.
Given that the landmark trials,2,4-6 real-world analysis, and practice patterns seem to support starting with 3 loading doses of any of the medications, there are very few reasons to not initiate anti-VEGF treatment accordingly. The main practical exceptions are if the first injection has a complication, or in cases where the objective diagnosis of active CNVM is unclear (no leakage on OCT but new subjective metamorphopsias) where the treatment itself can be diagnostic if they result in improvement in symptoms.
OPTIMIZING TIMING OF TREATMENT
After loading doses, the goal becomes optimizing intervals of subsequent treatments. The initial landmark studies of MARINA and ANCHOR used strict monthly dosing of ranibizumab in the first 2 years with good success.2,3 The subsequent SEVEN-UP study, compiling data from ANCHOR, MARINA, and HORIZON follow-up 7 years later, demonstrated that after patients stopped receiving monthly injections, there was significant regression of treatment effect (average loss of 8.6 letters at 7.3 years from baseline).22 Interestingly, the subset of patients with greater than 11 injections during the 5-year follow-up actually gained an additional 3.9 letters on average, implying that maintaining increased injection frequency may help achieve sustained results.22 By contrast, initial studies established that quarterly injections of ranibizumab are suboptimal.34,35
Once the initial studies established that monthly injections work, and that insufficient injections may lead to regression of effect and vision loss, is there a middle ground? Monthly injections are a significant treatment burden, especially in situations with barriers to access, and they carry a risk of complication with each injection. Additionally, the CATT study noted increased rates of geographic atrophy in patients on monthly injections, providing anatomic impetus for minimizing injection frequency.4
As-Needed Treatment
One approach to decreasing frequency is as-needed, or pro re nata (PRN), dosing. In addition to showing noninferiority of bevacizumab, the CATT study examined PRN, with monthly dosing only moderately outperforming PRN dosing in terms of visual acuity gains with those agents.4 PrONTO and HARBOR similarly showed clinically meaningful improvement with PRN dosing, but not noninferiority compared to monthly regimens.36,37
As literature supports PRN dosing as useful if not ideal, there may be a role for PRN schemes in select cases. Reluctant patients may find PRN schemes more palatable, as might patients with poor visual potential.
Treat-and-Extend and Alternative Medications
The most popular alternative timing regimen is now treat-and-extend, per the 2018 PAT survey.33 This gained interest after ranibizumab trials like TREND38 demonstrated noninferiority to monthly treatment. The concept is straightforward: treat at monthly intervals until anatomic changes are optimized, and then space until a maximal tolerated interval is found. As discussed, the nature of the permissible anatomic changes and specific medications are still being examined.
Other medications have also demonstrated good results with longer dosing intervals. VIEW 1 and VIEW 2 showed that aflibercept with every-2-month dosing was equivalent to ranibizumab monthly after 3 loading doses, even potentially with improved drying effect,5 and other studies have shown promising results with treat-and-extend protocols with aflibercept.39 Along a similar vein, HAWK and HARRIER tout the possibility of every-12-week dosing of brolucizumab (in patients without a history of intraocular inflammation).6,40,41 Other novel agents are in the pipeline that tout similarly extended delivery42 and novel routes such as port delivery systems43 may change the future landscape.
DECIDING IF AND HOW TO CONTINUE TREATMENT
When choosing treatment intervals, most physicians rely on “checkpoint” exams, with full examinations, visual acuity testing, and OCT. The biggest checkpoint is typically the first visit after the initial trial. Treatment progress and response is assessed based off subjective improvement, visual acuity, and anatomic changes on OCT as well as on examination.
Ultimately, the physician at each of these checkpoints will assess the visual potential, response to therapy thus far in terms of both vision and anatomy, and ability to continue with treatment (based on the insurance, geographic, and psychosocial factors discussed previously). Consciously reviewing the efficacy of the chosen treatment and interval duration at checkpoint visits based on these priorities can trigger redirection of therapy, prompt re-examination of diagnosis, or reassure both physician and patient that treatment is proceeding as expected.
CONCLUSIONS
The approach to treating wet AMD is multifaceted, and goal-directed initiation and maintenance of therapy is key to success. Prioritizing practical goals based on anatomic considerations and optimizing therapies in terms of affordability, efficacy, and accessibility of treatment intervals can allow for successful, evidence-based, and targeted individualized treatment for wet AMD. RP
REFERENCE
- Quin G, Liew G, Ho I-V, Gillies M, Fraser-Bell S. Diagnosis and interventions for central serous chorioretinopathy: review and update. Clin Experiment Ophthalmol. 2013;41(2):187-200.
- Rosenfeld PJ, Brown DM, Heier JS, et al. Ranibizumab for neovascular age-related macular degeneration. N Engl J Med. 2006;355(14):1419-1431.
