Dry age-related macular degeneration (AMD) and therapies for geographic atrophy are currently a focus in discussion of the landscape of treatment for retinal disease. Until recently, there were no treatments for atrophic disease in AMD. While there is no consistent demographic or environmental factor linked to geographic atrophy progression rate, various studies do highlight some factors of note.1 Mutations in complement factor H have a strong component to the risk of developing AMD.1 Smoking and hypertension are the primary cited nongenetic risk factors for AMD progression.2 As a result, management for advanced dry AMD had historically consisted of lifestyle modification (increased antioxidant intake, smoking cessation, UV protection, hypertension management, and exercise) and regular clinic follow-ups. However, in the past year, 2 new treatments to slow the progression of geographic atrophy were introduced: pegcetacoplan (Syfovre; Apellis Pharmaceuticals) and avacincaptad pegol (Izervay; Iveric Bio/Astellas).
Quantifying Atrophy Prior to Treatment
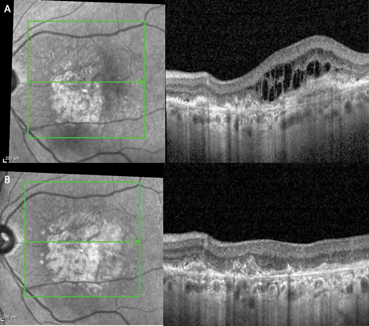
Optical coherence tomography (OCT) is the main imaging modality to best quantify and evaluate atrophy in AMD. OCT can reveal loss of retinal pigment epithelium (RPE) and photoreceptors in atrophy, most prominently reflected by hypertransmission on OCT (Figure 1). Recent nomenclature was developed to better classify AMD-related atrophy on OCT: incomplete RPE and outer retinal atrophy (iRORA) and complete RPE and outer retinal atrophy (cRORA).3,4 cRORA has the following criteria for diagnosis: (1) a ≥250 μm diameter area of hypertransmission; (2) a ≥250 μm diameter area of corresponding RPE attenuation or disruption; (3) signs of photoreceptor degeneration; and (4) the absence of an RPE tear.3 iRORA has these features without corresponding area requirements. More research is needed to understand the rate and risks of progression from iRORA to cRORA. However, these features can be important in assessing visual function in atrophic advanced disease independent of visual acuity.5 More importantly, these features can be a useful in guiding practitioners who are initiating new treatment options for atrophy in AMD.
    Indications for Treatment
Pegcetacoplan is a C3 complement peptide-based inhibitor. The recommended dosing for pegcetacoplan is a 15 mg/0.1 mL intravitreal injection administered monthly or every other month. In clinical studies, pegcetacoplan was associated with a 16% to 21% reduction in lesion growth (variation due to dosing frequency) compared to sham at 12 months, and an 18% to 22% reduction in lesion growth at 24 months.6 Post hoc analyses also demonstrated that pegcetacoplan had lower rates of progression from iRORA to cRORA compared with controls.7 Adverse effects of note include intraocular inflammation and increased risk of conversion to macular neovascularization and subsequent exudation. Conversion was reported in 13% of monthly dosing patients vs 6% in every-other-month dosing patients compared to 4% in sham patients at the end of the 24-month study.6
Avacincaptad pegol is a C5 RNA-aptamer inhibitor. The recommended dosing is a 2 mg/0.1 mL intravitreal injection administered monthly for up to 12 months. The 2-year endpoint analysis data demonstrated a statistically significant reduction in mean rate of geographic atrophy growth of 14% in the every month vs sham group and 19% in the every-other-month dosing vs sham.8 Adverse effects also included new-onset macular neovascularization, with an occurrence of 7% in the treatment arm compared to 4% in the sham group.9 There were no incidences of ischemic neuropathy or retinal vasculitis.8
Patient Selection and Counseling
Given this new treatment terrain, there are numerous considerations that should be made by a retinal physician. It is important to properly counsel patients on the risks and benefits of injections for atrophy. Conversion to neovascularization is an important risk factor, especially for patients with extrafoveal atrophy. In addition to the vision consequences of exudative AMD, there is a large treatment and financial burden that can be incurred with exudative AMD. It is therefore important to carefully consider the patient profile best suited for treatment with complement inhibition therapy. It is important to stress the goal of the therapies: to slow progression of atrophy. Therefore, functional benefit will not be perceptible by the patient. It is an abstract concept to imagine delayed progression of atrophic disease. A patient with severe vision loss from central geographic atrophy in 1 eye and center-sparing atrophy in the fellow eye may be more invested in treatment in comparison to a patient with early extrafoveal atrophy in one or both eyes without significant visual compromise. Furthermore, compliance to treatment regimen (monthly or every other month for pegcetacoplan and monthly for avacincaptad pegol) is important to achieve the desired clinical endpoints. Ideal candidates are highly motivated, reliable patients.