- Brown DM, Kaiser PK, Michels M, et al. Ranibizumab versus verteporfin for neovascular age-related macular degeneration. N Engl J Med. 2006;355(14):1432-1444.
- Martin DF, Maguire MG, Fine SL, et al. Ranibizumab and bevacizumab for treatment of neovascular age-related macular degeneration: two-year results. Ophthalmology. 2012;119(7):1388-1398.
- Schmidt-Erfurth U, Kaiser PK, Korobelnik J-F, et al. Intravitreal aflibercept injection for neovascular age-related macular degeneration: ninety-six–week results of the VIEW studies. Ophthalmology. 2014;121(1):193-201.
- Dugel PU, Koh A, Ogura Y, et al. HAWK and HARRIER: phase 3, multicenter, randomized, double-masked trials of brolucizumab for neovascular age-related macular degeneration. Ophthalmology. 2020;127(1):72-84.
- Mitchell J, Bradley C. Quality of life in age-related macular degeneration: a review of the literature. Health Qual Life Outcomes. 2006;4(1):97.
- Hooper P, Jutai JW, Strong G, Russell-Minda E. Age-related macular degeneration and low-vision rehabilitation: a systematic review. Can J Ophthalmol J Can Ophtalmol. 2008;43(2):180-187.
- Wong T, Chakravarthy U, Klein R, et al. The natural history and prognosis of neovascular age-related macular degeneration: a systematic review of the literature and meta-analysis. Ophthalmology. 2008;115(1):116-126.e1.
- Bhisitkul RB, Desai SJ, Boyer DS, Sadda SR, Zhang K. Fellow eye comparisons for 7-year outcomes in ranibizumab-treated AMD subjects from ANCHOR, MARINA, and HORIZON (SEVEN-UP Study). Ophthalmology. 2016;123(6):1269-1277.
- Jutley G, Jutley G, Tah V, Lindfield D, Menon G. Treating peripapillary choroidal neovascular membranes: a review of the evidence. Eye. 2011;25(6):675-681.
- Singh SR, Fung AT, Fraser-Bell S, et al. One-year outcomes of anti-vascular endothelial growth factor therapy in peripapillary choroidal neovascularisation. Br J Ophthalmol. 2020;104(5):678-683.
- Ross EL, Hutton DW, Stein JD, et al. Cost-effectiveness of aflibercept, bevacizumab, and ranibizumab for diabetic macular edema treatment: analysis from the Diabetic Retinopathy Clinical Research Network Comparative Effectiveness Trial. JAMA Ophthalmol. 2016;134(8):888-896.
- Stein JD, Newman-Casey PA, Mrinalini T, Lee PP, Hutton DW. Cost-effectiveness of bevacizumab and ranibizumab for newly diagnosed neovascular macular degeneration. Ophthalmology. 2014;121(4):936-945.
- Avery RL, Fekrat S, Hawkins BS, Bressler NM. Natural history of subfoveal subretinal hemorrhage in age-related macular degeneration. Retina Phila Pa. 1996;16(3):183-189.
- Mizutani T, Yasukawa T, Ito Y, et al. Pneumatic displacement of submacular hemorrhage with or without tissue plasminogen activator. Graefes Arch Clin Exp Ophthalmol Albrecht Von Graefes Arch Klin Exp Ophthalmol. 2011;249(8):1153-1157.
- Shin JY, Lee J-M, Byeon SH. Anti-vascular endothelial growth factor with or without pneumatic displacement for submacular hemorrhage. Am J Ophthalmol. 2015;159(5):904-914.e1.
- Sandhu SS, Manvikar S, Steel DHW. Displacement of submacular hemorrhage associated with age-related macular degeneration using vitrectomy and submacular tPA injection followed by intravitreal ranibizumab. Clin Ophthalmol Auckl NZ. 2010;4:637-642.
- Comparison of Age-related Macular Degeneration Treatments Trials (CATT) Research Group, Maguire MG, Martin DF, et al. Five-year outcomes with anti-vascular endothelial growth factor treatment of neovascular age-related macular degeneration: the Comparison of Age-Related Macular Degeneration Treatments Trials. Ophthalmology. 2016;123(8):1751-1761.
- Gianniou C, Dirani A, Jang L, Mantel I. Refractory intraretinal or subretinal fluid in neovascular age-related macular degeneration treated with intravitreal ranibizumab: functional and structural outcome. Retina. 2015;35(6):1195-1201.
- Jaffe GJ, Martin DF, Toth CA, et al. Macular morphology and visual acuity in the Comparison of Age-related Macular Degeneration Treatments Trials. Ophthalmology. 2013;120(9):1860-1870.
- Rofagha S, Bhisitkul RB, Boyer DS, Sadda SR, Zhang K. Seven-year outcomes in ranibizumab-treated patients in ANCHOR, MARINA, and HORIZON: a multicenter cohort study (SEVEN-UP). Ophthalmology. 2013;120(11):2292-2299.
- Guymer RH, Markey CM, McAllister IL, et al. Tolerating subretinal fluid in neovascular age-related macular degeneration treated with ranibizumab using a treat-and-extend regimen: FLUID study 24-month results. Ophthalmology. 2019;126(5):723-734.
- Macular Photocoagulation Study Group. Visual outcome after laser photocoagulation for subfoveal choroidal neovascularization secondary to age-related macular degeneration: the influence of initial lesion size and initial visual acuity. Arch Ophthalmol. 1994;112(4):480-488.
- Verteporfin therapy of subfoveal choroidal neovascularization in age-related macular degeneration: two-year results of a randomized clinical trial including lesions with occult with no classic choroidal neovascularization—verteporfin in photodynamic therapy report 2. Am J Ophthalmol. 2001;131(5):541-560.
- Sharma A, Kumar N, Kuppermann BD, Bandello F, Loewenstein A. Faricimab: expanding horizon beyond VEGF. Eye (Lond). 2020;34(5):802-804.
- Mansour AM, Al-Ghadban SI, Yunis MH, El-Sabban ME. Ziv-aflibercept in macular disease. Br J Ophthalmol. 2015;99(8):1055-1059.
- Sharma A, Reddy P, Kuppermann BD, Bandello F, Lowenstein A. Biosimilars in ophthalmology: “Is there a big change on the horizon?” Clin Ophthalmol Auckl NZ. 2018;12:2137-2143.
- Callanan D, Kunimoto D, Maturi RK, et al. Double-masked, randomized, phase 2 evaluation of abicipar pegol (an anti-VEGF DARPin therapeutic) in neovascular age-related macular degeneration. J Ocul Pharmacol Ther. 2018;34(10):700-709.
- Kunimoto D, Yoon YH, Wykoff CC, et al. Efficacy and safety of abicipar in neovascular age-related macular degeneration: 52-week results of phase 3 randomized controlled study. Ophthalmology. April 9, 2020. [Online ahead of print]
- Ammar MJ, Hsu J, Chiang A, Ho AC, Regillo CD. Age-related macular degeneration therapy: a review. Curr Opin Ophthalmol. 2020;31(3):215-221.
- Holz FG, Tadayoni R, Beatty S, et al. Multi-country real-life experience of anti-vascular endothelial growth factor therapy for wet age-related macular degeneration. Br J Ophthalmol. 2015;99(2):220-226.
- Stone TW, Hahn P, eds. ASRS 2018 preferences and trends membership survey. Presented at the: American Society of Retina Specialists; 2018; Chicago, Illinois.
- Abraham P, Yue H, Wilson L. Randomized, double-masked, sham-controlled trial of ranibizumab for neovascular age-related macular degeneration: PIER Study year 2. Am J Ophthalmol. 2010;150(3):315-324.e1.
- Schmidt-Erfurth U, Eldem B, Guymer R, et al. Efficacy and safety of monthly versus quarterly ranibizumab treatment in neovascular age-related macular degeneration: the EXCITE Study. Ophthalmology. 2011;118(5):831-839.
- Lalwani GA, Rosenfeld PJ, Fung AE, et al. A variable-dosing regimen with intravitreal ranibizumab for neovascular age-related macular degeneration: year 2 of the PrONTO study. Am J Ophthalmol. 2009;148(1):43-58.e1.
- Busbee BG, Ho AC, Brown DM, et al. Twelve-month efficacy and safety of 0.5 mg or 2.0 mg ranibizumab in patients with subfoveal neovascular age-related macular degeneration. Ophthalmology. 2013;120(5):1046-1056.
- Silva R, Berta A, Larsen M, Macfadden W, Feller C, Monés J. Treat-and-extend versus monthly regimen in neovascular age-related macular degeneration: results with ranibizumab from the TREND study. Ophthalmology. 2018;125(1):57-65.
- Barthelmes D, Nguyen V, Daien V, et al. Two year outcomes of “treat and extend” intravitreal therapy using aflibercept preferentially for neovascular age-related macular degeneration. Retina. 2018;38(1):20-28.
- Haug SJ, Hien DL, Uludag G, et al. Retinal arterial occlusive vasculitis following intravitreal brolucizumab administration. Am J Ophthalmol Case Rep. 2020;18.
- Yannuzzi NA, Freund KB. Brolucizumab: evidence to date in the treatment of neovascular age-related macular degeneration. Clin Ophthalmol. 2019;13:1323-1329.
- Regillo CD. An antibody biopolymer conjugate for enhanced durability in retinal disease. Retin Physician. 2020;17(3):37,42,43.
- Campochiaro PA, Marcus DM, Awh CC, et al. The port delivery system with ranibizumab for neovascular age-related macular degeneration: results from the randomized phase 2 LADDER clinical trial. Ophthalmology. 2019;126(8):1141-1154.