Concurrent Treatment
Treatment also should be considered for patients with existing wet AMD who have geographic atrophy in the same or fellow eye. However, there are numerous considerations for these patients in terms of counseling and logistics. First, if the geographic atrophy is in the eye without existing neovascularization, it is very important to counsel the patients regarding the risk of conversion to exudative AMD and the need for additional treatment should this complication arise. In terms of injection timing for these patients, it can vary depending on the medication of choice. Avacincaptad pegol requires monthly dosing. In the instances that this coincides with fellow eye exudative AMD treatment, patients may receive bilateral treatment. However, the number of visits may increase if treatment schedules do not align. Pegcetacoplan allows for more flexible dosing schedules. Although many physicians recommend every-other-month dosing, schedules can be made to coincide with fellow eye injection frequency within the 25-to-60-day dosing schedule based on patient preference.
In patients with exudative AMD and geographic atrophy in the same eye (Figure 2), the above considerations are also valid. If treatment schedules for exudative AMD and GA coincide, the injections can be given in that eye on the same day. However, this may result in an increased visit time for the patients. It is advisable to wait at least 30 minutes between injections, with an increased possibility of needing intraocular pressure lowering tactics, such as an anterior chamber tap, for sustained increases in intraocular pressure with the increased medication volume. If treatment schedules do not coincide, patients will require more frequent visits for these injections. Given the complexity of factors, careful patient selection is necessary to increase the likelihood that patients will comply with the requirements of GA treatment.
    Conclusion
The new landscape of treatment for AMD provides more options for vision preservation but leaves many questions unanswered. With increased clinical data, we can better assess the cost benefit of these injections. Furthermore, clearer candidate patient profiles will continue to emerge as the retina comminuty better learns which patients would benefit from these treatments the most. While the future goal for treating atrophic disease is functional improvement, complement therapy provides a glimmer of hope for patients where there was previously none. RP
Editor’s note: Hear discussion of this article on the Retina Podcast at www.retinapodcast.com.
References
1. Fleckenstein M, Mitchell P, Freund KB, et al. The progression of geographic atrophy secondary to age-related macular degeneration. Ophthalmology. 2018;125(3):369-390. doi:10.1016/j.ophtha.2017.08.038
2. Age-Related Eye Disease Study Research Group. Risk factors associated with age-related macular degeneration. A case-control study in the age-related eye disease study: Age-Related Eye Disease Study Report Number 3. Ophthalmology. 2000;107(12):2224-2232. doi:10.1016/s0161-6420(00)00409-7
3. Guymer RH, Rosenfeld PJ, Curcio CA, et al. Incomplete retinal pigment epithelial and outer retinal atrophy in age-related macular degeneration: classification of atrophy meeting report 4. Ophthalmology. 2020;127(3):394-409. doi:10.1016/j.ophtha.2019.09.035
4. Sadda SR, Guymer R, Holz FG, et al. Consensus definition for atrophy associated with age-related macular degeneration on oct: classification of atrophy report 3. Ophthalmology. 2018;125(4):537-548. doi:10.1016/j.ophtha.2017.09.028
5. Heier JS, Pieramici D, Chakravarthy U, et al. Visual function decline resulting from geographic atrophy: results from the Chroma and Spectri phase 3 trials. Ophthalmol Retina. 2020;4(7):673-688. doi:10.1016/j.oret.2020.01.019
6. Heier JS, Lad EM, Holz FG, et al. Pegcetacoplan for the treatment of geographic atrophy secondary to age-related macular degeneration (OAKS and DERBY): two multicentre, randomised, double-masked, sham-controlled, phase 3 trials. Lancet. 2023;402(10411):1434-1448. doi:10.1016/S0140-6736(23)01520-9
7. Nittala MG, Metlapally R, Ip M, et al. Association of pegcetacoplan with progression of incomplete retinal pigment epithelium and outer retinal atrophy in age-related macular degeneration: a post hoc analysis of the FILLY randomized clinical trial. JAMA Ophthalmol. 2022;140(3):243-249. doi:10.1001/jamaophthalmol.2021.6067
8. Izervay (avacincaptad pegol intravitreal solution) monthly or every other month reduced geographic atrophy lesion growth through 2 years. November 4, 2023. Accessed January 10, 2024. https://ivericbio.com/izervay-avacincaptad-pegol-intravitreal-solution-monthly-or-every-other-month-reduced-geographic-atrophy-lesion-growth-through-2-years/
9. Khanani AM, Patel SS, Staurenghi G, et al. Efficacy and safety of avacincaptad pegol in patients with geographic atrophy (GATHER2): 12-month results from a randomised, double-masked, phase 3 trial. Lancet. 2023;402(10411):1449-1458. doi:10.1016/S0140-6736(23)01583-0
  
            






